Suppr超能文献

伴有颅外转移的BRAF V600E突变型胶质母细胞瘤对BRAF和MEK联合靶向抑制有反应:一例报告

BRAF V600E-Mutant Glioblastoma with Extracranial Metastases Responsive to Combined BRAF and MEK Targeted Inhibition: A Case Report.

作者信息

Munjapara Vasu, Heumann Thatcher, Schreck Karisa C, Gross John M, Perez-Heydrich Carlos, Gujar Sachin K, Eberhart Charles G, Holdhoff Matthias

机构信息

aDepartment of Oncology, The Johns Hopkins University School of Medicine, Baltimore, Maryland, USA.

bDepartment of Neurology, The Johns Hopkins University School of Medicine, Baltimore, Maryland, USA.

出版信息

Case Rep Oncol. 2022 Oct 7;15(3):909-917. doi: 10.1159/000525660. eCollection 2022 Sep-Dec.

Abstract

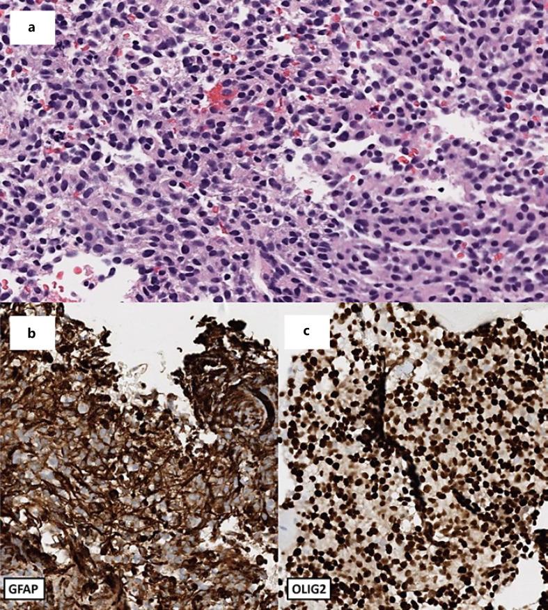
Recent advancements in understanding the biology of glioblastomas (GBM) and increasing adoption of genomic sequencing in oncology practice have led to the discovery of several targetable mutations in these cancers. Among them, the BRAF V600E mutation can be found in approximately 3% of GBM. Despite the aggressive nature of GBM, metastatic disease is rarely observed. While there are growing data utilizing BRAF-targeting strategies in patients with GBM, data examining their efficacy in cases of metastatic GBM are lacking. We present the case of a 46-year-old female with GBM, isocitrate dehydrogenase (IDH)-wildtype and O-methylguanine-DNA methyltransferase promoter (MGMT) unmethylated, BRAF V600E-mutant, and MYC amplified with extra-central nervous system spread to the spine and lung. Four months after completion of treatment with standard chemoradiation and temozolomide, the patient developed severe back pain, leading to the eventual discovery of her metastatic disease. Based on the presence of the BRAF V600E mutation, the patient was treated with and achieved an intracranial and systemic response to combination BRAF-MEK targeted inhibition for 9 months before evidence of progression.

摘要

近年来,在胶质母细胞瘤(GBM)生物学认识方面的进展以及肿瘤学实践中基因组测序应用的增加,促使人们在这些癌症中发现了几种可靶向的突变。其中,BRAF V600E突变在约3%的GBM中可见。尽管GBM具有侵袭性,但很少观察到转移性疾病。虽然有越来越多的数据表明在GBM患者中使用BRAF靶向策略,但缺乏关于其在转移性GBM病例中疗效的数据。我们报告了一例46岁女性GBM患者,异柠檬酸脱氢酶(IDH)野生型、O-甲基鸟嘌呤-DNA甲基转移酶启动子(MGMT)未甲基化、BRAF V600E突变且MYC扩增,伴有中枢神经系统外扩散至脊柱和肺部。在完成标准放化疗和替莫唑胺治疗四个月后,患者出现严重背痛,最终发现其转移性疾病。基于BRAF V600E突变的存在,患者接受了BRAF-MEK联合靶向抑制治疗,在出现疾病进展迹象之前,颅内和全身反应达9个月。

https://cdn.ncbi.nlm.nih.gov/pmc/blobs/244f/9941771/c90814728357/cro-0015-0909-g01.jpg

文献AI研究员

20分钟写一篇综述,助力文献阅读效率提升50倍。

立即体验

用中文搜PubMed

大模型驱动的PubMed中文搜索引擎

马上搜索

文档翻译

学术文献翻译模型,支持多种主流文档格式。

立即体验