• 文献检索
  • 文档翻译
  • 深度研究
  • 学术资讯
  • Suppr Zotero 插件Zotero 插件
  • 邀请有礼
  • 套餐&价格
  • 历史记录
应用&插件
Suppr Zotero 插件Zotero 插件浏览器插件Mac 客户端Windows 客户端微信小程序
定价
高级版会员购买积分包购买API积分包
服务
文献检索文档翻译深度研究API 文档MCP 服务
关于我们
关于 Suppr公司介绍联系我们用户协议隐私条款
关注我们

Suppr 超能文献

核心技术专利:CN118964589B侵权必究
粤ICP备2023148730 号-1Suppr @ 2026

文献检索

告别复杂PubMed语法,用中文像聊天一样搜索,搜遍4000万医学文献。AI智能推荐,让科研检索更轻松。

立即免费搜索

文件翻译

保留排版,准确专业,支持PDF/Word/PPT等文件格式,支持 12+语言互译。

免费翻译文档

深度研究

AI帮你快速写综述,25分钟生成高质量综述,智能提取关键信息,辅助科研写作。

立即免费体验

G-CSF 驱动 APLAID 的自身炎症。

G-CSF drives autoinflammation in APLAID.

机构信息

Inflammation Division, The Walter and Eliza Hall Institute of Medical Research, Parkville, Victoria, Australia.

Department of Medical Biology, University of Melbourne, Parkville, Victoria, Australia.

出版信息

Nat Immunol. 2023 May;24(5):814-826. doi: 10.1038/s41590-023-01473-6. Epub 2023 Mar 30.

DOI:10.1038/s41590-023-01473-6
PMID:36997670
原文链接:https://pmc.ncbi.nlm.nih.gov/articles/PMC10154231/
Abstract

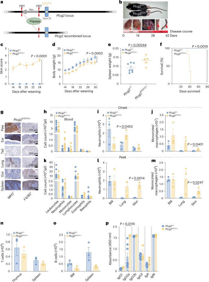
Missense mutations in PLCG2 can cause autoinflammation with phospholipase C gamma 2-associated antibody deficiency and immune dysregulation (APLAID). Here, we generated a mouse model carrying an APLAID mutation (p.Ser707Tyr) and found that inflammatory infiltrates in the skin and lungs were only partially ameliorated by removing inflammasome function via the deletion of caspase-1. Also, deleting interleukin-6 or tumor necrosis factor did not fully prevent APLAID mutant mice from autoinflammation. Overall, these findings are in accordance with the poor response individuals with APLAID have to treatments that block interleukin-1, JAK1/2 or tumor necrosis factor. Cytokine analysis revealed increased granulocyte colony-stimulating factor (G-CSF) levels as the most distinct feature in mice and individuals with APLAID. Remarkably, treatment with a G-CSF antibody completely reversed established disease in APLAID mice. Furthermore, excessive myelopoiesis was normalized and lymphocyte numbers rebounded. APLAID mice were also fully rescued by bone marrow transplantation from healthy donors, associated with reduced G-CSF production, predominantly from non-hematopoietic cells. In summary, we identify APLAID as a G-CSF-driven autoinflammatory disease, for which targeted therapy is feasible.

摘要

PLCG2 上的错义突变可导致伴有 PLCγ2 相关抗体缺陷和免疫失调的自身炎症(APLAID)。在这里,我们构建了一个携带 APLAID 突变(p.Ser707Tyr)的小鼠模型,发现通过缺失半胱天冬酶-1 消除炎症小体功能,仅能部分改善皮肤和肺部的炎症浸润。此外,缺失白细胞介素-6 或肿瘤坏死因子并不能完全防止 APLAID 突变小鼠发生自身炎症。总的来说,这些发现与 APLAID 患者对阻断白细胞介素-1、JAK1/2 或肿瘤坏死因子的治疗反应不佳的情况一致。细胞因子分析显示,APLAID 患者和小鼠中最显著的特征是粒细胞集落刺激因子(G-CSF)水平升高。值得注意的是,用 G-CSF 抗体治疗可完全逆转 APLAID 小鼠的已建立疾病。此外,过度的髓样细胞生成得到了纠正,淋巴细胞数量得到了恢复。来自健康供体的骨髓移植也完全挽救了 APLAID 小鼠,伴随着 G-CSF 产生的减少,主要来自非造血细胞。总之,我们将 APLAID 确定为一种由 G-CSF 驱动的自身炎症性疾病,针对该疾病的靶向治疗是可行的。

https://cdn.ncbi.nlm.nih.gov/pmc/blobs/5bdd/10154231/a1770ecbafd2/41590_2023_1473_Fig15_ESM.jpg
https://cdn.ncbi.nlm.nih.gov/pmc/blobs/5bdd/10154231/25840df9e16f/41590_2023_1473_Fig1_HTML.jpg
https://cdn.ncbi.nlm.nih.gov/pmc/blobs/5bdd/10154231/dbb388670aca/41590_2023_1473_Fig2_HTML.jpg
https://cdn.ncbi.nlm.nih.gov/pmc/blobs/5bdd/10154231/560225125ca4/41590_2023_1473_Fig3_HTML.jpg
https://cdn.ncbi.nlm.nih.gov/pmc/blobs/5bdd/10154231/2e21de40caa0/41590_2023_1473_Fig4_HTML.jpg
https://cdn.ncbi.nlm.nih.gov/pmc/blobs/5bdd/10154231/cb47dc72bb86/41590_2023_1473_Fig5_HTML.jpg
https://cdn.ncbi.nlm.nih.gov/pmc/blobs/5bdd/10154231/86a8a9ce7631/41590_2023_1473_Fig6_HTML.jpg
https://cdn.ncbi.nlm.nih.gov/pmc/blobs/5bdd/10154231/6e1920ec152c/41590_2023_1473_Fig7_HTML.jpg
https://cdn.ncbi.nlm.nih.gov/pmc/blobs/5bdd/10154231/d03ee6cbf470/41590_2023_1473_Fig8_ESM.jpg
https://cdn.ncbi.nlm.nih.gov/pmc/blobs/5bdd/10154231/a84193c4d2c0/41590_2023_1473_Fig9_ESM.jpg
https://cdn.ncbi.nlm.nih.gov/pmc/blobs/5bdd/10154231/5ed6c41c45a9/41590_2023_1473_Fig10_ESM.jpg
https://cdn.ncbi.nlm.nih.gov/pmc/blobs/5bdd/10154231/b88be92d854e/41590_2023_1473_Fig11_ESM.jpg
https://cdn.ncbi.nlm.nih.gov/pmc/blobs/5bdd/10154231/a5673a0ee685/41590_2023_1473_Fig12_ESM.jpg
https://cdn.ncbi.nlm.nih.gov/pmc/blobs/5bdd/10154231/00a4343014d5/41590_2023_1473_Fig13_ESM.jpg
https://cdn.ncbi.nlm.nih.gov/pmc/blobs/5bdd/10154231/7adaa9b0e05e/41590_2023_1473_Fig14_ESM.jpg
https://cdn.ncbi.nlm.nih.gov/pmc/blobs/5bdd/10154231/a1770ecbafd2/41590_2023_1473_Fig15_ESM.jpg
https://cdn.ncbi.nlm.nih.gov/pmc/blobs/5bdd/10154231/25840df9e16f/41590_2023_1473_Fig1_HTML.jpg
https://cdn.ncbi.nlm.nih.gov/pmc/blobs/5bdd/10154231/dbb388670aca/41590_2023_1473_Fig2_HTML.jpg
https://cdn.ncbi.nlm.nih.gov/pmc/blobs/5bdd/10154231/560225125ca4/41590_2023_1473_Fig3_HTML.jpg
https://cdn.ncbi.nlm.nih.gov/pmc/blobs/5bdd/10154231/2e21de40caa0/41590_2023_1473_Fig4_HTML.jpg
https://cdn.ncbi.nlm.nih.gov/pmc/blobs/5bdd/10154231/cb47dc72bb86/41590_2023_1473_Fig5_HTML.jpg
https://cdn.ncbi.nlm.nih.gov/pmc/blobs/5bdd/10154231/86a8a9ce7631/41590_2023_1473_Fig6_HTML.jpg
https://cdn.ncbi.nlm.nih.gov/pmc/blobs/5bdd/10154231/6e1920ec152c/41590_2023_1473_Fig7_HTML.jpg
https://cdn.ncbi.nlm.nih.gov/pmc/blobs/5bdd/10154231/d03ee6cbf470/41590_2023_1473_Fig8_ESM.jpg
https://cdn.ncbi.nlm.nih.gov/pmc/blobs/5bdd/10154231/a84193c4d2c0/41590_2023_1473_Fig9_ESM.jpg
https://cdn.ncbi.nlm.nih.gov/pmc/blobs/5bdd/10154231/5ed6c41c45a9/41590_2023_1473_Fig10_ESM.jpg
https://cdn.ncbi.nlm.nih.gov/pmc/blobs/5bdd/10154231/b88be92d854e/41590_2023_1473_Fig11_ESM.jpg
https://cdn.ncbi.nlm.nih.gov/pmc/blobs/5bdd/10154231/a5673a0ee685/41590_2023_1473_Fig12_ESM.jpg
https://cdn.ncbi.nlm.nih.gov/pmc/blobs/5bdd/10154231/00a4343014d5/41590_2023_1473_Fig13_ESM.jpg
https://cdn.ncbi.nlm.nih.gov/pmc/blobs/5bdd/10154231/7adaa9b0e05e/41590_2023_1473_Fig14_ESM.jpg
https://cdn.ncbi.nlm.nih.gov/pmc/blobs/5bdd/10154231/a1770ecbafd2/41590_2023_1473_Fig15_ESM.jpg

相似文献

1
G-CSF drives autoinflammation in APLAID.G-CSF 驱动 APLAID 的自身炎症。
Nat Immunol. 2023 May;24(5):814-826. doi: 10.1038/s41590-023-01473-6. Epub 2023 Mar 30.
2
Case Report: A Rare Case of Autoinflammatory Phospholipase Cγ2 (PLCγ2)-Associated Antibody Deficiency and Immune Dysregulation Complicated With Gangrenous Pyoderma and Literature Review.病例报告:罕见的自身炎症性磷脂酶 Cγ2(PLCγ2)相关抗体缺陷和免疫失调并发坏疽性脓皮病及文献复习。
Front Immunol. 2021 May 19;12:667430. doi: 10.3389/fimmu.2021.667430. eCollection 2021.
3
Connecting two pathways through Ca 2+ signaling: NLRP3 inflammasome activation induced by a hypermorphic PLCG2 mutation.通过钙信号连接两条通路:PLCγ2 超活性突变诱导的 NLRP3 炎症小体激活。
Arthritis Rheumatol. 2015 Feb;67(2):563-7. doi: 10.1002/art.38961.
4
Novel Mutation in a Patient With APLAID and Cutis Laxa.APLAID 合并皮肤松弛症患者的新型突变。
Front Immunol. 2018 Dec 14;9:2863. doi: 10.3389/fimmu.2018.02863. eCollection 2018.
5
Characterization of a Novel Pathogenic PLCG2 Variant Leading to APLAID Syndrome Responsive to a TNF Inhibitor.新型 PLCG2 变异导致 APLAID 综合征的特征分析,该变异对 TNF 抑制剂有反应。
Arthritis Rheumatol. 2024 Nov;76(11):1670-1678. doi: 10.1002/art.42948. Epub 2024 Aug 6.
6
Clinical and immunological features of an APLAID patient caused by a novel mutation in .由.中的新型突变引起的 APLAID 患者的临床和免疫学特征。
Front Immunol. 2023 Jan 27;14:1014150. doi: 10.3389/fimmu.2023.1014150. eCollection 2023.
7
A new report of autoinflammation and PLCG2-associated antibody deficiency and immune dysregulation (APLAID) with a homozygous pattern from Iran.伊朗报道的一例新的自炎症和 PLCG2 相关抗体缺陷及免疫失调(APLAID)伴纯合模式。
Immunol Lett. 2020 May;221:27-32. doi: 10.1016/j.imlet.2020.01.008. Epub 2020 Feb 1.
8
Variant in the Gene May Cause a Phenotypic Overlap of APLAID/PLAID: Case Series and Literature Review.该基因变异可能导致APLAID/PLAID表型重叠:病例系列及文献综述
J Clin Med. 2022 Jul 27;11(15):4369. doi: 10.3390/jcm11154369.
9
Interleukin-2-activated natural killer cells can support hematopoiesis in vitro and promote marrow engraftment in vivo.白细胞介素-2激活的自然杀伤细胞在体外可支持造血,并在体内促进骨髓植入。
Blood. 1992 Aug 1;80(3):670-7.
10
Pretreatment of donor mice with granulocyte colony-stimulating factor polarizes donor T lymphocytes toward type-2 cytokine production and reduces severity of experimental graft-versus-host disease.用粒细胞集落刺激因子对供体小鼠进行预处理可使供体T淋巴细胞向2型细胞因子产生方向极化,并降低实验性移植物抗宿主病的严重程度。
Blood. 1995 Dec 15;86(12):4422-9.

引用本文的文献

1
APLAID complicated with arrhythmogenic dilated cardiomyopathy caused by a novel PLCG2 variant.伴有新型PLCG2变异导致的致心律失常性扩张型心肌病的APLAID。
Immunol Res. 2024 Jun;72(3):512-519. doi: 10.1007/s12026-024-09455-y. Epub 2024 Jan 19.
2
Mind bomb 2 limits inflammatory dermatitis in mutant mice independently of cell death.Mind bomb 2在突变小鼠中独立于细胞死亡限制炎症性皮炎。
PNAS Nexus. 2023 Dec 18;3(1):pgad438. doi: 10.1093/pnasnexus/pgad438. eCollection 2024 Jan.
3
PLCG2-associated immune dysregulation (PLAID) comprises broad and distinct clinical presentations related to functional classes of genetic variants.

本文引用的文献

1
A novel likely pathogenic PLCG2 variant in a patient with a recurrent skin blistering disease and B-cell lymphopenia.一个患有复发性皮肤水疱病和 B 细胞淋巴细胞减少症的患者中一个新型潜在致病 PLCG2 变异体。
Eur J Med Genet. 2022 Jan;65(1):104387. doi: 10.1016/j.ejmg.2021.104387. Epub 2021 Nov 9.
2
The role of PLCγ2 in immunological disorders, cancer, and neurodegeneration.PLCγ2 在免疫性疾病、癌症和神经退行性变中的作用。
J Biol Chem. 2021 Aug;297(2):100905. doi: 10.1016/j.jbc.2021.100905. Epub 2021 Jun 19.
3
Neutrophil Phospholipase Cγ2 Drives Autoantibody-Induced Arthritis Through the Generation of the Inflammatory Microenvironment.
PLCG2 相关免疫失调 (PLAID) 包括与遗传变异功能类别相关的广泛而不同的临床表现。
J Allergy Clin Immunol. 2024 Jan;153(1):230-242. doi: 10.1016/j.jaci.2023.08.036. Epub 2023 Sep 26.
4
A gain-of-function variation in PLCG1 causes a new immune dysregulation disease.PLCGl 中的功能获得性变异导致一种新的免疫失调疾病。
J Allergy Clin Immunol. 2023 Nov;152(5):1292-1302. doi: 10.1016/j.jaci.2023.06.020. Epub 2023 Jul 6.
5
G-CSF implicated as therapeutic target in APLAID.粒细胞集落刺激因子被认为是抗磷脂抗体相关缺血性疾病(APLAID)的治疗靶点。
Nat Rev Rheumatol. 2023 Jun;19(6):326. doi: 10.1038/s41584-023-00973-x.
6
The autoinflammatory disease APLAID is driven by G-CSF.自身炎症性疾病APLAID由粒细胞集落刺激因子(G-CSF)驱动。
Nat Rev Immunol. 2023 May;23(5):271. doi: 10.1038/s41577-023-00880-y.
中性粒细胞磷酯酶 Cγ2 通过产生炎症微环境驱动自身抗体诱导的关节炎。
Arthritis Rheumatol. 2021 Sep;73(9):1614-1625. doi: 10.1002/art.41704. Epub 2021 Jul 14.
4
Severe Autoinflammatory Manifestations and Antibody Deficiency Due to Novel Hypermorphic PLCG2 Mutations.新型 PLCG2 突变导致严重自身炎症表现和抗体缺陷。
J Clin Immunol. 2020 Oct;40(7):987-1000. doi: 10.1007/s10875-020-00794-7. Epub 2020 Jul 15.
5
Comparative Analysis of the Biosimilar and Innovative G-CSF Modulated Pathways on Umbilical Cord Blood-Derived Mononuclear Cells.生物类似药和创新型粒细胞集落刺激因子对脐带血来源单个核细胞的调控通路的比较分析
Bioinform Biol Insights. 2020 Mar 20;14:1177932220913307. doi: 10.1177/1177932220913307. eCollection 2020.
6
NK cell-derived GM-CSF potentiates inflammatory arthritis and is negatively regulated by CIS.自然杀伤细胞衍生的 GM-CSF 增强炎症性关节炎,并受 CIS 负向调节。
J Exp Med. 2020 May 4;217(5). doi: 10.1084/jem.20191421.
7
Structural insights and activating mutations in diverse pathologies define mechanisms of deregulation for phospholipase C gamma enzymes.结构见解和多种病理激活突变定义了磷酯酶 C 伽马酶失调的机制。
EBioMedicine. 2020 Jan;51:102607. doi: 10.1016/j.ebiom.2019.102607. Epub 2020 Jan 6.
8
A Germline Mutation in the C2 Domain of PLCγ2 Associated with Gain-of-Function Expands the Phenotype for PLCG2-Related Diseases.与功能获得相关的磷脂酶Cγ2(PLCγ2)C2结构域中的种系突变扩展了PLCG2相关疾病的表型。
J Clin Immunol. 2020 Feb;40(2):267-276. doi: 10.1007/s10875-019-00731-3. Epub 2019 Dec 19.
9
Expanding the clinical features of autoinflammation and phospholipase Cγ2-associated antibody deficiency and immune dysregulation by description of a novel patient.通过描述一位新患者,扩展自身炎症和磷脂酶 Cγ2 相关抗体缺陷及免疫失调的临床特征。
J Eur Acad Dermatol Venereol. 2019 Dec;33(12):2334-2339. doi: 10.1111/jdv.15918. Epub 2019 Oct 24.
10
The R package Rsubread is easier, faster, cheaper and better for alignment and quantification of RNA sequencing reads.Rsubread 软件包在 RNA 测序reads 的比对和定量方面,具有更简单、更快、更便宜和更好的优势。
Nucleic Acids Res. 2019 May 7;47(8):e47. doi: 10.1093/nar/gkz114.