Suppr超能文献

在前交叉韧带重建术中采用自体胫骨移植时,股骨隧道位置会影响术后股骨隧道扩大情况。

Femoral Tunnel Position Affects Postoperative Femoral Tunnel Widening after Anterior Cruciate Ligament Reconstruction with Tibialis Anterior Allograft.

作者信息

Lee Sung-Sahn, Kim Il Su, Shin Tae Soo, Lee Jeounghun, Lee Dae-Hee

机构信息

Department of Orthopaedic Surgery, Ilsan Paik Hospital, Inje University School of Medicine, Goyangsi 10380, Republic of Korea.

Department of Orthopaedic Surgery, Samsung Medical Center, Sungkyunkwan University School of Medicine, Seoul 06351, Republic of Korea.

出版信息

J Clin Med. 2023 Mar 2;12(5):1966. doi: 10.3390/jcm12051966.

Abstract

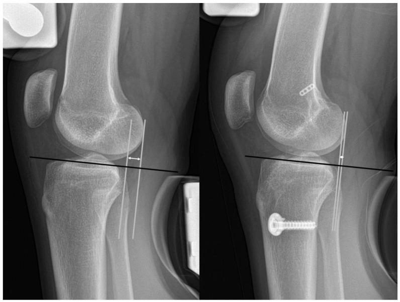
This study aims to identify potential factors for both femoral and tibial tunnel widening (TW) and to investigate the effect of TW on postoperative outcomes after anterior cruciate ligament (ACL) reconstruction with a tibialis anterior allograft. A total 75 patients (75 knees) who underwent ACL reconstruction with tibialis anterior allografts were investigated between February 2015 and October 2017. TW was calculated as the difference in tunnel widths between the immediate and 2-year postoperative measurements. The risk factors for TW, including demographic data, concomitant meniscal injury, hip-knee-ankle angle, tibial slope, femoral and tibial tunnel position (quadrant method), and length of both tunnels, were investigated. The patients were divided twice into two groups depending on whether the femoral or tibial TW was over or less than 3 mm. Pre- and 2-year follow-up outcomes, including the Lysholm score, International Knee Documentation Committee (IKDC) subjective score, and side-to-side difference (STSD) of anterior translation on stress radiographs, were compared between TW ≥ 3 mm and TW < 3 mm. The femoral tunnel position depth (shallow femoral tunnel position) was significantly correlated with femoral TW (adjusted = 0.134). The femoral TW ≥ 3 mm group showed greater STSD of anterior translation than the femoral TW < 3 mm group. The shallow position of the femoral tunnel was correlated with the femoral TW after ACL reconstruction using a tibialis anterior allograft. A femoral TW ≥ 3 mm showed inferior postoperative knee anterior stability.

摘要

本研究旨在确定股骨和胫骨隧道增宽(TW)的潜在因素,并探讨胫骨前肌自体移植重建前交叉韧带(ACL)后TW对术后结果的影响。2015年2月至2017年10月期间,共对75例行胫骨前肌自体移植ACL重建术的患者(75膝)进行了研究。TW计算为术后即刻与术后2年隧道宽度的差值。研究了TW的危险因素,包括人口统计学数据、合并半月板损伤、髋-膝-踝角、胫骨坡度、股骨和胫骨隧道位置(象限法)以及两条隧道的长度。根据股骨或胫骨TW是否超过或小于3 mm,将患者两次分为两组。比较了TW≥3 mm组和TW<3 mm组术前和术后2年的结果,包括Lysholm评分、国际膝关节文献委员会(IKDC)主观评分以及应力X线片上前移的侧方差异(STSD)。股骨隧道位置深度(股骨隧道浅位置)与股骨TW显著相关(校正后=0.134)。股骨TW≥3 mm组的前移位STSD大于股骨TW<3 mm组。胫骨前肌自体移植重建ACL后,股骨隧道浅位置与股骨TW相关。股骨TW≥3 mm显示术后膝关节前稳定性较差。

https://cdn.ncbi.nlm.nih.gov/pmc/blobs/1a16/10004624/a8a07e6911f6/jcm-12-01966-g001.jpg

文献AI研究员

20分钟写一篇综述,助力文献阅读效率提升50倍。

立即体验

用中文搜PubMed

大模型驱动的PubMed中文搜索引擎

马上搜索

文档翻译

学术文献翻译模型,支持多种主流文档格式。

立即体验