Suppr超能文献

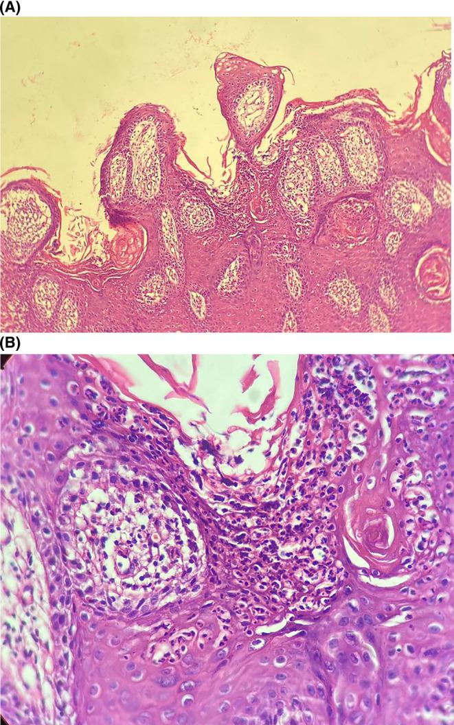
一名患有变形综合征的女孩出现银屑病斑块叠加的表皮痣。

Epidermal nevus superimposed by psoriatic plaque in a girl with proteous syndrome.

作者信息

Mohaghegh Fatemeh, Zavare Zahra, Mousavi Marziehsadat

机构信息

Department of Dermatology, Skin Diseases and Leishmaniasis Research Center Isfahan University of Medical Sciences Isfahan Iran.

出版信息

Clin Case Rep. 2023 Feb 10;11(2):e6929. doi: 10.1002/ccr3.6929. eCollection 2023 Feb.

Abstract

Proteus syndrome (PS) is a rare syndrome characterized by asymmetric limb overgrowth, vascular malformation, and hamartomas. In this study we report a case of PS in a 13-year-old girl with chief complaint of a new cutaneous lesion that was diagnosed and treated as leishmaniasis.

摘要

变形综合征(PS)是一种罕见的综合征,其特征为肢体不对称过度生长、血管畸形和错构瘤。在本研究中,我们报告了一例13岁女孩的PS病例,其主要症状为出现一处新的皮肤病变,最初被诊断为利什曼病并接受了相应治疗。

https://cdn.ncbi.nlm.nih.gov/pmc/blobs/7616/9913193/5afff36fae2e/CCR3-11-e6929-g002.jpg

文献AI研究员

20分钟写一篇综述,助力文献阅读效率提升50倍。

立即体验

用中文搜PubMed

大模型驱动的PubMed中文搜索引擎

马上搜索

文档翻译

学术文献翻译模型,支持多种主流文档格式。

立即体验