• 文献检索
  • 文档翻译
  • 深度研究
  • 学术资讯
  • Suppr Zotero 插件Zotero 插件
  • 邀请有礼
  • 套餐&价格
  • 历史记录
应用&插件
Suppr Zotero 插件Zotero 插件浏览器插件Mac 客户端Windows 客户端微信小程序
定价
高级版会员购买积分包购买API积分包
服务
文献检索文档翻译深度研究API 文档MCP 服务
关于我们
关于 Suppr公司介绍联系我们用户协议隐私条款
关注我们

Suppr 超能文献

核心技术专利:CN118964589B侵权必究
粤ICP备2023148730 号-1Suppr @ 2026

文献检索

告别复杂PubMed语法,用中文像聊天一样搜索,搜遍4000万医学文献。AI智能推荐,让科研检索更轻松。

立即免费搜索

文件翻译

保留排版,准确专业,支持PDF/Word/PPT等文件格式,支持 12+语言互译。

免费翻译文档

深度研究

AI帮你快速写综述,25分钟生成高质量综述,智能提取关键信息,辅助科研写作。

立即免费体验

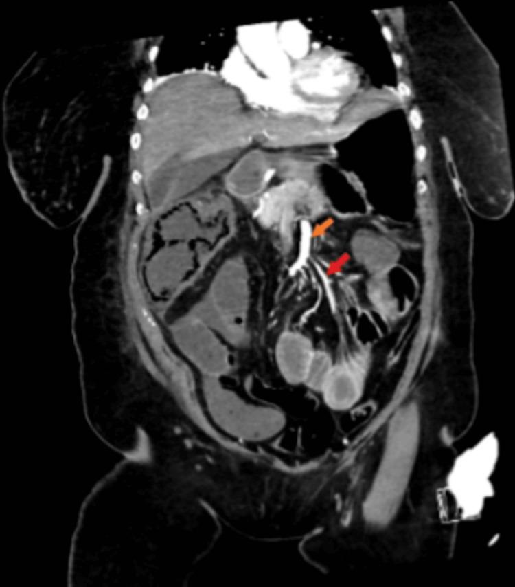
多枝梭菌血症伴因肠系膜上动脉和肠系膜下动脉闭塞继发的肠系膜缺血

Clostridium ramosum Bacteremia With Mesenteric Ischemia Secondary to Superior and Inferior Mesenteric Arteries Occlusion.

作者信息

Padron Christina, Valdez Imbert Mario, Akanmode Abiodun M, Jameel Ihab

机构信息

Internal Medicine, Columbia University College of Physicians and Surgeons, Harlem Hospital Center, New York City, USA.

出版信息

Cureus. 2023 Jan 24;15(1):e34170. doi: 10.7759/cureus.34170. eCollection 2023 Jan.

DOI:10.7759/cureus.34170
PMID:36843680
原文链接:https://pmc.ncbi.nlm.nih.gov/articles/PMC9950000/
Abstract

Clostridium ramosum, despite being a common enteric bacterium, is not commonly identified as the cause of pathologic infections in humans. It was first identified by Veillion and Zuber in 1898 from a patient with pulmonary gangrene and appendicitis. After performing an extensive literature search of major databases, only a few cases of pathologic C. ramosum infection were found in the medical literature. In this piece of work, we add to existing research by presenting a case report of an 83-year-old female who presented with abdominal pain, fever, and shortness of breath, requiring ICU admission due to mesenteric ischemia and C. ramosum bacteremia.

摘要

多枝梭菌尽管是一种常见的肠道细菌,但在人类中并不常被确定为病理性感染的病因。它于1898年由韦利翁和祖伯首次从一名患有肺坏疽和阑尾炎的患者身上分离出来。在对主要数据库进行广泛的文献检索后,医学文献中仅发现了少数几例多枝梭菌病理性感染病例。在这项工作中,我们通过报告一例83岁女性病例来补充现有研究,该患者出现腹痛、发热和呼吸急促,因肠系膜缺血和多枝梭菌菌血症而需要入住重症监护病房。

https://cdn.ncbi.nlm.nih.gov/pmc/blobs/a1fa/9950000/9606b1728a0d/cureus-0015-00000034170-i02.jpg
https://cdn.ncbi.nlm.nih.gov/pmc/blobs/a1fa/9950000/bddc7b1c2478/cureus-0015-00000034170-i01.jpg
https://cdn.ncbi.nlm.nih.gov/pmc/blobs/a1fa/9950000/9606b1728a0d/cureus-0015-00000034170-i02.jpg
https://cdn.ncbi.nlm.nih.gov/pmc/blobs/a1fa/9950000/bddc7b1c2478/cureus-0015-00000034170-i01.jpg
https://cdn.ncbi.nlm.nih.gov/pmc/blobs/a1fa/9950000/9606b1728a0d/cureus-0015-00000034170-i02.jpg

相似文献

1
Clostridium ramosum Bacteremia With Mesenteric Ischemia Secondary to Superior and Inferior Mesenteric Arteries Occlusion.多枝梭菌血症伴因肠系膜上动脉和肠系膜下动脉闭塞继发的肠系膜缺血
Cureus. 2023 Jan 24;15(1):e34170. doi: 10.7759/cureus.34170. eCollection 2023 Jan.
2
Two cases of Clostridium ramosum bacteremia with intestinal perforation: The antimicrobial susceptibility of clinical strains.两例伴有肠穿孔的拉姆氏梭状芽孢杆菌菌血症:临床分离株的药敏试验结果。
Anaerobe. 2023 Apr;80:102695. doi: 10.1016/j.anaerobe.2023.102695. Epub 2023 Jan 12.
3
Fatal Fournier's gangrene caused by Clostridium ramosum in a patient with central diabetes insipidus and insulin-dependent diabetes mellitus: a case report.中枢性尿崩症合并胰岛素依赖型糖尿病患者由脆弱拟杆菌引起的致命性 Fournier 坏疽:病例报告。
BMC Infect Dis. 2018 Aug 2;18(1):363. doi: 10.1186/s12879-018-3280-9.
4
Clostridium ramosum bacteremia: case report and literature review.多枝梭菌菌血症:病例报告及文献综述
Surg Infect (Larchmt). 2014 Jun;15(3):343-6. doi: 10.1089/sur.2012.240. Epub 2013 Nov 27.
5
Aspiration Pneumonia Leading to Clostridium ramosum Bacteremia in a Neutropenic Patient: Case Report and Management Strategy.中性粒细胞减少症患者吸入性肺炎导致拉姆氏梭菌菌血症:病例报告及治疗策略。
Am J Case Rep. 2024 Sep 27;25:e944958. doi: 10.12659/AJCR.944958.
6
rapidly identified by MALDI-TOF MS. A rare gram-variable agent of bacteraemia.通过基质辅助激光解吸电离飞行时间质谱(MALDI-TOF MS)快速鉴定。一种罕见的革兰氏染色不定的菌血症病原体。
Access Microbiol. 2020 Jun 15;2(8):acmi000137. doi: 10.1099/acmi.0.000137. eCollection 2020.
7
Bacteremia in an Immunocompetent Patient with SARS-CoV-2 Infection: A Case Report.一名免疫功能正常的新冠病毒感染患者发生菌血症:病例报告
Infect Drug Resist. 2023 Jul 8;16:4455-4461. doi: 10.2147/IDR.S421409. eCollection 2023.
8
Clostridium ramosum bacteremia: A case series at a general acute care hospital.脆弱拟杆菌菌血症:一家综合急性护理医院的病例系列。
J Infect Chemother. 2023 Jan;29(1):78-81. doi: 10.1016/j.jiac.2022.09.009. Epub 2022 Sep 23.
9
Lung abscess caused by Clostridium ramosum.由多枝梭菌引起的肺脓肿。
J Okla State Med Assoc. 2006 Apr;99(4):158-60.
10
Infected thoracic aortic aneurysm caused by : A case report.感染性胸主动脉瘤病因:一例报告
J Cardiol Cases. 2019 Jul 8;20(3):103-105. doi: 10.1016/j.jccase.2019.06.005. eCollection 2019 Sep.

本文引用的文献

1
Clostridium ramosum bacteremia: A case series at a general acute care hospital.脆弱拟杆菌菌血症:一家综合急性护理医院的病例系列。
J Infect Chemother. 2023 Jan;29(1):78-81. doi: 10.1016/j.jiac.2022.09.009. Epub 2022 Sep 23.
2
rapidly identified by MALDI-TOF MS. A rare gram-variable agent of bacteraemia.通过基质辅助激光解吸电离飞行时间质谱(MALDI-TOF MS)快速鉴定。一种罕见的革兰氏染色不定的菌血症病原体。
Access Microbiol. 2020 Jun 15;2(8):acmi000137. doi: 10.1099/acmi.0.000137. eCollection 2020.
3
Infected thoracic aortic aneurysm caused by : A case report.
感染性胸主动脉瘤病因:一例报告
J Cardiol Cases. 2019 Jul 8;20(3):103-105. doi: 10.1016/j.jccase.2019.06.005. eCollection 2019 Sep.
4
Intestinal Clostridium species lower host susceptibility to enterohemorrhagic Escherichia coli O157:H7 infection.肠道梭菌降低宿主对肠出血性大肠杆菌 O157:H7 感染的易感性。
Pathog Dis. 2019 Jun 1;77(4). doi: 10.1093/femspd/ftz036.
5
Effects of fermentation products of the commensal bacterium Clostridium ramosum on motility, intracellular pH, and flagellar synthesis of enterohemorrhagic Escherichia coli.共生菌脆弱拟杆菌发酵产物对肠出血性大肠杆菌运动性、细胞内 pH 值和鞭毛合成的影响。
Arch Microbiol. 2019 Aug;201(6):841-846. doi: 10.1007/s00203-019-01656-6. Epub 2019 Apr 8.
6
Clostridium ramosum bacteremia: case report and literature review.多枝梭菌菌血症:病例报告及文献综述
Surg Infect (Larchmt). 2014 Jun;15(3):343-6. doi: 10.1089/sur.2012.240. Epub 2013 Nov 27.
7
Epidemiology of Clostridium species bacteremia in Calgary, Canada, 2000-2006.2000 - 2006年加拿大卡尔加里梭菌属菌血症的流行病学研究
J Infect. 2008 Sep;57(3):198-203. doi: 10.1016/j.jinf.2008.06.018. Epub 2008 Jul 30.
8
The possible significance of Clostridium spp. in blood cultures.梭菌属在血培养中的潜在意义。
Clin Microbiol Infect. 2006 Oct;12(10):1006-12. doi: 10.1111/j.1469-0691.2006.01464.x.
9
Clostridium bacteremia: emphasis on the poor prognosis in cirrhotic patients.梭状芽胞杆菌血症:强调肝硬化患者的不良预后
J Microbiol Immunol Infect. 2001 Jun;34(2):113-8.