Lu Denghui, Ping Haoda, Wei Chen, Fang Wei, Zhang Yunze, Wu Yingxi, Xue Yafei, Wang Bao, Qu Yan, Zhao Tianzhi
Department of Neurosurgery, The Second Affiliated Hospital, Air Force Military Medical University, Xi'an, China.
Front Surg. 2023 Feb 9;10:1082265. doi: 10.3389/fsurg.2023.1082265. eCollection 2023.
The clinical features and therapeutic measures of vestibular schwannoma (VS) radiation-related aneurysm (RRA) have not been well described. We reported the first VS RRA case admitted for acute anterior inferior cerebella artery (AICA) ischemic symptoms. Literature was reviewed to present the research fruits about VS RRAs, and some therapeutic advices were given.
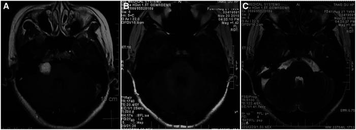
A 54-year-old woman who had undergone GKS 10 years previously for a right VS was admitted to our hospital in 2018 because of sudden onset of severe vertigo and vomiting, accompanied with unsteady gait. During tumor resection, a dissecting aneurysm arose from the main trunk of AICA was encountered accidently within the tumor. The aneurysm was successfully treated with direct clip ligation, sparing the parent vessel. Data about this case were combined with those of other 11 radiation-related AICA aneurysm cases retrieved from the current literature. The following parameters were evaluated: Age, Sex, Diagnostic method, Location of aneurysm, Age of radiotherapy (Years)/Latency, Rupture, x-ray dosage, Type of radiotherapy, History of surgical resection of VS, Aneurysm Type, Morphology, Number, Treatment, Operative complications, Sequela, Outcome. VS RRAs mainly occurred in women (75%) with a median age of 62.5 years and were mainly located on AICA. Ruptured aneurysms accounted for 75.0% of the total cases. This paper reported the first VS case admitted with acute AICA ischemic symptoms. Cases with sacciform-like, irregular and fusiform-shaped aneurysms accounted for 50.0%, 25.0% and 25.0% of the total, respectively. After surgical treatment, 75.0% patients recovered, except for 3 patients who developed new ischemic consequence.
Patients should be informed of the risk of RRAs after receiving radiotherapy for VS. In these patients, RRAs should be suspected when subarachnoid hemorrhage or AICA ischemic symptoms occurred. Active intervention should be conducted considering the high instability and bleeding rate of VS RRAs.
前庭神经鞘瘤(VS)放疗相关动脉瘤(RRA)的临床特征及治疗措施尚未得到充分描述。我们报告了首例因急性小脑前下动脉(AICA)缺血症状入院的VS RRA病例。通过回顾文献呈现关于VS RRA的研究成果,并给出一些治疗建议。
一名54岁女性,10年前因右侧VS接受了伽玛刀治疗(GKS),2018年因突然发作的严重眩晕、呕吐伴步态不稳入住我院。在肿瘤切除过程中,意外发现肿瘤内AICA主干出现一个夹层动脉瘤。该动脉瘤通过直接夹闭成功治疗,保留了母血管。将该病例数据与从当前文献中检索到的其他11例放疗相关AICA动脉瘤病例的数据相结合。评估以下参数:年龄、性别、诊断方法、动脉瘤位置、放疗年龄(年)/潜伏期、破裂情况、X线剂量、放疗类型、VS手术切除史、动脉瘤类型、形态、数量、治疗、手术并发症、后遗症、结局。VS RRA主要发生于女性(75%),中位年龄62.5岁,主要位于AICA。破裂动脉瘤占总病例的75.0%。本文报告了首例因急性AICA缺血症状入院的VS病例。囊状、不规则形和梭形动脉瘤病例分别占总数的50.0%、25.0%和25.0%。手术治疗后,75.0%的患者康复,3例患者出现了新的缺血性后果。
应告知VS放疗患者RRA的风险。对于这些患者,当发生蛛网膜下腔出血或AICA缺血症状时应怀疑RRA。鉴于VS RRA的高不稳定性和出血率,应积极进行干预。