Key Laboratory of Carcinogenesis and Translational Research (Ministry of Education/Beijing), Department of Radiology, Peking University Cancer Hospital & Institute, 52 Fu Cheng Road, Hai Dian District, Beijing, 100142, China.
Key Laboratory of Carcinogenesis and Translational Research (Ministry of Education/Beijing), Hepatopancreatobiliary Surgery Department I, Peking University Cancer Hospital & Institute, 52 Fu Cheng Road, Hai Dian District, Beijing, 100142, China.
Cancer Imaging. 2023 Feb 21;23(1):18. doi: 10.1186/s40644-023-00529-y.
Patients with colorectal liver metastases (CRLM) combined with hepatic lymph node (HLN) metastases have a poor prognosis. In this study, we developed and validated a model using clinical and magnetic resonance imaging (MRI) parameters to predict HLN status before surgery.
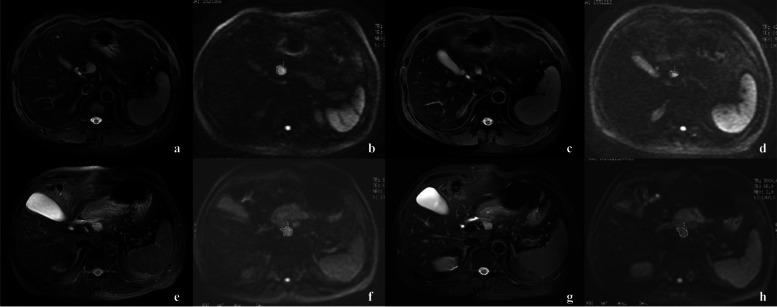
A total of 104 CRLM patients undergoing hepatic lymphonodectomy with pathologically confirmed HLN status after preoperative chemotherapy were enrolled in this study. The patients were further divided into a training group (n = 52) and a validation group (n = 52). The apparent diffusion coefficient (ADC) values, including ADC and ADC of the largest HLN before and after treatment, were measured. rADC was calculated referring to the target liver metastases, spleen, and psoas major muscle (rADC, rADC rADC). In addition, ADC change rate (Δ% ADC) was quantitatively calculated. A multivariate logistic regression model for predicting HLN status in CRLM patients was constructed using the training group and further tested in the validation group.
In the training cohort, post-ADC (P = 0.018) and the short diameter of the largest lymph node after treatment (P = 0.001) were independent predictors for metastatic HLN in CRLM patients. The model's AUC was 0.859 (95% CI, 0.757-0.961) and 0.767 (95% CI 0.634-0.900) in the training and validation cohorts, respectively. Patients with metastatic HLN showed significantly worse overall survival (p = 0.035) and recurrence-free survival (p = 0.015) than patients with negative HLN.
The developed model using MRI parameters could accurately predict HLN metastases in CRLM patients and could be used to preoperatively assess the HLN status and facilitate surgical treatment decisions in patients with CRLM.
结直肠癌肝转移(CRLM)合并肝淋巴结(HLN)转移的患者预后较差。在本研究中,我们开发并验证了一种使用临床和磁共振成像(MRI)参数来预测术前 HLN 状态的模型。
本研究共纳入 104 例接受肝淋巴结切除术且术前化疗后经病理证实存在 HLN 转移的 CRLM 患者。患者进一步分为训练组(n=52)和验证组(n=52)。测量治疗前后最大 HLN 的表观扩散系数(ADC)值,包括 ADC 和治疗前后最大 HLN 的 ADC 值。参照目标肝转移灶、脾脏和腰大肌计算 rADC(rADC、rADC rADC)。此外,还定量计算了 ADC 变化率(Δ% ADC)。使用训练组构建用于预测 CRLM 患者 HLN 状态的多变量逻辑回归模型,并在验证组中进一步进行测试。
在训练队列中,治疗后 ADC(P=0.018)和最大淋巴结短径(P=0.001)是 CRLM 患者转移性 HLN 的独立预测因子。该模型在训练和验证队列中的 AUC 分别为 0.859(95%CI,0.757-0.961)和 0.767(95%CI,0.634-0.900)。转移性 HLN 患者的总生存期(p=0.035)和无复发生存期(p=0.015)明显差于阴性 HLN 患者。
该研究使用 MRI 参数开发的模型能够准确预测 CRLM 患者的 HLN 转移,并可用于术前评估 HLN 状态,为 CRLM 患者的手术治疗决策提供便利。