Suppr超能文献

骨软骨瘤病中的恶性转化:一种用于胫骨大假体的新型柄部。

Malignant Transformation in Ollier's Disease: A Novel Stem for a Tibial Megaprosthesis.

作者信息

Ng Vincent Y, Khoury Philip

机构信息

Department of Orthopedics, University of Maryland Medical Center, Baltimore, USA.

Department of Orthopedics, School of Medicine, University of Maryland, Baltimore, USA.

出版信息

Cureus. 2023 Jan 22;15(1):e34057. doi: 10.7759/cureus.34057. eCollection 2023 Jan.

Abstract

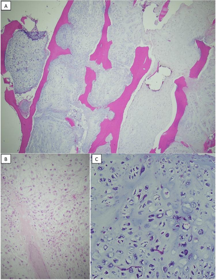
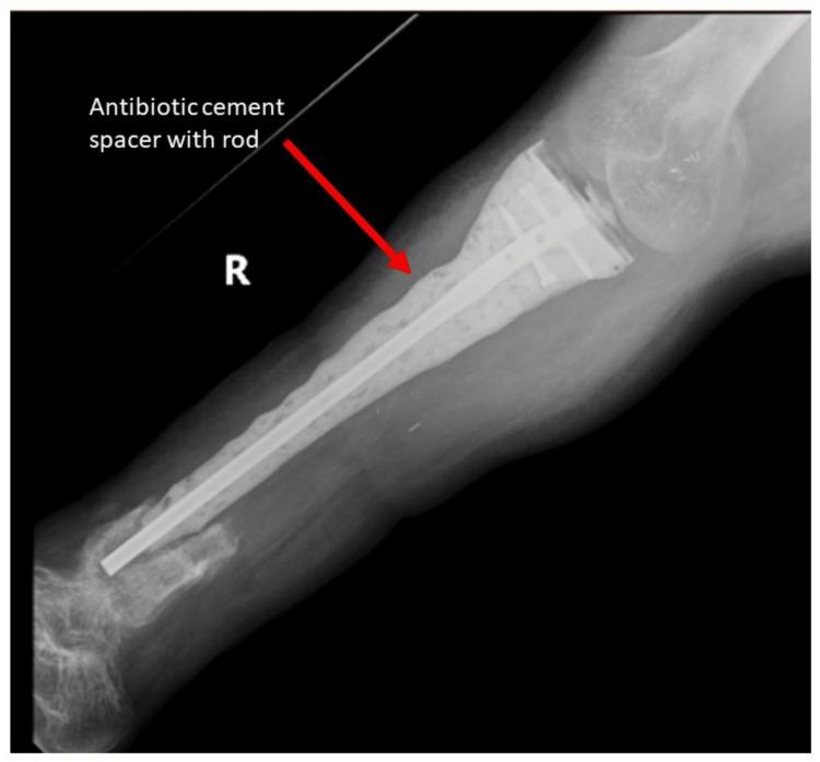
Ollier's disease is a rare syndrome characterized by multiple enchondromas with the potential for malignant transformation. The treatment for secondary chondrosarcoma is surgical resection, which can be a morbid procedure depending on the location and size of the tumor. We present a successful limb salvage in which the majority of the tibia was removed and replaced with a megaprosthesis. The complex reconstruction in this case required the use of a novel uncemented stem.

摘要

骨软骨瘤病是一种罕见的综合征,其特征为多发性内生软骨瘤并有恶变的可能。继发性软骨肉瘤的治疗方法是手术切除,根据肿瘤的位置和大小,这可能是一个创伤性较大的手术。我们展示了一例成功的保肢手术,其中大部分胫骨被切除并用一个大型假体进行了置换。该病例中的复杂重建需要使用一种新型的非骨水泥型柄。

https://cdn.ncbi.nlm.nih.gov/pmc/blobs/aa38/9941032/3de08350dcad/cureus-0015-00000034057-i01.jpg

文献AI研究员

20分钟写一篇综述,助力文献阅读效率提升50倍。

立即体验

用中文搜PubMed

大模型驱动的PubMed中文搜索引擎

马上搜索

文档翻译

学术文献翻译模型,支持多种主流文档格式。

立即体验