• 文献检索
  • 文档翻译
  • 深度研究
  • 学术资讯
  • Suppr Zotero 插件Zotero 插件
  • 邀请有礼
  • 套餐&价格
  • 历史记录
应用&插件
Suppr Zotero 插件Zotero 插件浏览器插件Mac 客户端Windows 客户端微信小程序
定价
高级版会员购买积分包购买API积分包
服务
文献检索文档翻译深度研究API 文档MCP 服务
关于我们
关于 Suppr公司介绍联系我们用户协议隐私条款
关注我们

Suppr 超能文献

核心技术专利:CN118964589B侵权必究
粤ICP备2023148730 号-1Suppr @ 2026

文献检索

告别复杂PubMed语法,用中文像聊天一样搜索,搜遍4000万医学文献。AI智能推荐,让科研检索更轻松。

立即免费搜索

文件翻译

保留排版,准确专业,支持PDF/Word/PPT等文件格式,支持 12+语言互译。

免费翻译文档

深度研究

AI帮你快速写综述,25分钟生成高质量综述,智能提取关键信息,辅助科研写作。

立即免费体验

氯化锌可减轻氯化镉诱导的小鼠肝细胞中金属硫蛋白和某些凋亡蛋白的变化:一项组织学和免疫组织化学研究。

Zinc Chloride Can Mitigate the Alterations in Metallothionein and Some Apoptotic Proteins Induced by Cadmium Chloride in Mice Hepatocytes: A Histological and Immunohistochemical Study.

作者信息

Bayram Enas Nihad, Al-Bakri Nahla A, Al-Shmgani Hanady S

机构信息

Department of Biology, College of Education for Pure Sciences (Ibn Al-Haitham), University of Baghdad, Baghdad, Iraq.

出版信息

J Toxicol. 2023 Feb 6;2023:2200539. doi: 10.1155/2023/2200539. eCollection 2023.

DOI:10.1155/2023/2200539
PMID:36793583
原文链接:https://pmc.ncbi.nlm.nih.gov/articles/PMC9925264/
Abstract

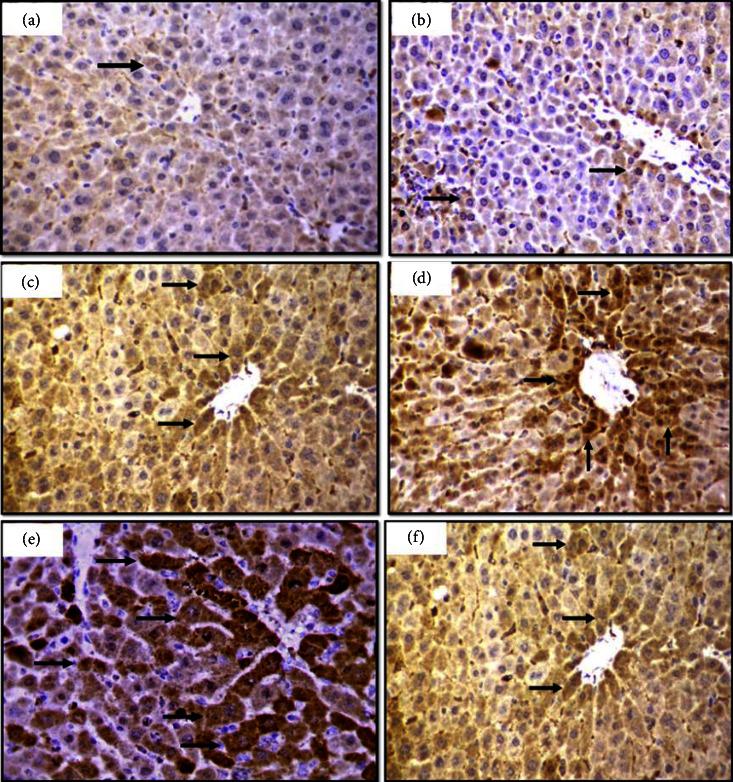
The heavy metal cadmium is extremely harmful to both humans and animals. Zinc supplementation protects the biological system and reduces cadmium-induced toxicity. This study aimed to determine whether zinc chloride (ZnCl) could protect male mice with the damaged liver induced by cadmium chloride (CdCl). The protective role of zinc chloride and expression of the metallothionein (MT), Ki-67, and Bcl-2 apoptotic proteins in hepatocytes were studied after subchronic exposure of mice to cadmium chloride for 21 days. Thirty male mice were randomly categorized into 6 groups (5 mice/group) as follows: a control group that did not receive any treatment, a group given ZnCl at 10 mg/kg alone, and two groups received ZnCl (10 mg/kg) in combination with CdCl at two concentrations (1.5 and 3 mg/kg), while the last two groups received CdCl alone at 1.5 and 3 mg/kg, respectively. Immunohistochemical examination revealed a decrease in Ki-67 expression in Kupffer and endothelial cells, which reflected cell proliferation downregulation accompanied by MT increased expression. However, the Bcl-2 was ameliorated and reduced to demonstrate an enhanced rate of necrosis rather than apoptosis. Furthermore, histopathological results showed significant alteration such as hepatocytes with a pyknotic nucleus, infiltration of inflammatory cells around the central vein, and the presence of many binucleated hepatocytes. Zinc chloride treatment resulted in histological and morphological improvements that were average in the expression of apoptosis proteins modifications induced by cadmium. Our findings revealed that the positive effects of zinc might be linked to the high metallothionein expression and enhanced cell proliferation. Furthermore, at low-dose exposure, cadmium-induced damage to cells could be more closely related to necrosis rather than apoptosis.

摘要

重金属镉对人类和动物都极具危害。补充锌可保护生物系统并降低镉诱导的毒性。本研究旨在确定氯化锌(ZnCl)是否能保护因氯化镉(CdCl)导致肝脏受损的雄性小鼠。在小鼠亚慢性暴露于氯化镉21天后,研究了氯化锌的保护作用以及肝细胞中金属硫蛋白(MT)、Ki-67和Bcl-2凋亡蛋白的表达。30只雄性小鼠被随机分为6组(每组5只),如下:未接受任何处理的对照组;单独给予10 mg/kg ZnCl的组;两组分别接受两种浓度(1.5和3 mg/kg)的ZnCl(10 mg/kg)与CdCl联合处理的组;最后两组分别单独接受1.5和3 mg/kg CdCl的组。免疫组织化学检查显示,库普弗细胞和内皮细胞中Ki-67表达降低,这反映了细胞增殖下调,同时MT表达增加。然而,Bcl-2得到改善并降低,表明坏死率增加而非凋亡。此外,组织病理学结果显示出显著改变,如细胞核固缩的肝细胞、中央静脉周围炎性细胞浸润以及许多双核肝细胞的存在。氯化锌处理导致组织学和形态学改善,在镉诱导的凋亡蛋白修饰表达方面表现为中等程度。我们的研究结果表明,锌的积极作用可能与金属硫蛋白的高表达和细胞增殖增强有关。此外,在低剂量暴露时,镉诱导的细胞损伤可能与坏死而非凋亡更密切相关。

https://cdn.ncbi.nlm.nih.gov/pmc/blobs/ef9c/9925264/195912a60eed/JT2023-2200539.004.jpg
https://cdn.ncbi.nlm.nih.gov/pmc/blobs/ef9c/9925264/196a64f30708/JT2023-2200539.001.jpg
https://cdn.ncbi.nlm.nih.gov/pmc/blobs/ef9c/9925264/4fd1f9646d00/JT2023-2200539.002.jpg
https://cdn.ncbi.nlm.nih.gov/pmc/blobs/ef9c/9925264/2d0251a89d1c/JT2023-2200539.003.jpg
https://cdn.ncbi.nlm.nih.gov/pmc/blobs/ef9c/9925264/195912a60eed/JT2023-2200539.004.jpg
https://cdn.ncbi.nlm.nih.gov/pmc/blobs/ef9c/9925264/196a64f30708/JT2023-2200539.001.jpg
https://cdn.ncbi.nlm.nih.gov/pmc/blobs/ef9c/9925264/4fd1f9646d00/JT2023-2200539.002.jpg
https://cdn.ncbi.nlm.nih.gov/pmc/blobs/ef9c/9925264/2d0251a89d1c/JT2023-2200539.003.jpg
https://cdn.ncbi.nlm.nih.gov/pmc/blobs/ef9c/9925264/195912a60eed/JT2023-2200539.004.jpg

相似文献

1
Zinc Chloride Can Mitigate the Alterations in Metallothionein and Some Apoptotic Proteins Induced by Cadmium Chloride in Mice Hepatocytes: A Histological and Immunohistochemical Study.氯化锌可减轻氯化镉诱导的小鼠肝细胞中金属硫蛋白和某些凋亡蛋白的变化:一项组织学和免疫组织化学研究。
J Toxicol. 2023 Feb 6;2023:2200539. doi: 10.1155/2023/2200539. eCollection 2023.
2
Suppression of Kupffer cell function prevents cadmium induced hepatocellular necrosis in the male Sprague-Dawley rat.抑制库普弗细胞功能可预防镉诱导的雄性斯普拉格-道利大鼠肝细胞坏死。
Toxicology. 1997 Aug 15;121(2):155-64. doi: 10.1016/s0300-483x(97)00062-0.
3
Metallothionein plays less of a protective role in cadmium-metallothionein-induced nephrotoxicity than in cadmium chloride-induced hepatotoxicity.金属硫蛋白在镉-金属硫蛋白诱导的肾毒性中所起的保护作用比在氯化镉诱导的肝毒性中要小。
J Pharmacol Exp Ther. 1996 Mar;276(3):1216-23.
4
Hepatic and renal metallothionein induction by an oral equimolar dose of zinc, cadmium or mercury in mice.小鼠口服等摩尔剂量的锌、镉或汞对肝脏和肾脏金属硫蛋白的诱导作用。
Food Chem Toxicol. 2001 Jun;39(6):571-7. doi: 10.1016/s0278-6915(00)00167-8.
5
Comparisons of the toxicity of CdCl2 and Cd-metallothionein in isolated rat hepatocytes.氯化镉与镉-金属硫蛋白对分离的大鼠肝细胞毒性的比较。
Toxicology. 1989 Apr;55(1-2):83-91. doi: 10.1016/0300-483x(89)90176-5.
6
Cadmium toxicity and distribution in metallothionein-I and -II deficient transgenic mice.金属硫蛋白-I和-II缺陷转基因小鼠中的镉毒性与分布
J Toxicol Environ Health. 1997 Dec 26;52(6):527-43. doi: 10.1080/00984109708984079.
7
Tolerance induced by all-trans-retinol to the hepatotoxic effects of cadmium in rats: role of metallothionein expression.全反式视黄醇诱导大鼠对镉肝毒性作用的耐受性:金属硫蛋白表达的作用
Toxicol Appl Pharmacol. 1997 Mar;143(1):110-9. doi: 10.1006/taap.1996.8050.
8
Cadmium-induced mRNA expression of Hsp32 is augmented in metallothionein-I and -II knock-out mice.在金属硫蛋白-I和-II基因敲除小鼠中,镉诱导的Hsp32 mRNA表达增强。
Arch Biochem Biophys. 2000 Oct 1;382(1):81-8. doi: 10.1006/abbi.2000.1997.
9
Cadmium-induced DNA strand damage in cultured liver cells: reduction in cadmium genotoxicity following zinc pretreatment.镉诱导培养肝细胞中的DNA链损伤:锌预处理后镉遗传毒性的降低
Toxicol Appl Pharmacol. 1992 Apr;113(2):227-33. doi: 10.1016/0041-008x(92)90118-c.
10
Cadmium accumulation and metallothionein concentrations after 4-week dietary exposure to cadmium chloride or cadmium-metallothionein in rats.大鼠经4周饮食暴露于氯化镉或镉-金属硫蛋白后的镉蓄积及金属硫蛋白浓度
Toxicol Appl Pharmacol. 1991 Dec;111(3):504-13. doi: 10.1016/0041-008x(91)90254-c.

引用本文的文献

1
Comparative toxicity of zinc oxide nanoparticles and zinc salts in male mice: Hematological, biochemical, and histopathological impacts.氧化锌纳米颗粒与锌盐对雄性小鼠的比较毒性:血液学、生物化学及组织病理学影响
Toxicol Rep. 2025 Mar 19;14:102003. doi: 10.1016/j.toxrep.2025.102003. eCollection 2025 Jun.
2
Ameliorating orthodontic relapse using laser bio-stimulation and mesenchymal stem cells in rats.利用激光生物刺激和间充质干细胞改善大鼠正畸复发情况。
J Genet Eng Biotechnol. 2024 Mar;22(1):100331. doi: 10.1016/j.jgeb.2023.100331. Epub 2024 Jan 22.

本文引用的文献

1
Metallothionein Expression as a Physiological Response against Metal Toxicity in the Striped Rockcod .金属硫蛋白表达作为斜带石斑鱼对抗金属毒性的生理反应。
Int J Mol Sci. 2022 Oct 24;23(21):12799. doi: 10.3390/ijms232112799.
2
The Beneficial Impact of Zinc Supplementation on the Vascular Tissue of the Abdominal Aorta under Repeated Intoxication with Cadmium: A Study in an In Vivo Experimental Model.补锌对反复镉染毒大鼠腹主动脉血管组织的有益影响:体内实验模型研究。
Nutrients. 2022 Sep 30;14(19):4080. doi: 10.3390/nu14194080.
3
Histopathological and Biochemical Comparative Study of Copper Oxide Nanoparticles and Copper Sulphate Toxicity in Male Albino Mice Reproductive System.
氧化铜纳米颗粒与硫酸铜对雄性白化小鼠生殖系统毒性的组织病理学和生物化学比较研究
Int J Biomater. 2022 May 16;2022:4877637. doi: 10.1155/2022/4877637. eCollection 2022.
4
Protective actions of nuclear factor erythroid 2-related factor 2 (NRF2) and downstream pathways against environmental stressors.核因子红细胞 2 相关因子 2(NRF2)及其下游途径对环境应激因子的保护作用。
Free Radic Biol Med. 2022 Jul;187:72-91. doi: 10.1016/j.freeradbiomed.2022.05.016. Epub 2022 May 22.
5
Cadmium chloride-induced apoptosis of HK-2 cells via interfering with mitochondrial respiratory chain.氯化镉通过干扰线粒体呼吸链诱导 HK-2 细胞凋亡。
Ecotoxicol Environ Saf. 2022 May 1;236:113494. doi: 10.1016/j.ecoenv.2022.113494. Epub 2022 Apr 9.
6
The association between life-time dietary cadmium intake from rice and chronic kidney disease.大米摄入的终生镉摄入量与慢性肾脏病的关系。
Ecotoxicol Environ Saf. 2021 Mar 15;211:111933. doi: 10.1016/j.ecoenv.2021.111933. Epub 2021 Jan 25.
7
Cadmium induces mitochondrial ROS inactivation of XIAP pathway leading to apoptosis in neuronal cells.镉诱导神经元细胞中线粒体 ROS 失活,导致 XIAP 通路凋亡。
Int J Biochem Cell Biol. 2020 Apr;121:105715. doi: 10.1016/j.biocel.2020.105715. Epub 2020 Feb 5.
8
Zinc protects against cadmium-induced toxicity in neonatal murine engineered cardiac tissues via metallothionein-dependent and independent mechanisms.锌通过金属硫蛋白依赖和非依赖机制保护新生鼠工程化心脏组织免受镉诱导的毒性。
Acta Pharmacol Sin. 2020 May;41(5):638-649. doi: 10.1038/s41401-019-0320-y. Epub 2019 Nov 25.
9
Role of Zinc in Immune System and Anti-Cancer Defense Mechanisms.锌在免疫系统和抗癌防御机制中的作用。
Nutrients. 2019 Sep 22;11(10):2273. doi: 10.3390/nu11102273.
10
Heavy metal toxicity: An update of chelating therapeutic strategies.重金属毒性:螯合治疗策略的最新进展。
J Trace Elem Med Biol. 2019 Jul;54:226-231. doi: 10.1016/j.jtemb.2019.05.003. Epub 2019 May 10.