Suppr超能文献

被困雪中:一例关于超声在骨折诊断中应用的病例报告

Snowed In: A Case Report on the Utilization of Ultrasound in the Diagnosis of Fractures.

作者信息

Hansen Keith, Albert Trevine, Quinonez Jonathan, Ruxmohan Samir

机构信息

Osteopathic Neuromusculoskeletal Medicine, Larkin Community Hospital Palm Springs Campus, Hialeah, USA.

Interventional Pain, Larkin Community Hospital, Miami, USA.

出版信息

Cureus. 2023 Jan 13;15(1):e33758. doi: 10.7759/cureus.33758. eCollection 2023 Jan.

Abstract

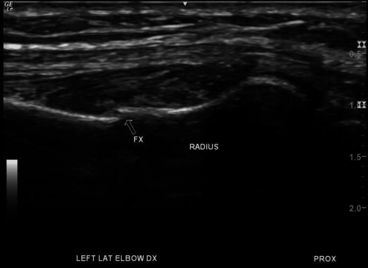
The standard convention for diagnosing bone fractures is through radiography. However, radiography can miss fractures depending on the type of injury or if human error is present. This may be due to improper patient positioning leading to superimposing bones being captured in the image, obscuring pathology. As of late, ultrasound has been gaining traction in terms of its utilization for diagnosing fractures, which radiography can miss at times. Here we present a case of a 59-year-old female who was diagnosed using ultrasound with an acute fracture that was initially missed on X-ray. We present a case of a 59-year-old female with a past medical history significant for osteoporosis who presented to an outpatient clinic for evaluation of acute left forearm pain. She reported sustaining a mechanical fall forward to the ground three weeks before bracing herself with her forearms, immediately developing left upper extremity pain lateralized to the forearm. Upon initial evaluation, forearm radiographs were obtained and showed no evidence of acute fractures. She then underwent a diagnostic ultrasound that showed an obvious fracture of the proximal radius, distal to the radial head. Upon reviewing initial radiograph films, it was evident that the proximal ulna was superimposed over the radius fracture as a proper neutral anteroposterior view of the forearm was not taken. The patient then underwent a computed tomography (CT) scan of her left upper extremity, which confirmed the presence of a healing fracture. We present a case in which ultrasound is an excellent adjunct when a fracture cannot be identified on plain film radiography. Its utilization should be well-known and considered more often in the outpatient setting.

摘要

诊断骨折的标准惯例是通过X线摄影。然而,根据损伤类型或是否存在人为误差,X线摄影可能会漏诊骨折。这可能是由于患者体位不当导致图像中出现骨骼重叠,从而掩盖了病变。近年来,超声在骨折诊断中的应用越来越受到关注,而X线摄影有时会漏诊这些骨折。在此,我们报告一例59岁女性病例,其急性骨折最初在X线检查中漏诊,但通过超声得以诊断。我们报告一例59岁女性,有骨质疏松病史,因急性左前臂疼痛到门诊就诊。她报告说,在向前摔倒并以双前臂支撑身体三周前,立即出现左上肢前臂外侧疼痛。初步评估时,拍摄了前臂X线片,未显示急性骨折迹象。随后她接受了诊断性超声检查,显示桡骨头远端近端桡骨明显骨折。在复查最初的X线片时,很明显由于未拍摄前臂正确的中立前后位片,尺骨近端重叠在桡骨骨折处。患者随后接受了左上肢计算机断层扫描(CT),证实存在愈合中的骨折。我们报告这样一个病例,当在平片X线摄影中无法识别骨折时,超声是一种很好的辅助手段。其应用应该更广为人知,并在门诊环境中更频繁地被考虑。

https://cdn.ncbi.nlm.nih.gov/pmc/blobs/8573/9925033/13e0583d01d4/cureus-0015-00000033758-i01.jpg

文献AI研究员

20分钟写一篇综述,助力文献阅读效率提升50倍。

立即体验

用中文搜PubMed

大模型驱动的PubMed中文搜索引擎

马上搜索

文档翻译

学术文献翻译模型,支持多种主流文档格式。

立即体验