Suppr超能文献

在治疗腰痛时无意中鞘内注射药物:病例报告及文献复习。

Inadvertent intrathecal drug injection while treating low back pain: a case report and review of the literature.

机构信息

Anestesia and Intensive Care Unit, Pescara General Hospital, Via Fonte Romana, 8, 65124, Pescara, PE, Italy.

Clinical Pathology Unit, Pescara General Hospital, Pescara, Italy.

出版信息

J Med Case Rep. 2023 Feb 17;17(1):76. doi: 10.1186/s13256-023-03754-y.

Abstract

BACKGROUND

Undesired intrathecal injections represent an important subset of medical errors, albeit rare. Clinical effects depend on the type and concentration of drug(s) injected. Here we report on the case of a healthy woman with persistent low back pain, treated with a paravertebral injection of lidocaine, thiocolchicoside, and L-acetylcarnitine at an orthopedic practice.

CASE REPORT

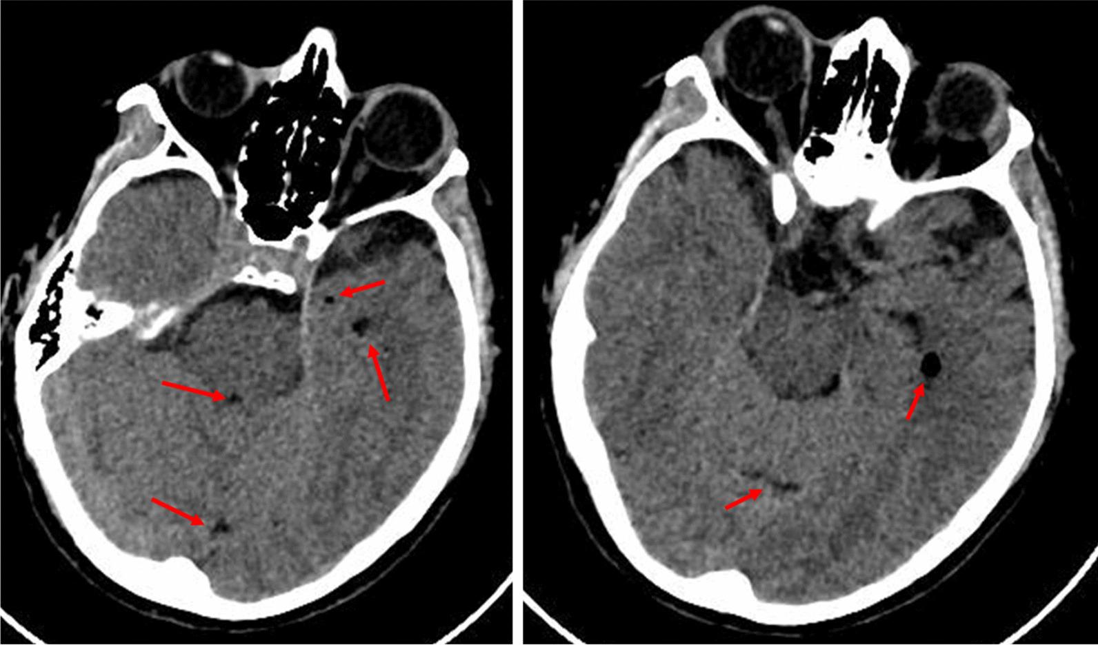
A 42-year-old Caucasian woman, with no relevant past medical history, received a lumbar paravertebral injection of lidocaine, thiocolchicoside, and L-acetylcarnitine for persistent low back pain. Approximately 30 minutes after injection, she experienced quick neurological worsening. Upon arrival at the Emergency Department, she was comatose, with fixed bilateral mydriasis, trismus, and mixed acidosis; seizures ensued in the first hours; slow progressive amelioration was observed by day 6; retrograde amnesia was the only clinical relevant remaining symptom by 6 months.

CONCLUSIONS

To our knowledge, this is the first reported case of inadvertent intrathecal thiocolchicoside injection in an adult patient, as well as the first in the neurosurgical literature. Our experience suggests that injection therapy for low back pain should be administered in adequate settings, where possible complications may be promptly treated.

摘要

背景

尽管罕见,但鞘内注射不当是医疗差错的一个重要组成部分。临床影响取决于注射药物的类型和浓度。在此,我们报告了一例健康女性因持续性腰痛在骨科诊所接受利多卡因、硫代秋水仙碱和左旋乙酰肉碱椎旁注射后出现的病例。

病例报告

一名 42 岁的白人女性,无相关既往病史,因持续性腰痛接受了腰椎旁注射利多卡因、硫代秋水仙碱和左旋乙酰肉碱。注射后约 30 分钟,她出现快速神经恶化。到达急诊部时,她处于昏迷状态,双侧瞳孔固定,出现牙关紧闭和混合性酸中毒;随后出现癫痫发作;在第 6 天观察到缓慢的逐渐改善;6 个月时,仅遗留逆行性遗忘为唯一相关的临床症状。

结论

据我们所知,这是首例报道的成人意外鞘内注射硫代秋水仙碱的病例,也是神经外科文献中的首例。我们的经验表明,腰痛的注射治疗应在可能及时治疗可能出现的并发症的合适环境中进行。

https://cdn.ncbi.nlm.nih.gov/pmc/blobs/227c/9936684/52c6e1cee56d/13256_2023_3754_Fig1_HTML.jpg

文献AI研究员

20分钟写一篇综述,助力文献阅读效率提升50倍。

立即体验

用中文搜PubMed

大模型驱动的PubMed中文搜索引擎

马上搜索

文档翻译

学术文献翻译模型,支持多种主流文档格式。

立即体验