• 文献检索
  • 文档翻译
  • 深度研究
  • 学术资讯
  • Suppr Zotero 插件Zotero 插件
  • 邀请有礼
  • 套餐&价格
  • 历史记录
应用&插件
Suppr Zotero 插件Zotero 插件浏览器插件Mac 客户端Windows 客户端微信小程序
定价
高级版会员购买积分包购买API积分包
服务
文献检索文档翻译深度研究API 文档MCP 服务
关于我们
关于 Suppr公司介绍联系我们用户协议隐私条款
关注我们

Suppr 超能文献

核心技术专利:CN118964589B侵权必究
粤ICP备2023148730 号-1Suppr @ 2026

文献检索

告别复杂PubMed语法,用中文像聊天一样搜索,搜遍4000万医学文献。AI智能推荐,让科研检索更轻松。

立即免费搜索

文件翻译

保留排版,准确专业,支持PDF/Word/PPT等文件格式,支持 12+语言互译。

免费翻译文档

深度研究

AI帮你快速写综述,25分钟生成高质量综述,智能提取关键信息,辅助科研写作。

立即免费体验

肝细胞癌异质代谢的特征鉴定出新的治疗靶点和治疗策略。

Characterization of heterogeneous metabolism in hepatocellular carcinoma identifies new therapeutic target and treatment strategy.

机构信息

School of Medicine, South China University of Technology, Guangzhou, Guangdong, China.

Department of Pancreatic Surgery, Guangdong Provincial People's Hospital (Guangdong Academy of Medical Sciences), Southern Medical University, Guangzhou, China.

出版信息

Front Immunol. 2023 Mar 16;14:1076587. doi: 10.3389/fimmu.2023.1076587. eCollection 2023.

DOI:10.3389/fimmu.2023.1076587
PMID:37006288
原文链接:https://pmc.ncbi.nlm.nih.gov/articles/PMC10060979/
Abstract

BACKGROUND

Metabolic reprogramming is a well-known hallmark of cancer. Systematical identification of clinically relevant metabolic subtypes of Hepatocellular carcinoma (HCC) is critical to understand tumor heterogeneity and develop efficient treatment strategies.

METHODS

We performed an integrative analysis of genomic, transcriptomic, and clinical data from an HCC patient cohort in The Cancer Genome Atlas (TCGA).

RESULTS

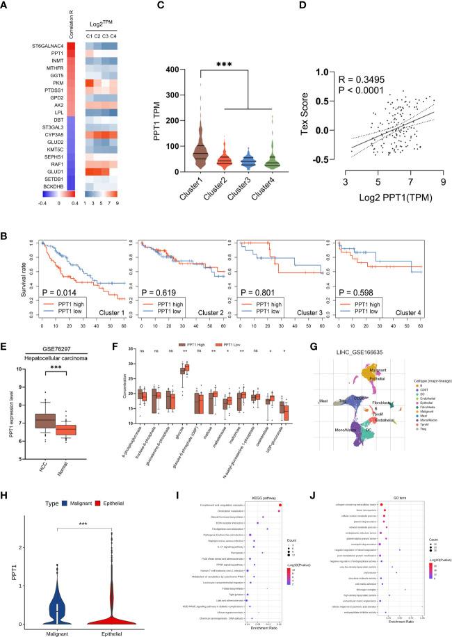
Four metabolic subtypes were defined: mHCC1, mHHC2, mHCC3, and mHCC4. These subtypes had distinct differences in mutations profiles, activities of metabolic pathways, prognostic metabolism genes, and immune features. The mHCC1 was associated with poorest outcome and was characterized by extensive metabolic alterations, abundant immune infiltration, and increased expression of immunosuppressive checkpoints. The mHHC2 displayed lowest metabolic alteration level and was associated with most significant improvement in overall survival in response to high CD8+ T cell infiltration. The mHHC3 was a "cold-tumor" with low immune infiltration and few metabolic alterations. The mHCC4 presented a medium degree of metabolic alteration and high CTNNB1 mutation rate. Based on our HCC classification and in vitro study, we identified palmitoyl-protein thioesterase 1 (PPT1) was a specific prognostic gene and therapeutic target for mHCC1.

CONCLUSION

Our study highlighted mechanistic differences among metabolic subtypes and identified potential therapeutic targets for subtype-specific treatment strategies targeting unique metabolic vulnerabilities. The immune heterogeneities across metabolic subtypes may help further clarify the association between metabolism and immune environment and guide the development of novel strategies through targeting both unique metabolic vulnerabilities and immunosuppressive triggers.

摘要

背景

代谢重编程是癌症的一个众所周知的标志。系统地识别肝癌(HCC)的临床相关代谢亚型对于理解肿瘤异质性和开发有效的治疗策略至关重要。

方法

我们对癌症基因组图谱(TCGA)中 HCC 患者队列的基因组、转录组和临床数据进行了综合分析。

结果

定义了四种代谢亚型:mHCC1、mHHC2、mHCC3 和 mHCC4。这些亚型在突变谱、代谢途径活性、预后代谢基因和免疫特征方面存在明显差异。mHCC1 与最差的预后相关,其特征是广泛的代谢改变、丰富的免疫浸润和免疫检查点的表达增加。mHHC2 显示出最低的代谢改变水平,与高 CD8+T 细胞浸润时总生存率的显著改善相关。mHHC3 是一种“冷肿瘤”,具有低免疫浸润和很少的代谢改变。mHCC4 表现出中等程度的代谢改变和高 CTNNB1 突变率。基于我们的 HCC 分类和体外研究,我们确定棕榈酰蛋白硫酯酶 1(PPT1)是 mHCC1 的一个特异性预后基因和治疗靶点。

结论

我们的研究强调了代谢亚型之间的机制差异,并确定了针对独特代谢脆弱性的亚型特异性治疗策略的潜在治疗靶点。代谢亚型之间的免疫异质性可能有助于进一步阐明代谢与免疫环境之间的关联,并通过靶向独特的代谢脆弱性和免疫抑制触发因素指导新策略的制定。

https://cdn.ncbi.nlm.nih.gov/pmc/blobs/2ec8/10060979/79e14d1c741d/fimmu-14-1076587-g010.jpg
https://cdn.ncbi.nlm.nih.gov/pmc/blobs/2ec8/10060979/2ac17f16a38e/fimmu-14-1076587-g001.jpg
https://cdn.ncbi.nlm.nih.gov/pmc/blobs/2ec8/10060979/491be268961a/fimmu-14-1076587-g002.jpg
https://cdn.ncbi.nlm.nih.gov/pmc/blobs/2ec8/10060979/b2dd80745a7c/fimmu-14-1076587-g003.jpg
https://cdn.ncbi.nlm.nih.gov/pmc/blobs/2ec8/10060979/f069d051d536/fimmu-14-1076587-g004.jpg
https://cdn.ncbi.nlm.nih.gov/pmc/blobs/2ec8/10060979/e0b48c7c2813/fimmu-14-1076587-g005.jpg
https://cdn.ncbi.nlm.nih.gov/pmc/blobs/2ec8/10060979/fe13da7c24e9/fimmu-14-1076587-g006.jpg
https://cdn.ncbi.nlm.nih.gov/pmc/blobs/2ec8/10060979/fc8e3a838eb9/fimmu-14-1076587-g007.jpg
https://cdn.ncbi.nlm.nih.gov/pmc/blobs/2ec8/10060979/d1f706a2ad99/fimmu-14-1076587-g008.jpg
https://cdn.ncbi.nlm.nih.gov/pmc/blobs/2ec8/10060979/a4e5a52d8bd2/fimmu-14-1076587-g009.jpg
https://cdn.ncbi.nlm.nih.gov/pmc/blobs/2ec8/10060979/79e14d1c741d/fimmu-14-1076587-g010.jpg
https://cdn.ncbi.nlm.nih.gov/pmc/blobs/2ec8/10060979/2ac17f16a38e/fimmu-14-1076587-g001.jpg
https://cdn.ncbi.nlm.nih.gov/pmc/blobs/2ec8/10060979/491be268961a/fimmu-14-1076587-g002.jpg
https://cdn.ncbi.nlm.nih.gov/pmc/blobs/2ec8/10060979/b2dd80745a7c/fimmu-14-1076587-g003.jpg
https://cdn.ncbi.nlm.nih.gov/pmc/blobs/2ec8/10060979/f069d051d536/fimmu-14-1076587-g004.jpg
https://cdn.ncbi.nlm.nih.gov/pmc/blobs/2ec8/10060979/e0b48c7c2813/fimmu-14-1076587-g005.jpg
https://cdn.ncbi.nlm.nih.gov/pmc/blobs/2ec8/10060979/fe13da7c24e9/fimmu-14-1076587-g006.jpg
https://cdn.ncbi.nlm.nih.gov/pmc/blobs/2ec8/10060979/fc8e3a838eb9/fimmu-14-1076587-g007.jpg
https://cdn.ncbi.nlm.nih.gov/pmc/blobs/2ec8/10060979/d1f706a2ad99/fimmu-14-1076587-g008.jpg
https://cdn.ncbi.nlm.nih.gov/pmc/blobs/2ec8/10060979/a4e5a52d8bd2/fimmu-14-1076587-g009.jpg
https://cdn.ncbi.nlm.nih.gov/pmc/blobs/2ec8/10060979/79e14d1c741d/fimmu-14-1076587-g010.jpg

相似文献

1
Characterization of heterogeneous metabolism in hepatocellular carcinoma identifies new therapeutic target and treatment strategy.肝细胞癌异质代谢的特征鉴定出新的治疗靶点和治疗策略。
Front Immunol. 2023 Mar 16;14:1076587. doi: 10.3389/fimmu.2023.1076587. eCollection 2023.
2
A novel immune classification reveals distinct immune escape mechanism and genomic alterations: implications for immunotherapy in hepatocellular carcinoma.一种新的免疫分类揭示了不同的免疫逃逸机制和基因组改变:对肝细胞癌免疫治疗的意义。
J Transl Med. 2021 Jan 6;19(1):5. doi: 10.1186/s12967-020-02697-y.
3
Tumor biology, immune infiltration and liver function define seven hepatocellular carcinoma subtypes linked to distinct drivers, survival and drug response.肿瘤生物学、免疫浸润和肝功能定义了七种与不同驱动因素、生存和药物反应相关的肝细胞癌亚型。
Comput Biol Med. 2023 Dec;167:107593. doi: 10.1016/j.compbiomed.2023.107593. Epub 2023 Oct 18.
4
Overweight/obesity-related transcriptomic signature as a correlate of clinical outcome, immune microenvironment, and treatment response in hepatocellular carcinoma.超重/肥胖相关的转录组特征与肝细胞癌的临床结局、免疫微环境和治疗反应相关。
Front Endocrinol (Lausanne). 2023 Jan 12;13:1061091. doi: 10.3389/fendo.2022.1061091. eCollection 2022.
5
CD8+ T cell trajectory subtypes decode tumor heterogeneity and provide treatment recommendations for hepatocellular carcinoma.CD8+ T 细胞轨迹亚型解析肿瘤异质性并为肝细胞癌提供治疗建议。
Front Immunol. 2022 Jul 27;13:964190. doi: 10.3389/fimmu.2022.964190. eCollection 2022.
6
Comprehensive molecular and immunological characterization of hepatocellular carcinoma.全面的肝癌分子和免疫特征分析。
EBioMedicine. 2019 Feb;40:457-470. doi: 10.1016/j.ebiom.2018.12.058. Epub 2018 Dec 29.
7
Intratumoral PPT1-positive macrophages determine immunosuppressive contexture and immunotherapy response in hepatocellular carcinoma.肿瘤内 PPT1 阳性巨噬细胞决定肝癌的免疫抑制微环境和免疫治疗反应。
J Immunother Cancer. 2023 Jun;11(6). doi: 10.1136/jitc-2022-006655.
8
Histological subtypes of hepatocellular carcinoma are related to gene mutations and molecular tumour classification.肝细胞癌的组织学亚型与基因突变和分子肿瘤分类有关。
J Hepatol. 2017 Oct;67(4):727-738. doi: 10.1016/j.jhep.2017.05.014. Epub 2017 May 19.
9
Identification of molecular heterogeneity of hepatocellular carcinoma based on immune gene expression signatures.基于免疫基因表达特征鉴定肝细胞癌的分子异质性。
Med Oncol. 2021 Mar 31;38(5):50. doi: 10.1007/s12032-021-01499-6.
10
Metabolic network-based stratification of hepatocellular carcinoma reveals three distinct tumor subtypes.基于代谢网络的肝细胞癌分层揭示了三种不同的肿瘤亚型。
Proc Natl Acad Sci U S A. 2018 Dec 11;115(50):E11874-E11883. doi: 10.1073/pnas.1807305115. Epub 2018 Nov 27.

本文引用的文献

1
Integrative proteogenomic characterization of hepatocellular carcinoma across etiologies and stages.整合蛋白质基因组学分析肝癌的病因和分期特征。
Nat Commun. 2022 May 4;13(1):2436. doi: 10.1038/s41467-022-29960-8.
2
FSTL1 promotes liver fibrosis by reprogramming macrophage function through modulating the intracellular function of PKM2.FSTL1 通过调节 PKM2 的细胞内功能重编程巨噬细胞功能促进肝纤维化。
Gut. 2022 Dec;71(12):2539-2550. doi: 10.1136/gutjnl-2021-325150. Epub 2022 Feb 9.
3
The hallmarks of cancer metabolism: Still emerging.
癌症代谢的特征:仍在不断涌现。
Cell Metab. 2022 Mar 1;34(3):355-377. doi: 10.1016/j.cmet.2022.01.007. Epub 2022 Feb 4.
4
Immune effects of PI3K/Akt/HIF-1α-regulated glycolysis in polymorphonuclear neutrophils during sepsis.PI3K/Akt/HIF-1α 调控糖酵解在脓毒症中性粒细胞中的免疫作用。
Crit Care. 2022 Jan 28;26(1):29. doi: 10.1186/s13054-022-03893-6.
5
Neutrophils as potential therapeutic targets in hepatocellular carcinoma.中性粒细胞作为肝细胞癌潜在的治疗靶点。
Nat Rev Gastroenterol Hepatol. 2022 Apr;19(4):257-273. doi: 10.1038/s41575-021-00568-5. Epub 2022 Jan 12.
6
Cancer statistics, 2022.癌症统计数据,2022 年。
CA Cancer J Clin. 2022 Jan;72(1):7-33. doi: 10.3322/caac.21708. Epub 2022 Jan 12.
7
Integrated proteogenomic analysis revealed the metabolic heterogeneity in noncancerous liver tissues of patients with hepatocellular carcinoma.整合蛋白质基因组分析揭示了肝癌患者非癌性肝组织中的代谢异质性。
J Hematol Oncol. 2021 Dec 11;14(1):205. doi: 10.1186/s13045-021-01195-y.
8
Cancer metabolism: looking forward.癌症代谢:展望未来。
Nat Rev Cancer. 2021 Oct;21(10):669-680. doi: 10.1038/s41568-021-00378-6. Epub 2021 Jul 16.
9
Single-cell RNA sequencing shows the immunosuppressive landscape and tumor heterogeneity of HBV-associated hepatocellular carcinoma.单细胞 RNA 测序显示乙型肝炎病毒相关肝细胞癌的免疫抑制景观和肿瘤异质性。
Nat Commun. 2021 Jun 17;12(1):3684. doi: 10.1038/s41467-021-24010-1.
10
Recent Advances in Hepatocellular Carcinoma Treatment.肝细胞癌治疗的最新进展
Clin Gastroenterol Hepatol. 2021 Oct;19(10):2020-2024. doi: 10.1016/j.cgh.2021.05.045. Epub 2021 Jun 9.