Maharajgunj Medical Campus, Institute of Medicine, Kathmandu, Nepal.
Department of Internal Medicine, Tribhuvan University Teaching Hospital, Kathmandu, Nepal.
J Med Case Rep. 2023 Feb 20;17(1):59. doi: 10.1186/s13256-023-03778-4.
Waldenström macroglobulinemia is a rare hematological malignancy and is the most common diagnosis in patients with hyperviscosity syndrome. Bilateral central retinal vein occlusion as an initial presentation of hyperviscosity syndrome in Waldenström macroglobulinemia is rare.
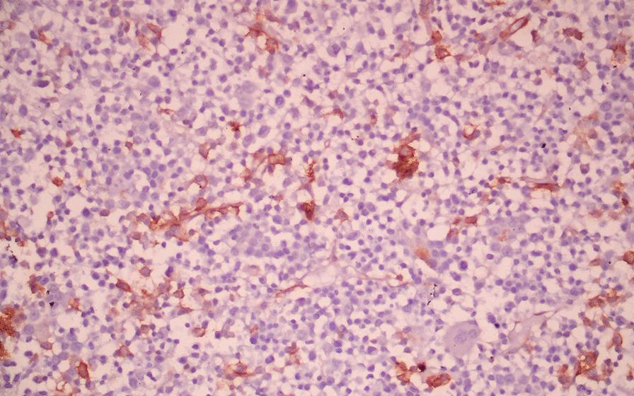
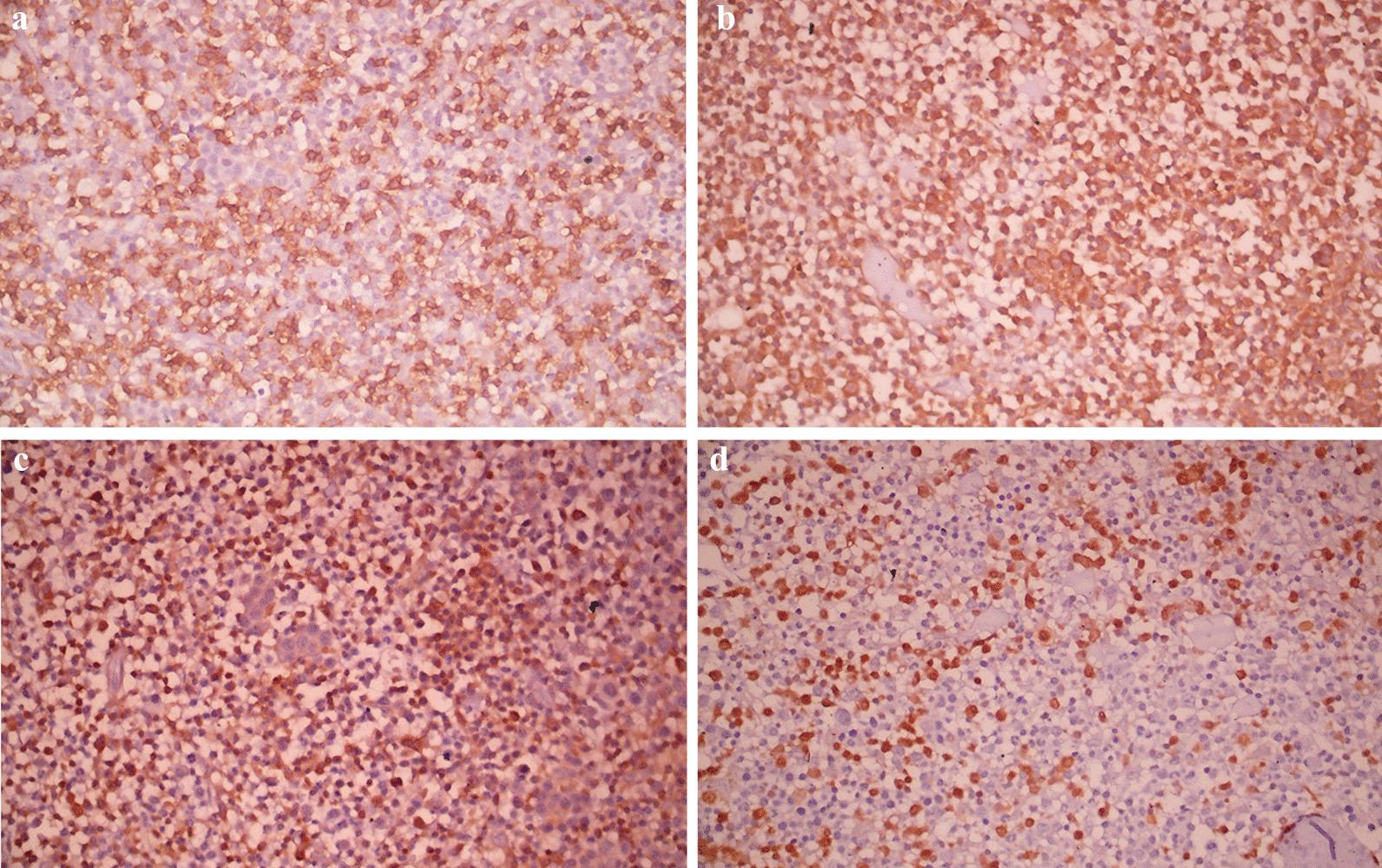
A 42-year-old Nepalese male presented with sudden-onset bilateral painless blurring of vision. Fundus examination revealed bilateral, diffusely dilated, tortuous retinal veins and intraretinal deep blot hemorrhages in all four quadrants of the retina in both eyes; features of bilateral central retinal vein occlusion. Serum electrophoresis showed hypoalbuminemia with an immunoglobulin M kappa monoclonal spike. Bone marrow picture and immunohistochemistry analysis were suggestive of lymphoplasmacytic lymphoma. The patient received systemic therapy for Waldenström macroglobulinemia, along with intravitreal bevacizumab.
Adequate hydration, plasmapheresis, and a combination of bortezomib, dexamethasone, and rituximab regimen as a systemic therapy may represent an ideal choice for patients with hyperviscosity in Waldenström macroglobulinemia.
华氏巨球蛋白血症是一种罕见的血液系统恶性肿瘤,也是高黏滞血症患者最常见的诊断。华氏巨球蛋白血症以双侧中央视网膜静脉阻塞为首发表现的高黏滞血症较为罕见。
一名 42 岁的尼泊尔男性因突发双侧无痛性视力模糊就诊。眼底检查发现双眼视网膜各象限均存在双侧弥漫性、扩张、迂曲的视网膜静脉和视网膜内深层斑点状出血;符合双侧中央视网膜静脉阻塞的特征。血清电泳显示低白蛋白血症伴免疫球蛋白 M 卡氏单克隆峰。骨髓图像和免疫组化分析提示淋巴浆细胞淋巴瘤。患者接受了华氏巨球蛋白血症的系统治疗,包括玻璃体腔内注射贝伐珠单抗。
充分水化、血浆置换,以及硼替佐米联合地塞米松和利妥昔单抗的方案作为系统治疗,可能是华氏巨球蛋白血症伴高黏滞血症患者的理想选择。