Suppr超能文献

淋巴细胞浸润模式可区分猫肝淋巴瘤与淋巴细胞性门脉性肝炎。

Patterns of Lymphocytic Infiltrates Can Differentiate Feline Hepatic Lymphoma from Lymphocytic Portal Hepatitis.

作者信息

Sebastian Kimberley, Smedley Rebecca C, Bartel Alexander, Kiupel Matti

机构信息

Veterinary Diagnostic Laboratory, Michigan State University, Lansing, MI 48910, USA.

Institute for Veterinary Epidemiology and Biostatistics, Freie Universität Berlin, 14163 Berlin, Germany.

出版信息

Vet Sci. 2023 Feb 7;10(2):127. doi: 10.3390/vetsci10020127.

Abstract

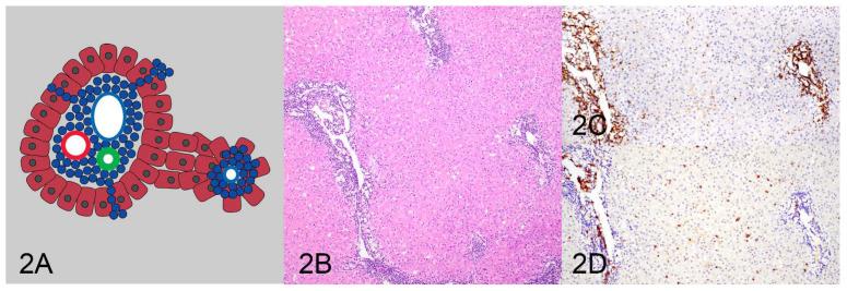
Hepatic lymphoma is poorly characterized in cats and differentiating between inflammation and lymphomas is often difficult. The diagnosis of hepatic lymphoma in humans relies on recognition of specific patterns of lymphocytic infiltrates and clonality testing of antigen receptors. Herein, we defined similar patterns of lymphocytic infiltrates in hepatic biopsies of cats and correlated them with clonality to determine which patterns are predictive of lymphoma. A retrospective study was performed on surgical biopsies from 44 cats. The immunophenotype was characterized using CD3 and CD20 on all 44 samples. All 44 samples were tested using PCR for T-cell receptor gamma-gene rearrangements. PCR for immunoglobulin heavy chain gene rearrangements was performed on 24 of these cats. Four patterns of lymphocytic infiltrates were characterized: (1) tightly periportal, (2) periportal and centrilobular, (3) nodular, and (4) periportal with sinusoidal extension. Other histomorphologic features (fibrosis, biliary hyperplasia, bile ductopenia, bile duct targeting, hepatic hematopoiesis, lipogranulomas, lymphonodular aggregates, other inflammatory cells) were also evaluated. The sensitivity and specificity of the lymphocytic patterns to diagnose lymphomas were determined using Bayesian Hui-Walter analysis (BLCM) against clonality results. Lymphocytic patterns 2, 3, and 4 accurately diagnosed hepatic lymphomas with a sensitivity and specificity of 82% (CI 95%: 0.65, 0.96) and 77% (CI 95%: 0.54, 1.00), respectively. None of the other microscopic features evaluated were predictive of a lymphoma or inflammation. Our study identified specific patterns of lymphocytic infiltration that differentiate feline hepatic lymphoma from inflammation while other histologic features were not associated with an accurate diagnosis.

摘要

猫肝淋巴瘤的特征尚不明确,区分炎症和淋巴瘤往往很困难。人类肝淋巴瘤的诊断依赖于识别淋巴细胞浸润的特定模式以及对抗原受体进行克隆性检测。在此,我们定义了猫肝活检中淋巴细胞浸润的相似模式,并将其与克隆性相关联,以确定哪些模式可预测淋巴瘤。对44只猫的手术活检样本进行了回顾性研究。对所有44个样本使用CD3和CD20进行免疫表型分析。对所有44个样本进行T细胞受体γ基因重排的聚合酶链反应(PCR)检测。对其中24只猫进行免疫球蛋白重链基因重排的PCR检测。确定了四种淋巴细胞浸润模式:(1)紧密门周型,(2)门周和小叶中心型,(3)结节型,(4)门周伴窦状隙扩展型。还评估了其他组织形态学特征(纤维化、胆管增生、胆管减少、胆管靶向性、肝造血、脂性肉芽肿、淋巴小结聚集体、其他炎症细胞)。使用贝叶斯惠-沃尔特分析(BLCM)根据克隆性结果确定淋巴细胞模式诊断淋巴瘤的敏感性和特异性。淋巴细胞模式2、3和4准确诊断肝淋巴瘤,敏感性分别为82%(95%置信区间:0.65,0.96),特异性分别为77%(95%置信区间:0.54,1.00)。评估的其他微观特征均不能预测淋巴瘤或炎症。我们的研究确定了可将猫肝淋巴瘤与炎症区分开来的淋巴细胞浸润的特定模式,而其他组织学特征与准确诊断无关。

https://cdn.ncbi.nlm.nih.gov/pmc/blobs/29fd/9960306/000a7dffcf18/vetsci-10-00127-g001.jpg

文献AI研究员

20分钟写一篇综述,助力文献阅读效率提升50倍。

立即体验

用中文搜PubMed

大模型驱动的PubMed中文搜索引擎

马上搜索

文档翻译

学术文献翻译模型,支持多种主流文档格式。

立即体验