• 文献检索
  • 文档翻译
  • 深度研究
  • 学术资讯
  • Suppr Zotero 插件Zotero 插件
  • 邀请有礼
  • 套餐&价格
  • 历史记录
应用&插件
Suppr Zotero 插件Zotero 插件浏览器插件Mac 客户端Windows 客户端微信小程序
定价
高级版会员购买积分包购买API积分包
服务
文献检索文档翻译深度研究API 文档MCP 服务
关于我们
关于 Suppr公司介绍联系我们用户协议隐私条款
关注我们

Suppr 超能文献

核心技术专利:CN118964589B侵权必究
粤ICP备2023148730 号-1Suppr @ 2026

文献检索

告别复杂PubMed语法,用中文像聊天一样搜索,搜遍4000万医学文献。AI智能推荐,让科研检索更轻松。

立即免费搜索

文件翻译

保留排版,准确专业,支持PDF/Word/PPT等文件格式,支持 12+语言互译。

免费翻译文档

深度研究

AI帮你快速写综述,25分钟生成高质量综述,智能提取关键信息,辅助科研写作。

立即免费体验

英国两犬之间犬传染性性病肿瘤的传播。

Transmission of canine transmissible venereal tumour between two dogs in the UK.

机构信息

Department of Veterinary Medicine, University of Cambridge, Cambridge, CB3 0ES, UK.

Davies Veterinary Specialists, Hitchin, SG53HR, UK.

出版信息

J Small Anim Pract. 2023 Sep;64(9):590-594. doi: 10.1111/jsap.13607. Epub 2023 Mar 29.

DOI:10.1111/jsap.13607
PMID:36990106
原文链接:https://pmc.ncbi.nlm.nih.gov/articles/PMC7615759/
Abstract

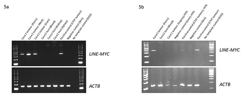
Canine transmissible venereal tumour (CTVT) is a contagious cancer spread by transfer of living cancer cells. Occasional cases are observed in the UK in dogs imported from endemic regions. Here, we report a case of imported canine transmissible venereal tumour that was transmitted to a second dog within the UK. Transmission of genital canine transmissible venereal tumour occurred despite neutered status of the second dog. The aggressive course of disease in both cases, which included metastasis, resistance to therapeutic interventions and ultimate euthanasia of both dogs, is described. The diagnosis of canine transmissible venereal tumour was made using a combination of cytology, histology, immunohistochemistry and PCR to detect the LINE-MYC rearrangement. Practitioners unfamiliar with canine transmissible venereal tumour are reminded of this disease of concern, particularly when imported dogs are placed in multi-dog households, irrespective of neuter status.

摘要

犬传染性性病肿瘤(CTVT)是一种通过活癌细胞转移传播的传染性癌症。在英国,偶尔会从疫区进口的犬中观察到偶发病例。在这里,我们报告了一例在英国发生的进口犬传染性性病肿瘤,该肿瘤传播给了第二只犬。尽管第二只犬已绝育,但仍发生了生殖器犬传染性性病肿瘤的传播。描述了两例疾病的侵袭性病程,包括转移、对治疗干预的耐药性以及最终两只犬的安乐死。犬传染性性病肿瘤的诊断采用细胞学、组织学、免疫组织化学和 PCR 检测 LINE-MYC 重排的组合方法进行。提醒不熟悉犬传染性性病肿瘤的从业者注意这种令人关注的疾病,特别是当进口犬被安置在多犬家庭中时,无论绝育状态如何。

https://cdn.ncbi.nlm.nih.gov/pmc/blobs/47a2/7615759/019991c05405/EMS194721-f006.jpg
https://cdn.ncbi.nlm.nih.gov/pmc/blobs/47a2/7615759/5b96a675bf22/EMS194721-f001.jpg
https://cdn.ncbi.nlm.nih.gov/pmc/blobs/47a2/7615759/ca051aa59e36/EMS194721-f002.jpg
https://cdn.ncbi.nlm.nih.gov/pmc/blobs/47a2/7615759/31af2e29b9a3/EMS194721-f003.jpg
https://cdn.ncbi.nlm.nih.gov/pmc/blobs/47a2/7615759/d3aa582926a6/EMS194721-f004.jpg
https://cdn.ncbi.nlm.nih.gov/pmc/blobs/47a2/7615759/59ac47aae30a/EMS194721-f005.jpg
https://cdn.ncbi.nlm.nih.gov/pmc/blobs/47a2/7615759/019991c05405/EMS194721-f006.jpg
https://cdn.ncbi.nlm.nih.gov/pmc/blobs/47a2/7615759/5b96a675bf22/EMS194721-f001.jpg
https://cdn.ncbi.nlm.nih.gov/pmc/blobs/47a2/7615759/ca051aa59e36/EMS194721-f002.jpg
https://cdn.ncbi.nlm.nih.gov/pmc/blobs/47a2/7615759/31af2e29b9a3/EMS194721-f003.jpg
https://cdn.ncbi.nlm.nih.gov/pmc/blobs/47a2/7615759/d3aa582926a6/EMS194721-f004.jpg
https://cdn.ncbi.nlm.nih.gov/pmc/blobs/47a2/7615759/59ac47aae30a/EMS194721-f005.jpg
https://cdn.ncbi.nlm.nih.gov/pmc/blobs/47a2/7615759/019991c05405/EMS194721-f006.jpg

相似文献

1
Transmission of canine transmissible venereal tumour between two dogs in the UK.英国两犬之间犬传染性性病肿瘤的传播。
J Small Anim Pract. 2023 Sep;64(9):590-594. doi: 10.1111/jsap.13607. Epub 2023 Mar 29.
2
Evaluation of a genetic assay for canine transmissible venereal tumour diagnosis in Brazil.巴西犬传染性性病肿瘤基因检测方法的评估。
Vet Comp Oncol. 2017 Jun;15(2):615-618. doi: 10.1111/vco.12205. Epub 2016 May 2.
3
Canine transmissible venereal tumour: a review.犬传染性性病肿瘤:综述
Vet Comp Oncol. 2016 Mar;14(1):1-12. doi: 10.1111/vco.12060. Epub 2013 Aug 25.
4
Cell-based polymerase chain reaction for canine transmissible venereal tumor (CTVT) diagnosis.用于犬传染性性病肿瘤(CTVT)诊断的基于细胞的聚合酶链反应
J Vet Med Sci. 2016 Aug 1;78(7):1167-73. doi: 10.1292/jvms.15-0710. Epub 2016 Apr 14.
5
Clinicopathological study of canine transmissible venereal tumour in leishmaniotic dogs.利什曼病犬的犬传染性性病肿瘤的临床病理研究
J Small Anim Pract. 2012 Jun;53(6):323-7. doi: 10.1111/j.1748-5827.2012.01201.x. Epub 2012 Apr 10.
6
Sex disparity in oronasal presentations of canine transmissible venereal tumour.犬传染性性病肿瘤的口腔和鼻腔表现的性别差异。
Vet Rec. 2022 Sep;191(5):e1794. doi: 10.1002/vetr.1794. Epub 2022 Jul 3.
7
Canine transmissible venereal tumor: First report of three clinical cases from Tripoli, Libya.犬传染性性病肿瘤:利比亚的黎波里三例临床病例的首次报告。
Open Vet J. 2019 Jul;9(2):103-105. doi: 10.4314/ovj.v9i2.1. Epub 2019 Apr 1.
8
Canine transmissible venereal tumour: a morphological and immunohistochemical study of 11 tumours in growth phase and during regression after chemotherapy.犬传染性性病肿瘤:11例处于生长阶段及化疗后消退期肿瘤的形态学和免疫组织化学研究
J Comp Pathol. 2000 May;122(4):241-8. doi: 10.1053/jcpa.1999.0366.
9
A retrospective study of canine transmissible venereal tumour in Grenada, West Indies.西印度群岛格林纳达犬传染性性病肿瘤的回顾性研究。
Vet Med Sci. 2022 May;8(3):1008-1012. doi: 10.1002/vms3.778. Epub 2022 Mar 3.
10
Computerized Cytomorphometric and Cytomorphological Analysis of Canine Transmissible Venereal Tumours.犬传染性性病肿瘤的计算机细胞形态计量学和细胞形态学分析
J Comp Pathol. 2018 Aug;163:18-22. doi: 10.1016/j.jcpa.2018.07.003. Epub 2018 Aug 16.

本文引用的文献

1
Quarantined dogs pose tumour risk.隔离的狗存在肿瘤风险。
Vet Rec. 2023 Jan;192(2):54. doi: 10.1002/vetr.2645.
2
Importing dogs, importing disease risks.进口犬类,引入疾病风险。
Vet Rec. 2023 Jan;192(2):53. doi: 10.1002/vetr.2641.
3
Temporospatial distribution and country of origin of canine transmissible venereal tumours in the UK.英国犬传染性性病肿瘤的时空分布和起源国。
Vet Rec. 2021 Dec;189(12):e974. doi: 10.1002/vetr.974. Epub 2021 Nov 12.
4
Importing rescue dogs into the UK: reasons, methods and welfare considerations.进口救援犬进入英国:原因、方法和福利考虑。
Vet Rec. 2020 Feb 29;186(8):248. doi: 10.1136/vr.105380. Epub 2020 Jan 13.
5
The role of the multi-drug resistance 1, p53, b cell lymphoma 2, and bcl 2-associated X genes in the biologic behavior and chemotherapeutic resistance of canine transmissible venereal tumors.多药耐药1、p53、b细胞淋巴瘤2和bcl-2相关X基因在犬传染性性病肿瘤生物学行为及化疗耐药中的作用
Vet Clin Pathol. 2019 Dec;48(4):730-739. doi: 10.1111/vcp.12805. Epub 2019 Nov 28.
6
Somatic evolution and global expansion of an ancient transmissible cancer lineage.体细胞核移植和孤雌激活技术建立疾病模型的研究进展
Science. 2019 Aug 2;365(6452). doi: 10.1126/science.aau9923.
7
Evaluation of a genetic assay for canine transmissible venereal tumour diagnosis in Brazil.巴西犬传染性性病肿瘤基因检测方法的评估。
Vet Comp Oncol. 2017 Jun;15(2):615-618. doi: 10.1111/vco.12205. Epub 2016 May 2.
8
The changing global distribution and prevalence of canine transmissible venereal tumour.犬传染性性病肿瘤在全球的分布变化及流行情况
BMC Vet Res. 2014 Sep 3;10:168. doi: 10.1186/s12917-014-0168-9.
9
Canine transmissible venereal tumour: a review.犬传染性性病肿瘤:综述
Vet Comp Oncol. 2016 Mar;14(1):1-12. doi: 10.1111/vco.12060. Epub 2013 Aug 25.
10
Predictive factors for the regression of canine transmissible venereal tumor during vincristine therapy.长春新碱治疗犬传染性性病肿瘤消退的预测因素。
Vet J. 2010 Mar;183(3):362-3. doi: 10.1016/j.tvjl.2008.11.009. Epub 2008 Dec 23.