• 文献检索
  • 文档翻译
  • 深度研究
  • 学术资讯
  • Suppr Zotero 插件Zotero 插件
  • 邀请有礼
  • 套餐&价格
  • 历史记录
应用&插件
Suppr Zotero 插件Zotero 插件浏览器插件Mac 客户端Windows 客户端微信小程序
定价
高级版会员购买积分包购买API积分包
服务
文献检索文档翻译深度研究API 文档MCP 服务
关于我们
关于 Suppr公司介绍联系我们用户协议隐私条款
关注我们

Suppr 超能文献

核心技术专利:CN118964589B侵权必究
粤ICP备2023148730 号-1Suppr @ 2026

文献检索

告别复杂PubMed语法,用中文像聊天一样搜索,搜遍4000万医学文献。AI智能推荐,让科研检索更轻松。

立即免费搜索

文件翻译

保留排版,准确专业,支持PDF/Word/PPT等文件格式,支持 12+语言互译。

免费翻译文档

深度研究

AI帮你快速写综述,25分钟生成高质量综述,智能提取关键信息,辅助科研写作。

立即免费体验

前庭神经鞘瘤立体定向放射治疗多年后小脑前下动脉远端动脉瘤破裂:一例报告及文献复习

Ruptured distal anterior inferior cerebellar artery aneurysm years after stereotactic radiosurgery for vestibular schwannoma: A case report and literature review.

作者信息

Wakuta Naoki, Yoshioka Tsutomu, Irie Yukino, Tsugu Hitoshi, Abe Hiroshi

机构信息

Department of Neurosurgery, Fukuoka Red Cross Hospital, Fukuoka, Japan.

Department of Neurosurgery Fukuoka University Hospital, School of Medicine, Fukuoka University, Fukuoka, Japan.

出版信息

Surg Neurol Int. 2024 Jun 21;15:213. doi: 10.25259/SNI_285_2024. eCollection 2024.

DOI:10.25259/SNI_285_2024
PMID:38974544
原文链接:https://pmc.ncbi.nlm.nih.gov/articles/PMC11225523/
Abstract

BACKGROUND

Aneurysmal formation after stereotactic radiosurgery (SRS) for vestibular schwannoma (VS) is a rare complication. Its characteristics and the best treatment strategies remain controversial, and the clinical course is especially unknown because reported aneurysms are first incidentally detected, or aneurysmal rupture occurs suddenly, and they are treated immediately.

CASE DESCRIPTION

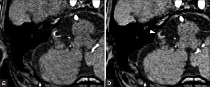
A 68-year-old man who underwent SRS for VS 20 years ago presented with subarachnoid hemorrhage (SAH) due to rupture of a radiation-induced fusiform anterior inferior cerebellar artery aneurysm. He was treated with parent artery occlusion, resulting in a modified Rankin scale grade 2. This report illustrates the first case of detected aneurysm formation before rupture with retrospective magnetic resonance imaging evaluation.

CONCLUSION

We describe the possible risk of rapid progression and rupture of aneurysms, focusing on the interval from SRS to aneurysmal formation. The period of formation of SRS-induced aneurysms is suspected to vary from years to decades regardless of radiation doses; however, aneurysms estimated as pseudoaneurysms have an extremely high risk of rupture within a few years, even when small in size. If aneurysms are discovered unruptured, there are some advantages in not only the prevention of poor prognosis due to SAH but also in the availability of optional therapeutic strategies using revascularization. Long-term annual follow-up, including vessel examination, is warranted not only to assess tumor status but also for early detection of any vascular lesions.

摘要

背景

立体定向放射外科治疗(SRS)前庭神经鞘瘤(VS)后动脉瘤形成是一种罕见的并发症。其特征和最佳治疗策略仍存在争议,且临床过程尤其不明,因为已报道的动脉瘤要么是首次偶然发现,要么是突然发生动脉瘤破裂并立即接受治疗。

病例描述

一名20年前接受SRS治疗VS的68岁男性,因放射性诱发的梭形小脑前下动脉瘤破裂出现蛛网膜下腔出血(SAH)。他接受了供血动脉闭塞治疗,结果改良Rankin量表评分为2级。本报告阐述了首例通过回顾性磁共振成像评估在破裂前检测到动脉瘤形成的病例。

结论

我们描述了动脉瘤快速进展和破裂的可能风险,重点关注从SRS到动脉瘤形成的间隔时间。SRS诱发动脉瘤的形成时间据推测从数年到数十年不等,与辐射剂量无关;然而,估计为假性动脉瘤的动脉瘤即使体积较小,在几年内也有极高的破裂风险。如果发现动脉瘤未破裂,不仅在预防SAH导致的不良预后方面有优势,而且在使用血管重建的可选治疗策略方面也有优势。长期每年随访,包括血管检查,不仅有必要评估肿瘤状态,而且有助于早期发现任何血管病变。

https://cdn.ncbi.nlm.nih.gov/pmc/blobs/3259/11225523/555aa0a875f3/SNI-15-213-g003.jpg
https://cdn.ncbi.nlm.nih.gov/pmc/blobs/3259/11225523/b56f617f9557/SNI-15-213-g001.jpg
https://cdn.ncbi.nlm.nih.gov/pmc/blobs/3259/11225523/49c574faa73c/SNI-15-213-g002.jpg
https://cdn.ncbi.nlm.nih.gov/pmc/blobs/3259/11225523/555aa0a875f3/SNI-15-213-g003.jpg
https://cdn.ncbi.nlm.nih.gov/pmc/blobs/3259/11225523/b56f617f9557/SNI-15-213-g001.jpg
https://cdn.ncbi.nlm.nih.gov/pmc/blobs/3259/11225523/49c574faa73c/SNI-15-213-g002.jpg
https://cdn.ncbi.nlm.nih.gov/pmc/blobs/3259/11225523/555aa0a875f3/SNI-15-213-g003.jpg

相似文献

1
Ruptured distal anterior inferior cerebellar artery aneurysm years after stereotactic radiosurgery for vestibular schwannoma: A case report and literature review.前庭神经鞘瘤立体定向放射治疗多年后小脑前下动脉远端动脉瘤破裂:一例报告及文献复习
Surg Neurol Int. 2024 Jun 21;15:213. doi: 10.25259/SNI_285_2024. eCollection 2024.
2
Radiation-induced anterior inferior cerebellar artery pseudoaneurysm after stereotactic radiosurgery for vestibular schwannoma: features observed by direct surgery.立体定向放射外科治疗前庭神经鞘瘤后辐射诱导的小脑前下动脉假性动脉瘤:直接手术观察到的特征。
Br J Neurosurg. 2023 Dec;37(6):1675-1679. doi: 10.1080/02688697.2021.1940856. Epub 2021 Jun 21.
3
Coil embolization for intracranial aneurysms: an evidence-based analysis.颅内动脉瘤的弹簧圈栓塞术:一项基于证据的分析。
Ont Health Technol Assess Ser. 2006;6(1):1-114. Epub 2006 Jan 1.
4
Incidentally Discovered Unruptured AICA Aneurysm After Radiosurgery for Vestibular Schwannoma: A Case Report and Review of the Literature.前庭神经鞘瘤放射外科治疗后偶然发现的未破裂小脑前下动脉动脉瘤:一例报告并文献复习
Otol Neurotol. 2015 Sep;36(8):1428-31. doi: 10.1097/MAO.0000000000000807.
5
Clinical characteristics and long-term outcomes in patients with ruptured posterior inferior cerebellar artery aneurysms: a comparative analysis.小脑后下动脉破裂性动脉瘤患者的临床特征与长期预后:一项对比分析
J Neurosurg. 2015 Aug;123(2):441-5. doi: 10.3171/2014.10.JNS141079. Epub 2015 Apr 17.
6
Unruptured anterior Inferior cerebellar artery aneurysm following stereotactic irradiation for vestibular schwannoma: Case report and literature review.立体定向放射治疗前庭神经鞘瘤后未破裂的小脑前下动脉动脉瘤:病例报告及文献复习
Front Surg. 2023 Feb 9;10:1082265. doi: 10.3389/fsurg.2023.1082265. eCollection 2023.
7
Isolated abducens nerve palsy associated with subarachnoid hemorrhage: a localizing sign of ruptured posterior inferior cerebellar artery aneurysms.孤立性展神经麻痹伴发蛛网膜下腔出血:提示后下小脑动脉破裂动脉瘤的定位体征。
J Neurosurg. 2018 Jun;128(6):1830-1838. doi: 10.3171/2017.2.JNS162951. Epub 2017 Sep 1.
8
Radiosurgery-Induced Anterior Inferior Cerebellar Artery Pseudoaneurysm Treated with Trapping and Bypass.采用夹闭和搭桥术治疗放射外科手术诱发的小脑前下动脉假性动脉瘤
World Neurosurg. 2018 Aug;116:209-213. doi: 10.1016/j.wneu.2018.04.161. Epub 2018 May 3.
9
Delayed Development of Aneurysms Following Gamma Knife Surgery for Trigeminal Neuralgia: Report of 2 Cases.伽玛刀治疗三叉神经痛后动脉瘤的延迟发生:2例报告
World Neurosurg. 2017 Mar;99:813.e13-813.e19. doi: 10.1016/j.wneu.2016.11.069. Epub 2016 Nov 24.
10
Ruptured Pseudoaneurysm after Gamma Knife Surgery for Vestibular Schwannoma.听神经瘤伽玛刀手术后假性动脉瘤破裂
Neurol Med Chir (Tokyo). 2016;56(1):38-42. doi: 10.2176/nmc.cr.2015-0034. Epub 2015 Dec 11.

引用本文的文献

1
Radiation-associated intracranial aneurysms: A systematic review of clinical presentation, morphology, and treatment outcomes.辐射相关颅内动脉瘤:临床表现、形态及治疗结果的系统评价
Interv Neuroradiol. 2025 Sep 15:15910199251372511. doi: 10.1177/15910199251372511.
2
Endosaccular Coil Embolization of Ruptured Anterior Inferior Cerebellar Artery Pseudoaneurysm After Gamma Knife Surgery for Vestibular Schwannoma: A Case Report and Literature Review.前庭神经鞘瘤伽玛刀手术后破裂的小脑前下动脉假性动脉瘤的囊内弹簧圈栓塞术:病例报告及文献复习
J Clin Med. 2024 Nov 2;13(21):6595. doi: 10.3390/jcm13216595.

本文引用的文献

1
Radiosurgery-Induced Anterior Inferior Cerebellar Artery Pseudoaneurysm Treated with Trapping and Bypass.采用夹闭和搭桥术治疗放射外科手术诱发的小脑前下动脉假性动脉瘤
World Neurosurg. 2018 Aug;116:209-213. doi: 10.1016/j.wneu.2018.04.161. Epub 2018 May 3.
2
Ruptured Pseudoaneurysm after Gamma Knife Surgery for Vestibular Schwannoma.听神经瘤伽玛刀手术后假性动脉瘤破裂
Neurol Med Chir (Tokyo). 2016;56(1):38-42. doi: 10.2176/nmc.cr.2015-0034. Epub 2015 Dec 11.
3
Subarachnoid hemorrhage due to anterior inferior cerebellar artery aneurysms associated with Gamma Knife surgery for vestibular schwannomas.
Acta Neurochir (Wien). 2015 Oct;157(10):1765-7; discussion 1767. doi: 10.1007/s00701-015-2552-z. Epub 2015 Aug 23.
4
Incidentally Discovered Unruptured AICA Aneurysm After Radiosurgery for Vestibular Schwannoma: A Case Report and Review of the Literature.前庭神经鞘瘤放射外科治疗后偶然发现的未破裂小脑前下动脉动脉瘤:一例报告并文献复习
Otol Neurotol. 2015 Sep;36(8):1428-31. doi: 10.1097/MAO.0000000000000807.
5
Ruptured distal AICA pseudoaneurysm presenting years after vestibular schwannoma resection and radiation.前庭神经鞘瘤切除及放疗多年后出现的小脑前下动脉远端假性动脉瘤破裂
J Neurointerv Surg. 2016 May;8(5):e19. doi: 10.1136/neurintsurg-2015-011736.rep. Epub 2015 May 11.
6
Intracranial aneurysms in previously irradiated fields: literature review and case report.颅内动脉瘤在既往照射野内:文献复习及病例报告。
World Neurosurg. 2014 Mar-Apr;81(3-4):511-9. doi: 10.1016/j.wneu.2013.10.044. Epub 2013 Oct 19.
7
Development of anterior inferior cerebellar artery pseudoaneurysm after gamma knife surgery for vestibular schwannoma. A case report and review of the literature.伽玛刀治疗前庭神经鞘瘤后小脑前下动脉假性动脉瘤的发生。一例病例报告及文献复习
Br J Neurosurg. 2014 Aug;28(4):536-8. doi: 10.3109/02688697.2013.847168. Epub 2013 Oct 10.
8
MR-based follow-up of the superior cerebellar artery after radiosurgery for trigeminal neuralgia.三叉神经痛放射外科治疗后小脑上动脉的磁共振成像随访
Clin Neurol Neurosurg. 2011 Nov;113(9):758-61. doi: 10.1016/j.clineuro.2011.08.013. Epub 2011 Sep 8.
9
Ruptured distal anterior inferior cerebellar artery aneurysm following stereotactic irradiation for vestibular schwannoma: case report.立体定向放射治疗前庭神经鞘瘤后小脑前下动脉远段动脉瘤破裂:病例报告
Neurol Med Chir (Tokyo). 2009 May;49(5):202-5. doi: 10.2176/nmc.49.202.
10
De novo intracranial aneurysm formation after Gamma Knife radiosurgery for vestibular schwannoma.伽玛刀放射治疗前庭神经鞘瘤后新发颅内动脉瘤的形成
J Neurosurg. 2009 Mar;110(3):540-2. doi: 10.3171/2008.9.JNS08860.