• 文献检索
  • 文档翻译
  • 深度研究
  • 学术资讯
  • Suppr Zotero 插件Zotero 插件
  • 邀请有礼
  • 套餐&价格
  • 历史记录
应用&插件
Suppr Zotero 插件Zotero 插件浏览器插件Mac 客户端Windows 客户端微信小程序
定价
高级版会员购买积分包购买API积分包
服务
文献检索文档翻译深度研究API 文档MCP 服务
关于我们
关于 Suppr公司介绍联系我们用户协议隐私条款
关注我们

Suppr 超能文献

核心技术专利:CN118964589B侵权必究
粤ICP备2023148730 号-1Suppr @ 2026

文献检索

告别复杂PubMed语法,用中文像聊天一样搜索,搜遍4000万医学文献。AI智能推荐,让科研检索更轻松。

立即免费搜索

文件翻译

保留排版,准确专业,支持PDF/Word/PPT等文件格式,支持 12+语言互译。

免费翻译文档

深度研究

AI帮你快速写综述,25分钟生成高质量综述,智能提取关键信息,辅助科研写作。

立即免费体验

血小板通过线粒体转移和减少内皮细胞的氧化应激促进伤口愈合。

Platelets Facilitate Wound Healing by Mitochondrial Transfer and Reducing Oxidative Stress in Endothelial Cells.

机构信息

General Hospital of Southern Theater Command of PLA, The First School of Clinical Medicine, Southern Medical University, Guangzhou 510010, China.

General Hospital of Southern Theater Command of PLA, Guangzhou University of Chinese Medicine, Guangzhou 510010, China.

出版信息

Oxid Med Cell Longev. 2023 Feb 20;2023:2345279. doi: 10.1155/2023/2345279. eCollection 2023.

DOI:10.1155/2023/2345279
PMID:36860732
原文链接:https://pmc.ncbi.nlm.nih.gov/articles/PMC9970712/
Abstract

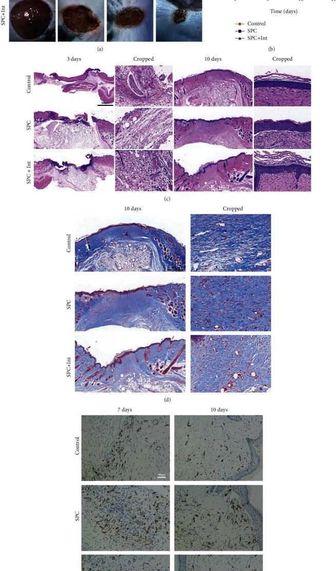
As a critical member in wound healing, vascular endothelial cells (ECs) impaired under high levels of reactive oxygen species (ROS) would hamper neovascularization. Mitochondria transfer can reduce intracellular ROS damage under pathological condition. Meanwhile, platelets can release mitochondria and alleviate oxidative stress. However, the mechanism by which platelets promote cell survival and reduce oxidative stress damage has not been clarified. Here, first, we selected ultrasound as the best method for subsequent experiments by detecting the growth factors and mitochondria released from manipulation platelet concentrates (PCs), as well as the effect of manipulation PCs on the proliferation and migration of HUVECs. Then, we found that sonicate platelet concentrates (SPC) decreased the level of ROS in HUVECs treated with hydrogen peroxide in advance, increased mitochondrial membrane potential, and reduced apoptosis. By transmission electron microscope, we saw that two kinds of mitochondria, free or wrapped in vesicles, were released by activated platelets. In addition, we explored that platelet-derived mitochondria were transferred to HUVECs partly by means of dynamin-dependent clathrin-mediated endocytosis. Consistently, we determined that platelet-derived mitochondria reduced apoptosis of HUVECs caused by oxidative stress. What is more, we screened survivin as the target of platelet-derived mitochondria via high-throughput sequencing. Finally, we demonstrated that platelet-derived mitochondria promoted wound healing in vivo. Overall, these findings revealed that platelets are important donors of mitochondria, and platelet-derived mitochondria can promote wound healing by reducing apoptosis caused by oxidative stress in vascular endothelial cells. And survivin is a potential target. These results further expand the knowledge of the platelet function and provide new insights into the role of platelet-derived mitochondria in wound healing.

摘要

作为伤口愈合的关键成员,在高水平活性氧(ROS)下受损的血管内皮细胞(ECs)会阻碍新血管的形成。线粒体转移可以在病理条件下减少细胞内 ROS 损伤。同时,血小板可以释放线粒体并减轻氧化应激。然而,血小板促进细胞存活和减少氧化应激损伤的机制尚未阐明。在这里,我们首先通过检测操作血小板浓缩物(PCs)释放的生长因子和线粒体,以及操作 PCs 对 HUVECs 增殖和迁移的影响,选择超声作为后续实验的最佳方法。然后,我们发现超声处理的血小板浓缩物(SPC)降低了预先用过氧化氢处理的 HUVECs 中的 ROS 水平,增加了线粒体膜电位,减少了细胞凋亡。通过透射电子显微镜,我们看到了两种线粒体,即自由或包裹在囊泡中的线粒体,是由激活的血小板释放的。此外,我们探讨了血小板衍生的线粒体部分通过依赖 dynamin 的网格蛋白介导的内吞作用被转移到 HUVECs 中。一致地,我们确定血小板衍生的线粒体减少了氧化应激引起的 HUVECs 的凋亡。更重要的是,我们通过高通量测序筛选出了血小板衍生的线粒体的靶标 survivin。最后,我们证明了血小板衍生的线粒体促进了体内伤口愈合。总的来说,这些发现揭示了血小板是线粒体的重要供体,血小板衍生的线粒体可以通过减少血管内皮细胞氧化应激引起的细胞凋亡来促进伤口愈合。而且 survivin 是一个潜在的靶点。这些结果进一步扩展了血小板功能的知识,并为血小板衍生的线粒体在伤口愈合中的作用提供了新的见解。

https://cdn.ncbi.nlm.nih.gov/pmc/blobs/bad3/9970712/7b4f1da0205a/OMCL2023-2345279.008.jpg
https://cdn.ncbi.nlm.nih.gov/pmc/blobs/bad3/9970712/61756e661c0b/OMCL2023-2345279.001.jpg
https://cdn.ncbi.nlm.nih.gov/pmc/blobs/bad3/9970712/9ec9b0e28220/OMCL2023-2345279.002.jpg
https://cdn.ncbi.nlm.nih.gov/pmc/blobs/bad3/9970712/93d05ab4c45d/OMCL2023-2345279.003.jpg
https://cdn.ncbi.nlm.nih.gov/pmc/blobs/bad3/9970712/d84e919d8455/OMCL2023-2345279.004.jpg
https://cdn.ncbi.nlm.nih.gov/pmc/blobs/bad3/9970712/144521df3446/OMCL2023-2345279.005.jpg
https://cdn.ncbi.nlm.nih.gov/pmc/blobs/bad3/9970712/17806dab9700/OMCL2023-2345279.006.jpg
https://cdn.ncbi.nlm.nih.gov/pmc/blobs/bad3/9970712/ed1b9c30f9f6/OMCL2023-2345279.007.jpg
https://cdn.ncbi.nlm.nih.gov/pmc/blobs/bad3/9970712/7b4f1da0205a/OMCL2023-2345279.008.jpg
https://cdn.ncbi.nlm.nih.gov/pmc/blobs/bad3/9970712/61756e661c0b/OMCL2023-2345279.001.jpg
https://cdn.ncbi.nlm.nih.gov/pmc/blobs/bad3/9970712/9ec9b0e28220/OMCL2023-2345279.002.jpg
https://cdn.ncbi.nlm.nih.gov/pmc/blobs/bad3/9970712/93d05ab4c45d/OMCL2023-2345279.003.jpg
https://cdn.ncbi.nlm.nih.gov/pmc/blobs/bad3/9970712/d84e919d8455/OMCL2023-2345279.004.jpg
https://cdn.ncbi.nlm.nih.gov/pmc/blobs/bad3/9970712/144521df3446/OMCL2023-2345279.005.jpg
https://cdn.ncbi.nlm.nih.gov/pmc/blobs/bad3/9970712/17806dab9700/OMCL2023-2345279.006.jpg
https://cdn.ncbi.nlm.nih.gov/pmc/blobs/bad3/9970712/ed1b9c30f9f6/OMCL2023-2345279.007.jpg
https://cdn.ncbi.nlm.nih.gov/pmc/blobs/bad3/9970712/7b4f1da0205a/OMCL2023-2345279.008.jpg

相似文献

1
Platelets Facilitate Wound Healing by Mitochondrial Transfer and Reducing Oxidative Stress in Endothelial Cells.血小板通过线粒体转移和减少内皮细胞的氧化应激促进伤口愈合。
Oxid Med Cell Longev. 2023 Feb 20;2023:2345279. doi: 10.1155/2023/2345279. eCollection 2023.
2
Platelet-derived mitochondria transfer facilitates wound-closure by modulating ROS levels in dermal fibroblasts.血小板衍生的线粒体转移通过调节真皮成纤维细胞中的 ROS 水平促进伤口闭合。
Platelets. 2022 Dec;34(1):2151996. doi: 10.1080/09537104.2022.2151996.
3
Platelet-derived respiratory-competent mitochondria transfer to mesenchymal stem cells to promote wound healing via metabolic reprogramming.血小板衍生的具有呼吸功能的线粒体转移至间充质干细胞,通过代谢重编程促进伤口愈合。
Platelets. 2022 Feb 17;33(2):171-173. doi: 10.1080/09537104.2021.1961717. Epub 2022 Feb 3.
4
Exogenous hydrogen sulphide supplement accelerates skin wound healing via oxidative stress inhibition and vascular endothelial growth factor enhancement.外源性硫化氢补充通过抑制氧化应激和增强血管内皮生长因子加速皮肤伤口愈合。
Exp Dermatol. 2019 Jul;28(7):776-785. doi: 10.1111/exd.13930. Epub 2019 May 15.
5
Mitochondria-derived reactive oxygen species play an important role in Doxorubicin-induced platelet apoptosis.线粒体衍生的活性氧在阿霉素诱导的血小板凋亡中起重要作用。
Int J Mol Sci. 2015 May 15;16(5):11087-100. doi: 10.3390/ijms160511087.
6
Platelets Facilitate the Wound-Healing Capability of Mesenchymal Stem Cells by Mitochondrial Transfer and Metabolic Reprogramming.血小板通过线粒体转移和代谢重编程促进间充质干细胞的伤口愈合能力。
Cell Metab. 2021 Feb 2;33(2):283-299.e9. doi: 10.1016/j.cmet.2020.12.006. Epub 2021 Jan 4.
7
Porcine placenta extract improves high-glucose-induced angiogenesis impairment.猪胎盘提取物可改善高糖诱导的血管生成损伤。
BMC Complement Med Ther. 2021 Feb 18;21(1):66. doi: 10.1186/s12906-021-03243-z.
8
Dihydromyricetin protects endothelial cells from hydrogen peroxide-induced oxidative stress damage by regulating mitochondrial pathways.二氢杨梅素通过调节线粒体途径保护内皮细胞免受过氧化氢诱导的氧化应激损伤。
Life Sci. 2015 Jun 1;130:38-46. doi: 10.1016/j.lfs.2015.03.007. Epub 2015 Mar 26.
9
Treatment of platelet concentrates with the L-carnitine modulates platelets oxidative stress and platelet apoptosis due to mitochondrial reactive oxygen species reduction and reducing cytochrome C release during storage.用左旋肉碱处理血小板浓缩物可以调节血小板的氧化应激和凋亡,这是由于线粒体活性氧的减少和储存过程中细胞色素 C 释放的减少。
J Thromb Thrombolysis. 2021 Feb;51(2):277-285. doi: 10.1007/s11239-020-02241-1.
10
Photobiomodulation with 808-nm diode laser light promotes wound healing of human endothelial cells through increased reactive oxygen species production stimulating mitochondrial oxidative phosphorylation.808纳米二极管激光光的光生物调节通过增加活性氧的产生刺激线粒体氧化磷酸化,从而促进人内皮细胞的伤口愈合。
Lasers Med Sci. 2019 Apr;34(3):495-504. doi: 10.1007/s10103-018-2623-5. Epub 2018 Aug 25.

引用本文的文献

1
Platelet-rich plasma may accelerate diabetic wound healing by modulating epithelial/endothelial-mesenchymal transition through inhibiting reactive oxygen species-mediated oxidative stress.富含血小板血浆可能通过抑制活性氧介导的氧化应激来调节上皮/内皮-间充质转化,从而加速糖尿病伤口愈合。
Front Bioeng Biotechnol. 2025 Aug 11;13:1623780. doi: 10.3389/fbioe.2025.1623780. eCollection 2025.
2
Mitochondrial Transfer from Human Platelets to Rat Dental Pulp-Derived Fibroblasts in the 2D In Vitro System: Additional Implication in PRP Therapy.二维体外系统中人类血小板向大鼠牙髓成纤维细胞的线粒体转移:富血小板血浆疗法的额外意义
Int J Mol Sci. 2025 Jun 8;26(12):5504. doi: 10.3390/ijms26125504.
3

本文引用的文献

1
Stable CAD patients show higher levels of platelet-borne TGF-β1 associated with a superior pro-inflammatory state than the pro-aggregatory status; Evidence highlighting the importance of platelet-derived TGF-β1 in atherosclerosis.稳定型 CAD 患者的血小板衍生 TGF-β1 水平较高,与促炎状态优于促聚集状态相关;这一证据强调了血小板衍生 TGF-β1 在动脉粥样硬化中的重要性。
J Thromb Thrombolysis. 2023 Jan;55(1):102-115. doi: 10.1007/s11239-022-02729-y. Epub 2022 Nov 9.
2
Mitochondrial Transplantation Attenuates Cerebral Ischemia-Reperfusion Injury: Possible Involvement of Mitochondrial Component Separation.线粒体移植减轻脑缺血再灌注损伤:线粒体成分分离可能起作用。
Oxid Med Cell Longev. 2021 Nov 20;2021:1006636. doi: 10.1155/2021/1006636. eCollection 2021.
3
Mitochondrial Transplantation: A Novel Therapeutic Approach for Treating Diseases.
线粒体移植:一种治疗疾病的新型治疗方法。
MedComm (2020). 2025 Jun 11;6(6):e70253. doi: 10.1002/mco2.70253. eCollection 2025 Jun.
4
Therapeutic implications of mitochondrial transfer on stem cell fate in regenerative medicine.线粒体转移对再生医学中干细胞命运的治疗意义。
J Transl Med. 2025 May 21;23(1):568. doi: 10.1186/s12967-025-06472-9.
5
Targeting mitochondrial transfer: a new horizon in cardiovascular disease treatment.靶向线粒体转移:心血管疾病治疗的新前沿。
J Transl Med. 2024 Dec 31;22(1):1160. doi: 10.1186/s12967-024-05979-x.
6
From dysfunction to healing: advances in mitochondrial therapy for Osteoarthritis.从功能障碍到修复:骨关节炎线粒体治疗的进展。
J Transl Med. 2024 Nov 11;22(1):1013. doi: 10.1186/s12967-024-05799-z.
7
Mitochondrial transplantation: a promising strategy for treating degenerative joint diseases.线粒体移植:治疗退行性关节疾病的有前途策略。
J Transl Med. 2024 Oct 15;22(1):941. doi: 10.1186/s12967-024-05752-0.
8
iPSC-derived megakaryocytes and platelets accelerate wound healing and angiogenesis.iPSC 来源的巨核细胞和血小板加速伤口愈合和血管生成。
Stem Cell Res Ther. 2024 Oct 14;15(1):364. doi: 10.1186/s13287-024-03966-z.
9
Enhanced osteogenic differentiation in 3D hydrogel scaffold via macrophage mitochondrial transfer.通过巨噬细胞线粒体转移增强 3D 水凝胶支架中的成骨分化。
J Nanobiotechnology. 2024 Sep 5;22(1):540. doi: 10.1186/s12951-024-02757-1.
10
Mitochondria Transplantation Promotes Corneal Epithelial Wound Healing.线粒体移植促进角膜上皮伤口愈合。
Invest Ophthalmol Vis Sci. 2024 Jun 3;65(6):14. doi: 10.1167/iovs.65.6.14.
Release of α-granule contents during platelet activation.血小板活化过程中α-颗粒内容物的释放。
Platelets. 2022 May 19;33(4):491-502. doi: 10.1080/09537104.2021.1913576. Epub 2021 Sep 25.
4
Exogenous mitochondrial transfer and endogenous mitochondrial fission facilitate AML resistance to OxPhos inhibition.外源性线粒体转移和内源性线粒体分裂促进 AML 对氧化磷酸化抑制的耐药性。
Blood Adv. 2021 Oct 26;5(20):4233-4255. doi: 10.1182/bloodadvances.2020003661.
5
A purified human platelet pellet lysate rich in neurotrophic factors and antioxidants repairs and protects corneal endothelial cells from oxidative stress.富含神经营养因子和抗氧化剂的纯化人血小板颗粒溶解释放产物可修复和保护角膜内皮细胞免受氧化应激。
Biomed Pharmacother. 2021 Oct;142:112046. doi: 10.1016/j.biopha.2021.112046. Epub 2021 Aug 20.
6
Mitochondria transplantation protects traumatic brain injury via promoting neuronal survival and astrocytic BDNF.线粒体移植通过促进神经元存活和星形胶质细胞 BDNF 保护创伤性脑损伤。
Transl Res. 2021 Sep;235:102-114. doi: 10.1016/j.trsl.2021.03.017. Epub 2021 Mar 30.
7
Intercellular mitochondrial transfer as a means of tissue revitalization.细胞间线粒体转移作为组织再生活跃化的一种手段。
Signal Transduct Target Ther. 2021 Feb 16;6(1):65. doi: 10.1038/s41392-020-00440-z.
8
Platelets Facilitate the Wound-Healing Capability of Mesenchymal Stem Cells by Mitochondrial Transfer and Metabolic Reprogramming.血小板通过线粒体转移和代谢重编程促进间充质干细胞的伤口愈合能力。
Cell Metab. 2021 Feb 2;33(2):283-299.e9. doi: 10.1016/j.cmet.2020.12.006. Epub 2021 Jan 4.
9
Extensive characterization of the composition and functional activities of five preparations of human platelet lysates for dedicated clinical uses.广泛表征五种用于特定临床用途的人血小板裂解液制剂的组成和功能活性。
Platelets. 2021 Feb 17;32(2):259-272. doi: 10.1080/09537104.2020.1849603. Epub 2020 Nov 27.
10
The effect of gamma irradiation on platelet redox state during storage.辐照对储存期间血小板氧化还原状态的影响。
Transfusion. 2021 Feb;61(2):579-593. doi: 10.1111/trf.16207. Epub 2020 Nov 24.