Suppr超能文献

黄色肉芽肿性附睾睾丸炎:一项单机构病例系列研究及系统评价

Xanthogranulomatous epididymo-orchitis: A single-institutional case series and systematic review.

作者信息

Vijayvergiya Garima, Gulwani Hanni Vasudev, Ul Hasan Shariq

机构信息

Department of Pathology, Bhopal Memorial Hospital and Research Centre, Bhopal, Madhya Pradesh, India.

Department of Urosurgery, Bhopal Memorial Hospital and Research Centre, Bhopal, Madhya Pradesh, India.

出版信息

Indian J Urol. 2023 Jan-Mar;39(1):58-66. doi: 10.4103/iju.iju_270_22. Epub 2022 Dec 29.

Abstract

INTRODUCTION

Xanthogranulomatous inflammation is a rare nonneoplastic and chronic inflammatory process, characterized by proliferation of foamy macrophages resulting in damage and necrosis of the affected tissue. Involvement of the testis/epididymis by the disease is a rare event.

METHODS

A case series of four male patients diagnosed with xanthogranulomatous epididymitis/orchitis (XGEO) at our institute was reviewed. In addition, a systematic review of XGEO was carried out using PRISMA Guidelines 2020. Twenty-nine articles describing 38 patients of XGEO were included in the study.

RESULTS

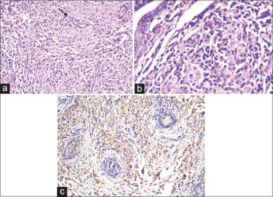
XGEO usually has a subacute or chronic presentation and affects male individuals in the 5 or 6 decades of life. The disease is also known to occur in the pediatric age group. The patients present with swelling, tenderness, or pain in the scrotal region. Bilateral involvement has also been documented. Thirty patients were known to have one or more causal risk factors including diabetes mellitus (23.7%), spinal cord injury/neuropathic bladder (7.9%), prostatectomy (7.9%), trauma (4.1%), and transurethral resection of prostate procedure (4.1%). Complications observed were scrotal fistula, adhesions, and abscess formation. Radiological features reported are nonspecific and include heterogeneous echotexture, hypoechoic areas, and/or scrotal wall collections. Bacterial microorganisms isolated from the affected tissue demonstrated the presence of Escherichia coli, Pseudomonas aeruginosa, and Staphylococcus aureus. Histological subtypes of XGEO are diffuse and focal. In the diffuse subtype, which is more common, there is extensive parenchymal destruction by inflammatory process accompanied by widespread ischemic necrosis.

CONCLUSION

The mainstay of treatment in XGEO cases is surgical excision preferably orchidectomy. Conservative management has been attempted in young individuals and in patients with focal XGEO, but there is limited supporting evidence. We present data of four cases along with detailed systematic review of the disease examining its clinicopathological behavior and associated risk factors followed by operative approach.

摘要

引言

黄色肉芽肿性炎症是一种罕见的非肿瘤性慢性炎症过程,其特征是泡沫状巨噬细胞增殖,导致受累组织受损和坏死。该疾病累及睾丸/附睾是一种罕见情况。

方法

回顾了我院诊断为黄色肉芽肿性附睾炎/睾丸炎(XGEO)的4例男性患者的病例系列。此外,使用2020年PRISMA指南对XGEO进行了系统评价。本研究纳入了29篇描述38例XGEO患者的文章。

结果

XGEO通常呈亚急性或慢性表现,影响5或6个十年年龄段的男性个体。该疾病在儿童年龄组中也有发生。患者表现为阴囊区域肿胀、压痛或疼痛。也有双侧受累的记录。已知30例患者有一个或多个因果风险因素,包括糖尿病(23.7%)、脊髓损伤/神经源性膀胱(7.9%)、前列腺切除术(7.9%)、创伤(4.1%)和经尿道前列腺切除术(4.1%)。观察到的并发症有阴囊瘘、粘连和脓肿形成。报告的放射学特征不具特异性,包括不均匀回声结构、低回声区和/或阴囊壁积液。从受累组织分离出的细菌微生物显示有大肠杆菌、铜绿假单胞菌和金黄色葡萄球菌。XGEO的组织学亚型为弥漫型和局灶型。在较常见的弥漫型亚型中,炎症过程导致广泛的实质破坏,并伴有广泛的缺血性坏死。

结论

XGEO病例的主要治疗方法是手术切除,最好是睾丸切除术。在年轻个体和局灶性XGEO患者中尝试过保守治疗,但支持证据有限。我们展示了4例病例的数据,并对该疾病进行了详细的系统评价,检查其临床病理行为和相关风险因素,随后介绍了手术方法。

https://cdn.ncbi.nlm.nih.gov/pmc/blobs/9b73/9942209/6afe361492a7/IJU-39-58-g001.jpg

文献AI研究员

20分钟写一篇综述,助力文献阅读效率提升50倍。

立即体验

用中文搜PubMed

大模型驱动的PubMed中文搜索引擎

马上搜索

文档翻译

学术文献翻译模型,支持多种主流文档格式。

立即体验