Suppr超能文献

使用床旁超声诊断一名患有诈病和球孢子菌病感染患者的肺栓塞

Diagnosing Pulmonary Embolism Using Point-of-Care Ultrasound in a Patient With Malingering and Coccidioidomycosis Infection.

作者信息

Chauhan Uday, Athwal Pal, Elhassan Mohammed

机构信息

Internal Medicine, Saint Agnes Medical Center, Fresno, USA.

出版信息

Cureus. 2023 Jan 27;15(1):e34288. doi: 10.7759/cureus.34288. eCollection 2023 Jan.

Abstract

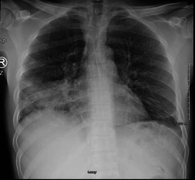
We report a case of a 41-year-old male diagnosed with pulmonary coccidioidomycosis and pulmonary embolism (PE) based on a point-of-care ultrasound (POCUS) finding who was suspected to be malingering for right-sided chest pain considering his psychiatric history. POCUS was performed and showed right ventricular strain with a D-shaped left ventricle and B-lines with subpleural consolidations, and PE was confirmed with computed tomography pulmonary angiography. No other risk factors for PE were found except for coccidioidomycosis. The patient was treated with apixaban and fluconazole and discharged in stable condition. We discuss the usefulness of POCUS in diagnosing PE and the very rare association between coccidioidomycosis and PE.

摘要

我们报告了一例41岁男性病例,该患者基于床旁超声(POCUS)检查结果被诊断为肺球孢子菌病和肺栓塞(PE)。考虑到他的精神病史,曾怀疑他右侧胸痛是装病。进行了POCUS检查,结果显示右心室劳损,左心室呈D形,并有胸膜下实变的B线征,随后通过计算机断层扫描肺血管造影证实了肺栓塞。除球孢子菌病外,未发现其他肺栓塞危险因素。该患者接受了阿哌沙班和氟康唑治疗,出院时病情稳定。我们讨论了POCUS在诊断PE中的作用以及球孢子菌病与PE之间极为罕见的关联。

https://cdn.ncbi.nlm.nih.gov/pmc/blobs/b0fe/9957573/13f14565b163/cureus-0015-00000034288-i01.jpg

文献AI研究员

20分钟写一篇综述,助力文献阅读效率提升50倍。

立即体验

用中文搜PubMed

大模型驱动的PubMed中文搜索引擎

马上搜索

文档翻译

学术文献翻译模型,支持多种主流文档格式。

立即体验