Suppr超能文献

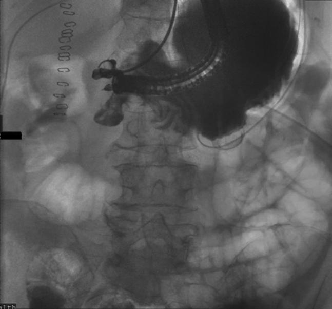
内镜下幽门封闭-EUS引导下胃空肠吻合术联合内镜缝合及幽门闭合术:一种十二指肠溃疡穿孔手术修复失败后的新方法。

Endoscopic pyloric exclusion-EUS-guided gastrojejunostomy combined with endoscopic suturing and closure of the pylorus: a novel approach to failed surgical repair of a perforated duodenal ulcer.

作者信息

Kadkhodayan Kambiz, Hussain Azhar, Khan Hafiz, Arain Mustafa, Yang Dennis, Hasan Muhammad K

机构信息

Center for Interventional Endoscopy, AdventHealth, Orlando, Florida.

出版信息

VideoGIE. 2023 Feb 9;8(3):121-123. doi: 10.1016/j.vgie.2022.11.009. eCollection 2023 Mar.

Abstract

Video 1Endoscopic pyloric exclusion: same-session EUS-guided gastro-jejunostomy combined with endoscopic suturing and closure of the pylorus.

摘要

视频1 内镜下幽门封闭术:同期内镜超声引导下胃空肠吻合术联合内镜缝合及幽门闭合术

https://cdn.ncbi.nlm.nih.gov/pmc/blobs/d52d/10020376/c9ded0e6afb2/gr1.jpg

文献检索

告别复杂PubMed语法,用中文像聊天一样搜索,搜遍4000万医学文献。AI智能推荐,让科研检索更轻松。

立即免费搜索

文件翻译

保留排版,准确专业,支持PDF/Word/PPT等文件格式,支持 12+语言互译。

免费翻译文档

深度研究

AI帮你快速写综述,25分钟生成高质量综述,智能提取关键信息,辅助科研写作。

立即免费体验