• 文献检索
  • 文档翻译
  • 深度研究
  • 学术资讯
  • Suppr Zotero 插件Zotero 插件
  • 邀请有礼
  • 套餐&价格
  • 历史记录
应用&插件
Suppr Zotero 插件Zotero 插件浏览器插件Mac 客户端Windows 客户端微信小程序
定价
高级版会员购买积分包购买API积分包
服务
文献检索文档翻译深度研究API 文档MCP 服务
关于我们
关于 Suppr公司介绍联系我们用户协议隐私条款
关注我们

Suppr 超能文献

核心技术专利:CN118964589B侵权必究
粤ICP备2023148730 号-1Suppr @ 2026

文献检索

告别复杂PubMed语法,用中文像聊天一样搜索,搜遍4000万医学文献。AI智能推荐,让科研检索更轻松。

立即免费搜索

文件翻译

保留排版,准确专业,支持PDF/Word/PPT等文件格式,支持 12+语言互译。

免费翻译文档

深度研究

AI帮你快速写综述,25分钟生成高质量综述,智能提取关键信息,辅助科研写作。

立即免费体验

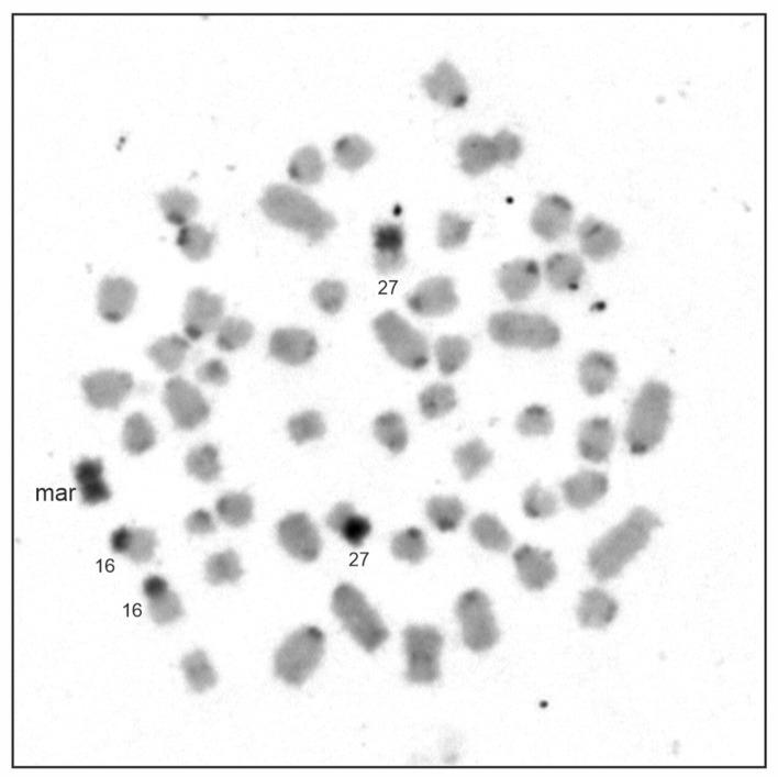
在亚洲象中鉴定出额外的标记染色体()。

Supernumerary Marker Chromosome Identified in Asian Elephant ().

作者信息

Cernohorska Halina, Kubickova Svatava, Musilova Petra, Vozdova Miluse, Vodicka Roman, Rubes Jiri

机构信息

Department of Genetics and Reproductive Biotechnologies, Veterinary Research Institute, 62100 Brno, Czech Republic.

Zoo Praha, 17100 Praha, Czech Republic.

出版信息

Animals (Basel). 2023 Feb 17;13(4):701. doi: 10.3390/ani13040701.

DOI:10.3390/ani13040701
PMID:36830488
原文链接:https://pmc.ncbi.nlm.nih.gov/articles/PMC9952010/
Abstract

We identified a small, supernumerary marker chromosome (sSMC) in two phenotypically normal Asian elephants (): a female (2n = 57,XX,+mar) and her male offspring (2n = 57,XY,+mar). sSMCs are defined as structurally abnormal chromosomes that cannot be identified by conventional banding analysis since they are usually small and often lack distinct banding patterns. Although current molecular techniques can reveal their origin, the mechanism of their formation is not yet fully understood. We determined the origin of the marker using a suite of conventional and molecular cytogenetic approaches that included (a) G- and C-banding, (b) AgNOR staining, (c) preparation of a DNA clone using laser microdissection of the marker chromosome, (d) FISH with commercially available human painting and telomeric probes, and (e) FISH with centromeric DNA derived from the centromeric regions of a marker-free Asian elephant. Moreover, we present new information on the location and number of NORs in Asian and savanna elephants. We show that the metacentric marker was composed of heterochromatin with NORs at the terminal ends, originating most likely from the heterochromatic region of chromosome 27. In this context, we discuss the possible mechanism of marker formation. We also discuss the similarities between sSMCs and B chromosomes and whether the marker chromosome presented here could evolve into a B chromosome in the future.

摘要

我们在两头表型正常的亚洲象中鉴定出一条小的额外标记染色体(sSMC):一头雌性大象(2n = 57,XX,+mar)及其雄性后代(2n = 57,XY,+mar)。sSMC被定义为结构异常的染色体,由于它们通常很小且往往缺乏明显的带型模式,因此无法通过传统的带型分析来识别。尽管目前的分子技术可以揭示它们的起源,但其形成机制尚未完全了解。我们使用了一系列传统和分子细胞遗传学方法来确定该标记的起源,这些方法包括:(a)G带和C带分析;(b)AgNOR染色;(c)使用标记染色体的激光显微切割制备DNA克隆;(d)用市售的人类染色体涂染探针和端粒探针进行荧光原位杂交(FISH);(e)用源自无标记亚洲象着丝粒区域的着丝粒DNA进行FISH。此外,我们还提供了有关亚洲象和草原象核仁组织区(NOR)位置和数量的新信息。我们发现,这条中着丝粒标记染色体由异染色质组成,其末端有NOR,最有可能起源于27号染色体的异染色质区域。在此背景下,我们讨论了标记形成的可能机制。我们还讨论了sSMC与B染色体之间的相似性,以及这里呈现的标记染色体未来是否可能演变成B染色体。

https://cdn.ncbi.nlm.nih.gov/pmc/blobs/78ac/9952010/975827bbc496/animals-13-00701-g007.jpg
https://cdn.ncbi.nlm.nih.gov/pmc/blobs/78ac/9952010/96c11d82274f/animals-13-00701-g001.jpg
https://cdn.ncbi.nlm.nih.gov/pmc/blobs/78ac/9952010/a687dcf6f801/animals-13-00701-g002.jpg
https://cdn.ncbi.nlm.nih.gov/pmc/blobs/78ac/9952010/22cdc84a2959/animals-13-00701-g003.jpg
https://cdn.ncbi.nlm.nih.gov/pmc/blobs/78ac/9952010/31da8cba2c23/animals-13-00701-g004.jpg
https://cdn.ncbi.nlm.nih.gov/pmc/blobs/78ac/9952010/45c4e47513f4/animals-13-00701-g005.jpg
https://cdn.ncbi.nlm.nih.gov/pmc/blobs/78ac/9952010/8317df6ea850/animals-13-00701-g006.jpg
https://cdn.ncbi.nlm.nih.gov/pmc/blobs/78ac/9952010/975827bbc496/animals-13-00701-g007.jpg
https://cdn.ncbi.nlm.nih.gov/pmc/blobs/78ac/9952010/96c11d82274f/animals-13-00701-g001.jpg
https://cdn.ncbi.nlm.nih.gov/pmc/blobs/78ac/9952010/a687dcf6f801/animals-13-00701-g002.jpg
https://cdn.ncbi.nlm.nih.gov/pmc/blobs/78ac/9952010/22cdc84a2959/animals-13-00701-g003.jpg
https://cdn.ncbi.nlm.nih.gov/pmc/blobs/78ac/9952010/31da8cba2c23/animals-13-00701-g004.jpg
https://cdn.ncbi.nlm.nih.gov/pmc/blobs/78ac/9952010/45c4e47513f4/animals-13-00701-g005.jpg
https://cdn.ncbi.nlm.nih.gov/pmc/blobs/78ac/9952010/8317df6ea850/animals-13-00701-g006.jpg
https://cdn.ncbi.nlm.nih.gov/pmc/blobs/78ac/9952010/975827bbc496/animals-13-00701-g007.jpg

相似文献

1
Supernumerary Marker Chromosome Identified in Asian Elephant ().在亚洲象中鉴定出额外的标记染色体()。
Animals (Basel). 2023 Feb 17;13(4):701. doi: 10.3390/ani13040701.
2
Molecular cytogenetic characterization of eight small supernumerary marker chromosomes originating from chromosomes 2, 4, 8, 18, and 21 in three patients.三名患者中源自2号、4号、8号、18号和21号染色体的八条小额外标记染色体的分子细胞遗传学特征分析
J Appl Genet. 2007;48(2):167-75. doi: 10.1007/BF03194675.
3
Small supernumerary marker chromosomes derived from chromosome 14 and/or 22.源自14号和/或22号染色体的小额外标记染色体。
Mol Cytogenet. 2021 Feb 25;14(1):13. doi: 10.1186/s13039-021-00533-6.
4
Identification of small marker chromosomes using microarray comparative genomic hybridization and multicolor fluorescent in situ hybridization.使用微阵列比较基因组杂交和多色荧光原位杂交技术鉴定小标记染色体
Mol Cytogenet. 2016 Aug 8;9:61. doi: 10.1186/s13039-016-0273-5. eCollection 2016.
5
Prenatal detection and characterization of a small supernumerary marker chromosome (sSMC) derived from chromosome 22 with apparently normal phenotype.产前检测及鉴定一条源自22号染色体的小额外标记染色体(sSMC),其表型明显正常。
Prenat Diagn. 2006 Oct;26(10):898-902. doi: 10.1002/pd.1520.
6
Molecular cytogenetic characterization of small supernumerary marker 15 in infertile male: A case report.不育男性小额外标记染色体15的分子细胞遗传学特征:一例报告
Exp Ther Med. 2020 Apr;19(4):2927-2932. doi: 10.3892/etm.2020.8542. Epub 2020 Feb 21.
7
[Genetic analysis and assisted reproductive guidance for two infertile patients with rare small supernumerary marker chromosomes].[两名罕见小额外标记染色体不孕患者的遗传分析及辅助生殖指导]
Zhonghua Yi Xue Yi Chuan Xue Za Zhi. 2024 May 10;41(5):519-525. doi: 10.3760/cma.j.cn511374-20230322-00152.
8
[Cytogenetic and molecular genetic analysis of three cases with small supernumerary marker chromosomes].[三例小额外标记染色体病例的细胞遗传学和分子遗传学分析]
Zhonghua Yi Xue Yi Chuan Xue Za Zhi. 2021 Mar 10;38(3):264-267. doi: 10.3760/cma.j.cn511374-20200227-00106.
9
Overrepresentation of small supernumerary marker chromosomes (sSMC) from chromosome 6 origin in cases with multiple sSMC.在具有多个小额外标记染色体(sSMC)的病例中,源自6号染色体的小额外标记染色体(sSMC)的过度代表性。
Am J Med Genet A. 2006 Jan 1;140(1):46-51. doi: 10.1002/ajmg.a.31048.
10
Comparative cytogenetics of the African elephant (Loxodonta africana) and Asiatic elephant (Elephas maximus).非洲象(非洲象属)和亚洲象(亚洲象属)的比较细胞遗传学
Cytogenet Cell Genet. 2001;93(3-4):249-52. doi: 10.1159/000056992.

引用本文的文献

1
Does chromoanagenesis play a role in the origin of B chromosomes?染色体组突变在B染色体的起源中起作用吗?
Heredity (Edinb). 2025 Apr 19. doi: 10.1038/s41437-025-00758-w.

本文引用的文献

1
Molecular delineation of small supernumerary marker chromosomes using a single nucleotide polymorphism array.使用单核苷酸多态性阵列对小额外标记染色体进行分子描绘。
Mol Cytogenet. 2020 May 27;13:19. doi: 10.1186/s13039-020-00486-2. eCollection 2020.
2
The dark side of centromeres: types, causes and consequences of structural abnormalities implicating centromeric DNA.着丝粒的阴暗面:涉及着丝粒 DNA 的结构异常的类型、原因和后果。
Nat Commun. 2018 Oct 18;9(1):4340. doi: 10.1038/s41467-018-06545-y.
3
B Chromosomes in Populations of Mammals Revisited.
重新审视哺乳动物种群中的B染色体。
Genes (Basel). 2018 Oct 9;9(10):487. doi: 10.3390/genes9100487.
4
A comprehensive genomic history of extinct and living elephants.已灭绝和现存大象的综合基因组历史。
Proc Natl Acad Sci U S A. 2018 Mar 13;115(11):E2566-E2574. doi: 10.1073/pnas.1720554115. Epub 2018 Feb 26.
5
Small supernumerary marker chromosomes and their correlation with specific syndromes.小额外标记染色体及其与特定综合征的相关性。
Adv Biomed Res. 2015 Jul 27;4:140. doi: 10.4103/2277-9175.161542. eCollection 2015.
6
Nanger, Eudorcas, Gazella, and Antilope form a well-supported chromosomal clade within Antilopini (Bovidae, Cetartiodactyla).南羚属、高角羚属、瞪羚属和羚羊属在羚羊族(牛科,偶蹄目)中构成了一个得到充分支持的染色体分支。
Chromosoma. 2015 Jun;124(2):235-47. doi: 10.1007/s00412-014-0494-5. Epub 2014 Nov 23.
7
Tribe-specific satellite DNA in non-domestic Bovidae.非家养牛科动物中特定族的卫星DNA。
Chromosome Res. 2014 Sep;22(3):277-91. doi: 10.1007/s10577-014-9401-4. Epub 2014 Jan 23.
8
Efficient high-throughput sequencing of a laser microdissected chromosome arm.激光显微切割染色体臂的高效高通量测序。
BMC Genomics. 2013 May 28;14:357. doi: 10.1186/1471-2164-14-357.
9
Molecular insights into X;BTA5 chromosome rearrangements in the tribe Antilopini (Bovidae).牛科羚羊族X;BTA5染色体重排的分子见解
Cytogenet Genome Res. 2012;136(3):188-98. doi: 10.1159/000336248. Epub 2012 Feb 11.
10
A case of an infertile male with a small supernumerary marker chromosome negative for M-FISH and containing only heterochromatin.一例不育男性患者,其存在一条小的额外标记染色体,M-FISH检测为阴性,且仅含异染色质。
J Assist Reprod Genet. 2009 May;26(5):291-5. doi: 10.1007/s10815-009-9310-1. Epub 2009 May 14.