Suppr超能文献

遗传性蛋白S缺乏症与活化蛋白C抵抗伴复发性血栓形成和中风

Hereditary Protein S Deficiency and Activated Protein C Resistance Manifesting With Recurrent Thrombosis and Stroke.

作者信息

Finsterer Josef

机构信息

Neurology, Neurology and Neurophysiology Center, Vienna, AUT.

出版信息

Cureus. 2023 Jan 20;15(1):e34012. doi: 10.7759/cureus.34012. eCollection 2023 Jan.

Abstract

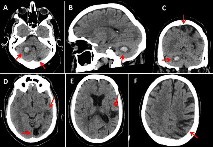
The dual coagulation disorder hereditary protein S deficiency and activated protein C (APC) resistance, which clinically manifests with recurrent venous thrombosis and multifocal ischemic stroke, has only rarely been reported in the same patient. The patient is a 54-year-old male with a history of recurrent, asymptomatic ischemic stroke or transient ischemic attack (TIA) since age 14 and four episodes of deep vein thromboses (DVT), two complicated by pulmonary embolism, attributed to hereditary protein S deficiency and homozygous factor V Leiden mutation. In addition, the medical history was positive for obesity, previous chronic alcoholism, smoking, gynecomastia with left breast resection, arterial hypertension, hepatic steatosis, and cholecystolithiasis. Because of low compliance, long-term oral anticoagulation with phenprocoumon from the age of 38 was replaced by dabigatran (300 mg/d) after another stroke with bleeding at the age of 54. In summary, the simultaneous presence of two hereditary coagulation disorders can lead to multiple venous thromboses and recurrent ischemic stroke. An appealing therapeutic option in poorly compliant patients with these two hereditary clotting defects is the replacement of long-term anticoagulation with a vitamin K antagonist (VKA) by a direct oral anticoagulant.

摘要

双重凝血障碍——遗传性蛋白S缺乏症和活化蛋白C(APC)抵抗,临床上表现为复发性静脉血栓形成和多灶性缺血性中风,同一患者中这种情况鲜有报道。该患者为一名54岁男性,自14岁起有复发性无症状缺血性中风或短暂性脑缺血发作(TIA)病史,并有4次深静脉血栓形成(DVT)发作,其中2次并发肺栓塞,病因是遗传性蛋白S缺乏症和纯合子因子V莱顿突变。此外,病史显示患者有肥胖、既往慢性酒精中毒、吸烟、男性乳房发育伴左乳房切除术、动脉高血压、肝脂肪变性和胆囊结石。由于依从性差,38岁起服用苯丙香豆素进行的长期口服抗凝治疗,在54岁再次中风并伴有出血后,改为服用达比加群(300毫克/天)。总之,两种遗传性凝血障碍同时存在可导致多发性静脉血栓形成和复发性缺血性中风。对于这两种遗传性凝血缺陷且依从性差的患者,一个有吸引力的治疗选择是用直接口服抗凝剂替代维生素K拮抗剂(VKA)进行长期抗凝治疗。

https://cdn.ncbi.nlm.nih.gov/pmc/blobs/3308/9941041/f96409bcca14/cureus-0015-00000034012-i01.jpg

文献AI研究员

20分钟写一篇综述,助力文献阅读效率提升50倍。

立即体验

用中文搜PubMed

大模型驱动的PubMed中文搜索引擎

马上搜索

文档翻译

学术文献翻译模型,支持多种主流文档格式。

立即体验