Suppr超能文献

环颈斑鸠(Streptopelia risoria)肺部的孤立颗粒内分泌细胞和神经上皮小体。

Solitary granular endocrine cells and neuroepithelial bodies in the lungs of the ringed turtle dove (Streptopelia risoria).

作者信息

McLelland J, Macfarlane C J

机构信息

Department of Anatomy, Royal (Dick) School of Veterinary Studies, University of Edinburgh, Scotland.

出版信息

J Anat. 1986 Aug;147:83-93.

Abstract

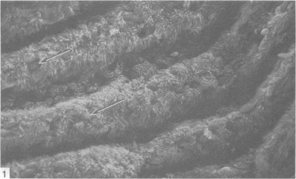
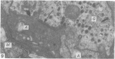
The presence of granular endocrine cells was investigated in the lungs of 4-6 weeks old Ringed Turtle Doves (Streptopelia risoria) by scanning and transmission electron microscopy. No granular cells were observed with the scanning electron microscope. In alternate semithin and ultrathin sections granular cells were found either singly or in small groups in the ciliated parts of the epithelium, and in relatively large clusters of between at least five and sixteen cells in the unciliated flat regions including the primary bronchus around the orifices of the lateroventral bronchi, and the roots of the medioventral, mediodorsal and lateroventral bronchi. Within the clusters the granular cells were frequently separated by attenuated profiles of highly electron-dense cells with microvilli. Naked axonal profiles which contained numerous agranular vesicles and occasional large granular vesicles were observed above the basal lamina lying close to the granular cells. Synaptic structures associated with the cells were found. This description of clusters of innervated granular endocrine cells in the dove appears to be the first account of neuroepithelial bodies in the lungs of birds.

摘要

通过扫描电子显微镜和透射电子显微镜,对4至6周龄的环颈斑鸠(Streptopelia risoria)肺部颗粒内分泌细胞的存在情况进行了研究。扫描电子显微镜未观察到颗粒细胞。在交替的半薄切片和超薄切片中,颗粒细胞单个或成小群地存在于上皮的纤毛部分,在无纤毛的扁平区域,包括围绕腹侧后支气管孔的主支气管以及腹侧中支气管、背侧中支气管和腹侧后支气管的根部,发现颗粒细胞形成相对较大的簇,至少由五到十六个细胞组成。在这些簇内,颗粒细胞常被带有微绒毛的高电子密度细胞的细长轮廓分隔开。在靠近颗粒细胞的基膜上方观察到含有许多无颗粒小泡和偶尔大颗粒小泡的裸露轴突轮廓。发现了与这些细胞相关的突触结构。对鸽子中受神经支配的颗粒内分泌细胞簇的这种描述似乎是鸟类肺部神经上皮体的首次报道。

https://cdn.ncbi.nlm.nih.gov/pmc/blobs/873c/1261548/bb46a3cdc25a/janat00186-0091-a.jpg

文献检索

告别复杂PubMed语法,用中文像聊天一样搜索,搜遍4000万医学文献。AI智能推荐,让科研检索更轻松。

立即免费搜索

文件翻译

保留排版,准确专业,支持PDF/Word/PPT等文件格式,支持 12+语言互译。

免费翻译文档

深度研究

AI帮你快速写综述,25分钟生成高质量综述,智能提取关键信息,辅助科研写作。

立即免费体验