UMAE Hospital de Especialidades, Centro Médico Nacional Siglo XXI, Instituto Mexicano del Seguro Social, Unidad de Investigación Médica en Inmunoquímica, Mexico City 06720, Mexico.
Posgrado en Ciencias Biológicas, Universidad Nacional Autónoma de México, Mexico City 04510, Mexico.
Int J Mol Sci. 2023 Mar 1;24(5):4786. doi: 10.3390/ijms24054786.
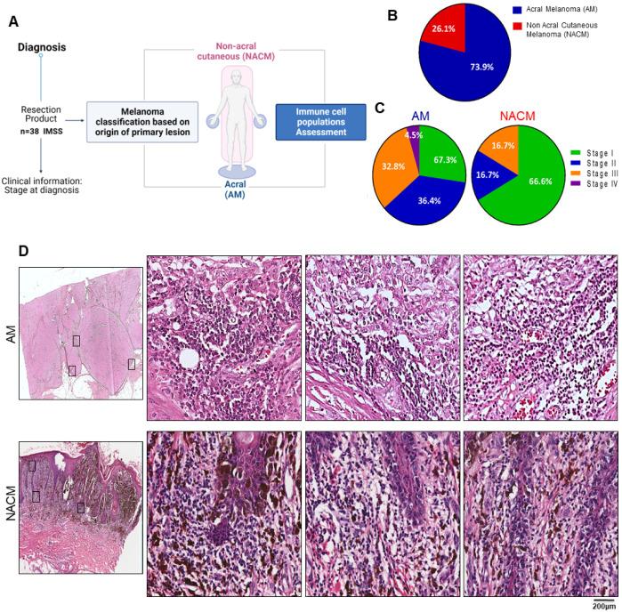
Acral melanoma (AM) is the most common melanoma in non-Caucasian populations, yet it remains largely understudied. As AM lacks the UV-radiation mutational signatures that characterize other cutaneous melanomas, it is considered devoid of immunogenicity and is rarely included in clinical trials assessing novel immunotherapeutic regimes aiming to recover the antitumor function of immune cells. We studied a Mexican cohort of melanoma patients from the Mexican Institute of Social Security (IMSS) (n = 38) and found an overrepresentation of AM (73.9%). We developed a multiparametric immunofluorescence technique coupled with a machine learning image analysis to evaluate the presence of conventional type 1 dendritic cells (cDC1) and CD8 T cells in the stroma of melanoma, two of the most relevant immune cell types for antitumor responses. We observed that both cell types infiltrate AM at similar and even higher levels than other cutaneous melanomas. Both melanoma types harbored programmed cell death protein 1 (PD-1) CD8 T cells and PD-1 ligand (PD-L1) cDC1s. Despite this, CD8 T cells appeared to preserve their effector function and expanding capacity as they expressed interferon-γ (IFN-γ) and KI-67. The density of cDC1s and CD8 T cells significantly decreased in advanced stage III and IV melanomas, supporting these cells' capacity to control tumor progression. These data also argue that AM could respond to anti-PD-1-PD-L1 immunotherapy.
肢端黑色素瘤(AM)是非高加索人群中最常见的黑色素瘤,但对其研究仍很不充分。由于 AM 缺乏其他皮肤黑色素瘤所具有的紫外线辐射突变特征,因此被认为缺乏免疫原性,很少被纳入评估旨在恢复免疫细胞抗肿瘤功能的新型免疫治疗方案的临床试验中。我们研究了来自墨西哥社会保障研究所(IMSS)的一组黑色素瘤患者(n = 38),发现 AM (73.9%)的比例过高。我们开发了一种多参数免疫荧光技术,并结合机器学习图像分析,以评估常规 1 型树突状细胞(cDC1)和 CD8 T 细胞在黑色素瘤基质中的存在情况,这两种细胞类型是与抗肿瘤反应最相关的免疫细胞类型之一。我们观察到这两种细胞类型在 AM 中的浸润水平与其他皮肤黑色素瘤相似,甚至更高。两种黑色素瘤类型均存在程序性细胞死亡蛋白 1(PD-1)CD8 T 细胞和 PD-1 配体(PD-L1)cDC1。尽管如此,CD8 T 细胞似乎仍然保留了其效应功能和扩增能力,因为它们表达了干扰素-γ(IFN-γ)和 KI-67。在晚期 III 期和 IV 期黑色素瘤中,cDC1 和 CD8 T 细胞的密度显著降低,这支持了这些细胞控制肿瘤进展的能力。这些数据还表明 AM 可能对抗 PD-1-PD-L1 免疫治疗有反应。