• 文献检索
  • 文档翻译
  • 深度研究
  • 学术资讯
  • Suppr Zotero 插件Zotero 插件
  • 邀请有礼
  • 套餐&价格
  • 历史记录
应用&插件
Suppr Zotero 插件Zotero 插件浏览器插件Mac 客户端Windows 客户端微信小程序
定价
高级版会员购买积分包购买API积分包
服务
文献检索文档翻译深度研究API 文档MCP 服务
关于我们
关于 Suppr公司介绍联系我们用户协议隐私条款
关注我们

Suppr 超能文献

核心技术专利:CN118964589B侵权必究
粤ICP备2023148730 号-1Suppr @ 2026

文献检索

告别复杂PubMed语法,用中文像聊天一样搜索,搜遍4000万医学文献。AI智能推荐,让科研检索更轻松。

立即免费搜索

文件翻译

保留排版,准确专业,支持PDF/Word/PPT等文件格式,支持 12+语言互译。

免费翻译文档

深度研究

AI帮你快速写综述,25分钟生成高质量综述,智能提取关键信息,辅助科研写作。

立即免费体验

资源如何影响股骨远端假体周围骨折的管理:来自以色列、南苏丹和南非的观点。

How resources affect management of periprosthetic fractures of the distal femur: perspectives from Israel, South Sudan, and South Africa.

作者信息

Bernstein Brian P, Rivkin Gurion, Weil Yoram A, Greenberg Alexander, Madison Brian B, Areu Mapour M, Joda Omojowk B, Berry Kirsty Leigh, Nortje Marc

机构信息

Department of Orthopaedics, University of Cape Town, Cape Town. South Africa.

Department of Orthopaedics, Hadassah Hebrew University Hospital, Jerusalem, Israel.

出版信息

OTA Int. 2023 Mar 28;6(1 Suppl):e238. doi: 10.1097/OI9.0000000000000238. eCollection 2023 Mar.

DOI:10.1097/OI9.0000000000000238
PMID:37006452
原文链接:https://pmc.ncbi.nlm.nih.gov/articles/PMC10064638/
Abstract

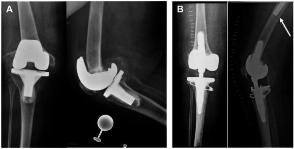
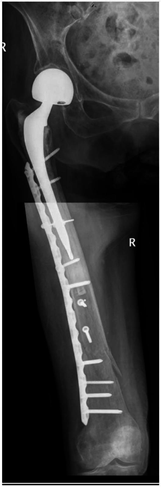
Periprosthetic fractures of the distal femur have significant morbidity in both total hip and total knee arthroplasty (THA and TKA, respectively). The incidence of these fractures is growing, with the predominant mechanism of injury being a fall from a standing height and therefore considered fragility fractures. In many countries, improved public funding and a flourishing private health care sector, when coupled with increased life expectancy, translates to more older patients receiving both TKA and THA and therefore an increased prevalence of periprosthetic fractures and their associated complications. These fractures may occur below a long stem THA, above a TKA, or between the two (so-called "interprosthetic fracture"). We will outline fracture classification, risk factors, diagnosis, and treatment options, highlighting perspectives on treating these fractures in Israel, South Africa, and South Sudan. These countries represent differing access to resources, varied comorbidity factors, and differing health care systems. The points of difference and the points of similarity will be considered.

摘要

股骨远端假体周围骨折在全髋关节置换术和全膝关节置换术(分别为THA和TKA)中均具有较高的发病率。这些骨折的发生率正在上升,主要损伤机制是从站立高度跌落,因此被视为脆性骨折。在许多国家,公共资金的改善和蓬勃发展的私立医疗保健部门,再加上预期寿命的延长,意味着更多老年患者接受TKA和THA,从而导致假体周围骨折及其相关并发症的患病率增加。这些骨折可能发生在长柄THA下方、TKA上方或两者之间(所谓的“假体间骨折”)。我们将概述骨折分类、危险因素、诊断和治疗选择,重点介绍以色列、南非和南苏丹治疗这些骨折的观点。这些国家代表了不同的资源获取情况、不同的合并症因素和不同的医疗保健系统。将考虑差异点和相似点。

https://cdn.ncbi.nlm.nih.gov/pmc/blobs/f511/10064638/8f27afc10e24/oi9-6-e238-g007.jpg
https://cdn.ncbi.nlm.nih.gov/pmc/blobs/f511/10064638/d72eebba4d75/oi9-6-e238-g001.jpg
https://cdn.ncbi.nlm.nih.gov/pmc/blobs/f511/10064638/d6add6627c7a/oi9-6-e238-g002.jpg
https://cdn.ncbi.nlm.nih.gov/pmc/blobs/f511/10064638/ff9ca48044b8/oi9-6-e238-g003.jpg
https://cdn.ncbi.nlm.nih.gov/pmc/blobs/f511/10064638/0b1edc1762df/oi9-6-e238-g004.jpg
https://cdn.ncbi.nlm.nih.gov/pmc/blobs/f511/10064638/67431e9e83f4/oi9-6-e238-g005.jpg
https://cdn.ncbi.nlm.nih.gov/pmc/blobs/f511/10064638/c34d20cfceaa/oi9-6-e238-g006.jpg
https://cdn.ncbi.nlm.nih.gov/pmc/blobs/f511/10064638/8f27afc10e24/oi9-6-e238-g007.jpg
https://cdn.ncbi.nlm.nih.gov/pmc/blobs/f511/10064638/d72eebba4d75/oi9-6-e238-g001.jpg
https://cdn.ncbi.nlm.nih.gov/pmc/blobs/f511/10064638/d6add6627c7a/oi9-6-e238-g002.jpg
https://cdn.ncbi.nlm.nih.gov/pmc/blobs/f511/10064638/ff9ca48044b8/oi9-6-e238-g003.jpg
https://cdn.ncbi.nlm.nih.gov/pmc/blobs/f511/10064638/0b1edc1762df/oi9-6-e238-g004.jpg
https://cdn.ncbi.nlm.nih.gov/pmc/blobs/f511/10064638/67431e9e83f4/oi9-6-e238-g005.jpg
https://cdn.ncbi.nlm.nih.gov/pmc/blobs/f511/10064638/c34d20cfceaa/oi9-6-e238-g006.jpg
https://cdn.ncbi.nlm.nih.gov/pmc/blobs/f511/10064638/8f27afc10e24/oi9-6-e238-g007.jpg

相似文献

1
How resources affect management of periprosthetic fractures of the distal femur: perspectives from Israel, South Sudan, and South Africa.资源如何影响股骨远端假体周围骨折的管理:来自以色列、南苏丹和南非的观点。
OTA Int. 2023 Mar 28;6(1 Suppl):e238. doi: 10.1097/OI9.0000000000000238. eCollection 2023 Mar.
2
Radiographic Risk Factors For Interprosthetic Femur Fractures.人工关节置换术后股骨骨折的影像学危险因素
Iowa Orthop J. 2017;37:35-39.
3
Does Time to Surgery Affect Outcomes for Periprosthetic Femur Fractures?手术时机是否会影响人工股骨假体周围骨折的治疗效果?
J Arthroplasty. 2018 Mar;33(3):878-881. doi: 10.1016/j.arth.2017.10.045. Epub 2017 Nov 9.
4
Outcomes of operatively treated interprosthetic femoral fractures.手术治疗假体间股骨骨折的结果。
Bone Joint J. 2021 Jul;103-B(7 Supple B):122-128. doi: 10.1302/0301-620X.103B7.BJJ-2020-2275.R1.
5
Increased risk of periprosthetic femur fractures associated with a unique cementless stem design.与一种独特的非骨水泥型股骨柄设计相关的假体周围股骨骨折风险增加。
Clin Orthop Relat Res. 2015 Jun;473(6):2045-53. doi: 10.1007/s11999-014-4077-9. Epub 2014 Dec 12.
6
Incidence of and risk factors for femoral fractures in the gap between hip and knee implants.髋关节与膝关节植入物之间间隙处股骨骨折的发生率及危险因素
Int Orthop. 2016 Aug;40(8):1697-1702. doi: 10.1007/s00264-015-2978-1. Epub 2015 Sep 4.
7
Clinical outcome of interprosthetic femoral fractures treated with polyaxial locking plates.采用多轴锁定钢板治疗人工关节置换术后股骨骨折的临床疗效
Injury. 2016 Apr;47(4):934-8. doi: 10.1016/j.injury.2015.12.026. Epub 2016 Jan 2.
8
Periprosthetic femoral fracture type and location are influenced by the presence of an ipsilateral knee arthroplasty implant: A case-control study of 84 interprosthetic femoral fractures.股骨假体周围骨折的类型和部位与同侧膝关节置换假体的存在有关:84 例假体间股骨骨折的病例对照研究。
Injury. 2022 Feb;53(2):645-652. doi: 10.1016/j.injury.2021.11.047. Epub 2021 Nov 23.
9
Revision arthroplasty in periprosthetic fractures of the proximal femur.股骨近端假体周围骨折的翻修关节成形术。
Oper Orthop Traumatol. 2014 Oct;26(5):455-68. doi: 10.1007/s00064-014-0305-4. Epub 2014 Sep 28.
10
Periprosthetic Femur Fractures After Total Hip Arthroplasty: Does the Mode of Failure Correlate With Classification?髋关节置换术后股骨假体周围骨折:失败模式是否与分类相关?
J Arthroplasty. 2021 Jul;36(7):2597-2602. doi: 10.1016/j.arth.2021.02.048. Epub 2021 Feb 23.

引用本文的文献

1
Establishment and validation of a prognostic nomogram for periprosthetic femoral fracture after total hip replacement surgery.全髋关节置换术后假体周围股骨骨折预后列线图的建立与验证
BMC Musculoskelet Disord. 2025 Apr 5;26(1):336. doi: 10.1186/s12891-025-08575-2.

本文引用的文献

1
Periprosthetic fractures of the proximal femur: beyond the Vancouver classification.股骨近端假体周围骨折:超越温哥华分类法
EFORT Open Rev. 2020 Aug 1;5(7):449-456. doi: 10.1302/2058-5241.5.190086. eCollection 2020 Jul.
2
Technical Trick: Dual Plate Fixation of Periprosthetic Distal Femur Fractures.技术技巧:人工关节周围股骨远端骨折的双钢板固定
J Orthop Trauma. 2021 Apr 1;35(4):e148-e152. doi: 10.1097/BOT.0000000000001869.
3
Biomechanics of Periprosthetic Fixation: Plates, Nails, Cables, and Allografts.人工关节周围固定的生物力学:钢板、钢钉、钢缆和同种异体移植物。
J Orthop Trauma. 2019 Sep;33 Suppl 6:S1-S4. doi: 10.1097/BOT.0000000000001569.
4
Changes in femoral bone mineral density after total knee arthroplasty: a systematic review and meta-analysis.全膝关节置换术后股骨骨密度的变化:系统评价和荟萃分析。
Arch Osteoporos. 2019 Feb 23;14(1):23. doi: 10.1007/s11657-019-0572-7.
5
Unified Classification System for Periprosthetic Fractures (UCPF).人工关节周围骨折统一分类系统(UCPF)。
J Orthop Trauma. 2018 Jan;32 Suppl 1:S141-S144. doi: 10.1097/BOT.0000000000001068.
6
Tangential Bicortical Locked Fixation Improves Stability in Vancouver B1 Periprosthetic Femur Fractures: A Biomechanical Study.切线双皮质锁定固定改善温哥华B1型股骨假体周围骨折的稳定性:一项生物力学研究
J Orthop Trauma. 2015 Oct;29(10):e364-70. doi: 10.1097/BOT.0000000000000365.
7
Periprosthetic supracondylar femoral fractures above a total knee replacement: compatibility guide for fixation with a retrograde intramedullary nail.全膝关节置换术后股骨髁上假体周围骨折:逆行髓内钉固定的兼容性指南。
J Arthroplasty. 2014 Aug;29(8):1639-41. doi: 10.1016/j.arth.2013.07.027. Epub 2014 Jun 11.
8
The Unified Classification System (UCS): improving our understanding of periprosthetic fractures.统一分类系统(UCS):增进我们对假体周围骨折的理解
Bone Joint J. 2014 Jun;96-B(6):713-6. doi: 10.1302/0301-620X.96B6.34040.
9
Modern retrograde intramedullary nails versus periarticular locked plates for supracondylar femur fractures after total knee arthroplasty.全膝关节置换术后股骨髁上骨折的现代逆行髓内钉与关节周围锁定钢板的比较。
J Arthroplasty. 2014 Jul;29(7):1478-81. doi: 10.1016/j.arth.2014.01.025. Epub 2014 Jan 28.
10
Systematic review of the treatment of periprosthetic distal femur fractures.系统回顾治疗假体周围股骨远端骨折。
J Orthop Trauma. 2014 May;28(5):307-12. doi: 10.1097/BOT.0000000000000002.