• 文献检索
  • 文档翻译
  • 深度研究
  • 学术资讯
  • Suppr Zotero 插件Zotero 插件
  • 邀请有礼
  • 套餐&价格
  • 历史记录
应用&插件
Suppr Zotero 插件Zotero 插件浏览器插件Mac 客户端Windows 客户端微信小程序
定价
高级版会员购买积分包购买API积分包
服务
文献检索文档翻译深度研究API 文档MCP 服务
关于我们
关于 Suppr公司介绍联系我们用户协议隐私条款
关注我们

Suppr 超能文献

核心技术专利:CN118964589B侵权必究
粤ICP备2023148730 号-1Suppr @ 2026

文献检索

告别复杂PubMed语法,用中文像聊天一样搜索,搜遍4000万医学文献。AI智能推荐,让科研检索更轻松。

立即免费搜索

文件翻译

保留排版,准确专业,支持PDF/Word/PPT等文件格式,支持 12+语言互译。

免费翻译文档

深度研究

AI帮你快速写综述,25分钟生成高质量综述,智能提取关键信息,辅助科研写作。

立即免费体验

心脏磁共振成像在诊断近期从 COVID-19 康复患者的嗜酸性粒细胞性心肌炎中的应用:一例临床大查房病例报告

Utility of cardiac magnetic resonance imaging in diagnosing eosinophilic myocarditis in a patient recently recovered from COVID-19: a grand round case report.

作者信息

Rao Karan, Arustamyan Michael, Walling Abby, Christodoulidis Georgios, Ashwath Mahi, Hagedorn Joshua, Priya Sarv

机构信息

Department of Radiology, University of Iowa Hospitals and Clinics, 200 Hawkins Drive, Iowa City, IA 522422, USA.

Department of Cardiovascular Medicine, University of Iowa Hospitals and Clinics, 200 Hawkins Drive, Iowa City, IA 52242, USA.

出版信息

Eur Heart J Case Rep. 2023 Feb 18;7(3):ytad090. doi: 10.1093/ehjcr/ytad090. eCollection 2023 Mar.

DOI:10.1093/ehjcr/ytad090
PMID:37006798
原文链接:https://pmc.ncbi.nlm.nih.gov/articles/PMC10053638/
Abstract

BACKGROUND

Eosinophilic myocarditis (EM) secondary to eosinophilic granulomatosis with polyangiitis (EGPA) is a rare disease, for which cardiac magnetic resonance imaging (CMRI) is a useful non-invasive modality for diagnosis. We present a case of EM in a patient who recently recovered from COVID-19 and discuss the role of CMRI and endomyocardial biopsy (EMB) to differentiate between COVID-19-associated myocarditis and EM.

CASE SUMMARY

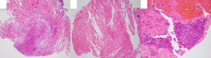
A 20-year-old Hispanic male with a history of sinusitis and asthma, and who recently recovered from COVID-19, presented to the emergency room with pleuritic chest pain, dyspnoea on exertion, and cough. His presentation labs were pertinent for leucocytosis, eosinophilia, elevated troponin, and elevated erythrocyte sedimentation rate and C-reactive protein. The electrocardiogram showed sinus tachycardia. Echocardiogram showed an ejection fraction of 40%. The patient was admitted, and on day 2 of admission, he underwent CMRI which showed findings of EM and mural thrombi. On hospital day 3, the patient underwent right heart catheterization and EMB which confirmed EM. The patient was treated with steroids and mepolizumab. He was discharged on hospital day 7 and continued outpatient heart failure treatment.

DISCUSSION

This is a unique case of EM and heart failure with reduced ejection fraction as a presentation of EGPA, in a patient who recently recovered from COVID-19. In this case, CMRI and EMB were critical to identify the cause of myocarditis and helped in the optimal management of this patient.

摘要

背景

嗜酸性粒细胞性肉芽肿伴多血管炎(EGPA)继发的嗜酸性粒细胞性心肌炎(EM)是一种罕见疾病,心脏磁共振成像(CMRI)是诊断该病的一种有用的非侵入性检查方法。我们报告一例近期从新冠病毒疾病(COVID-19)康复的患者发生EM的病例,并讨论CMRI和心内膜心肌活检(EMB)在鉴别COVID-19相关性心肌炎和EM中的作用。

病例摘要

一名20岁的西班牙裔男性,有鼻窦炎和哮喘病史,近期从COVID-19康复,因胸膜炎性胸痛、劳力性呼吸困难和咳嗽就诊于急诊室。其检查结果显示白细胞增多、嗜酸性粒细胞增多、肌钙蛋白升高、红细胞沉降率和C反应蛋白升高。心电图显示窦性心动过速。超声心动图显示射血分数为40%。患者入院,入院第2天接受CMRI检查,结果显示为EM并伴有壁血栓。住院第3天,患者接受了右心导管检查和EMB,确诊为EM。患者接受了类固醇和美泊利单抗治疗。他于住院第7天出院,并继续接受门诊心力衰竭治疗。

讨论

这是一例独特的EM病例,表现为射血分数降低的心力衰竭,是EGPA的一种表现,发生在一名近期从COVID-19康复的患者身上。在该病例中,CMRI和EMB对于确定心肌炎病因至关重要,并有助于对该患者进行最佳管理。

https://cdn.ncbi.nlm.nih.gov/pmc/blobs/ee56/10053638/b6bcce7bb352/ytad090f7.jpg
https://cdn.ncbi.nlm.nih.gov/pmc/blobs/ee56/10053638/0ff650ce29e9/ytad090f1.jpg
https://cdn.ncbi.nlm.nih.gov/pmc/blobs/ee56/10053638/d347e6600b92/ytad090f2.jpg
https://cdn.ncbi.nlm.nih.gov/pmc/blobs/ee56/10053638/4f9de20df8d5/ytad090f3.jpg
https://cdn.ncbi.nlm.nih.gov/pmc/blobs/ee56/10053638/8b38741ecd7c/ytad090f4.jpg
https://cdn.ncbi.nlm.nih.gov/pmc/blobs/ee56/10053638/dfa8ae8ccfce/ytad090f5.jpg
https://cdn.ncbi.nlm.nih.gov/pmc/blobs/ee56/10053638/b83d32decf6c/ytad090f6.jpg
https://cdn.ncbi.nlm.nih.gov/pmc/blobs/ee56/10053638/b6bcce7bb352/ytad090f7.jpg
https://cdn.ncbi.nlm.nih.gov/pmc/blobs/ee56/10053638/0ff650ce29e9/ytad090f1.jpg
https://cdn.ncbi.nlm.nih.gov/pmc/blobs/ee56/10053638/d347e6600b92/ytad090f2.jpg
https://cdn.ncbi.nlm.nih.gov/pmc/blobs/ee56/10053638/4f9de20df8d5/ytad090f3.jpg
https://cdn.ncbi.nlm.nih.gov/pmc/blobs/ee56/10053638/8b38741ecd7c/ytad090f4.jpg
https://cdn.ncbi.nlm.nih.gov/pmc/blobs/ee56/10053638/dfa8ae8ccfce/ytad090f5.jpg
https://cdn.ncbi.nlm.nih.gov/pmc/blobs/ee56/10053638/b83d32decf6c/ytad090f6.jpg
https://cdn.ncbi.nlm.nih.gov/pmc/blobs/ee56/10053638/b6bcce7bb352/ytad090f7.jpg

相似文献

1
Utility of cardiac magnetic resonance imaging in diagnosing eosinophilic myocarditis in a patient recently recovered from COVID-19: a grand round case report.心脏磁共振成像在诊断近期从 COVID-19 康复患者的嗜酸性粒细胞性心肌炎中的应用:一例临床大查房病例报告
Eur Heart J Case Rep. 2023 Feb 18;7(3):ytad090. doi: 10.1093/ehjcr/ytad090. eCollection 2023 Mar.
2
Eosinophilic perimyocarditis associated with eosinophilic granulomatosis with polyangiitis: a case report.嗜酸性粒细胞性心肌心包炎合并嗜酸性粒细胞性肉芽肿性多血管炎:一例报告
Eur Heart J Case Rep. 2021 Oct 7;5(10):ytab399. doi: 10.1093/ehjcr/ytab399. eCollection 2021 Oct.
3
The Diagnostic Challenge of Eosinophilic Granulomatosis With Polyangiitis Presenting as Acute Eosinophilic Myocarditis: Case Report and Literature Review.以急性嗜酸性粒细胞性心肌炎形式表现的嗜酸性肉芽肿性多血管炎的诊断挑战:病例报告与文献综述
Front Cardiovasc Med. 2022 Jul 7;9:913724. doi: 10.3389/fcvm.2022.913724. eCollection 2022.
4
Eosinophilic granulomatosis with polyangiitis presenting with eosinophilic myocarditis as the only organ involvement.以嗜酸性粒细胞性心肌炎为唯一器官受累表现的嗜酸性肉芽肿性多血管炎。
J Cardiol Cases. 2023 Jan 7;27(4):172-175. doi: 10.1016/j.jccase.2022.12.012. eCollection 2023 Apr.
5
What's behind your eosinophilic myocarditis? A case of Churg-Strauss syndrome diagnosed during acute heart failure.嗜酸粒细胞性心肌炎的病因是什么?一例在急性心力衰竭期间诊断的 Churg-Strauss 综合征。
ESC Heart Fail. 2023 Feb;10(1):709-715. doi: 10.1002/ehf2.14172. Epub 2022 Oct 19.
6
A Progressive Case of Eosinophilic Myocarditis Due to Eosinophilic Granulomatosis With Polyangiitis in a Caucasian Male.一名白人男性患者因嗜酸性肉芽肿伴多血管炎导致嗜酸性心肌炎进行性加重。
J Investig Med High Impact Case Rep. 2020 Jan-Dec;8:2324709620966855. doi: 10.1177/2324709620966855.
7
Eosinophilic Myocarditis Demonstrated Using Cardiac Magnetic Resonance Imaging in a Patient with Eosinophilic Granulomatosis with Polyangiitis (Churg-Strauss Disease).心脏磁共振成像显示嗜酸性粒细胞性心肌炎一例:伴嗜酸性肉芽肿性多血管炎(Churg-Strauss病)患者
Cureus. 2018 Jun 12;10(6):e2792. doi: 10.7759/cureus.2792.
8
A unique case report of relapsing eosinophilic myocarditis causing atrial myopathy and persistent sinus arrest.一例复发性嗜酸性粒细胞性心肌炎导致心房肌病和持续性窦性停搏的独特病例报告。
Eur Heart J Case Rep. 2022 Feb 7;6(2):ytac047. doi: 10.1093/ehjcr/ytac047. eCollection 2022 Feb.
9
A fiery heart: case report of perimyocarditis in a patient with eosinophilic granulomatosis with polyangiitis.一颗火热的心:嗜酸性肉芽肿性多血管炎患者并发心肌外层炎的病例报告
Eur Heart J Case Rep. 2024 Aug 13;8(9):ytae414. doi: 10.1093/ehjcr/ytae414. eCollection 2024 Sep.
10
Eosinophilic Myocarditis: A Challenging Diagnosis.嗜酸性粒细胞性心肌炎:一项具有挑战性的诊断。
Cureus. 2022 Apr 22;14(4):e24371. doi: 10.7759/cureus.24371. eCollection 2022 Apr.

引用本文的文献

1
Unraveling cerebrovascular involvement in EGPA through digital subtraction angiography: case presentation and systematic literature review.通过数字减影血管造影术揭示嗜酸性肉芽肿性多血管炎的脑血管受累情况:病例报告及系统文献综述
BMC Rheumatol. 2025 Jul 1;9(1):80. doi: 10.1186/s41927-025-00518-7.
2
Eosinophilic myocarditis in dilated cardiomyopathy: a case report.扩张型心肌病中的嗜酸性粒细胞性心肌炎:一例报告
BMC Cardiovasc Disord. 2025 May 8;25(1):355. doi: 10.1186/s12872-025-04826-1.

本文引用的文献

1
Hypereosinophilic syndrome onset with Loeffler's endocarditis after COVID-19 infection.新型冠状病毒肺炎感染后嗜酸性粒细胞增多综合征伴吕弗勒心内膜炎发病
Eur Heart J Cardiovasc Imaging. 2022 Sep 10;23(10):e472. doi: 10.1093/ehjci/jeac150.
2
Acute necrotizing eosinophilic myocarditis after COVID-19 vaccination.新冠病毒疫苗接种后急性坏死性嗜酸性粒细胞性心肌炎
Eur Heart J. 2022 Jul 14;43(27):2640. doi: 10.1093/eurheartj/ehac239.
3
2022 American College of Rheumatology/European Alliance of Associations for Rheumatology Classification Criteria for Eosinophilic Granulomatosis with Polyangiitis.
2022 年美国风湿病学会/欧洲风湿病学会联合会嗜酸性肉芽肿伴多血管炎分类标准。
Ann Rheum Dis. 2022 Mar;81(3):309-314. doi: 10.1136/annrheumdis-2021-221794. Epub 2022 Feb 2.
4
COVID-19 vs. Classical Myocarditis Associated Myocardial Injury Evaluated by Cardiac Magnetic Resonance and Endomyocardial Biopsy.通过心脏磁共振成像和心内膜心肌活检评估新型冠状病毒肺炎与经典心肌炎相关心肌损伤
Front Cardiovasc Med. 2021 Dec 24;8:737257. doi: 10.3389/fcvm.2021.737257. eCollection 2021.
5
Use of mRNA COVID-19 Vaccine After Reports of Myocarditis Among Vaccine Recipients: Update from the Advisory Committee on Immunization Practices - United States, June 2021.mRNA COVID-19 疫苗接种后出现心肌炎报告:免疫实践咨询委员会更新-美国,2021 年 6 月。
MMWR Morb Mortal Wkly Rep. 2021 Jul 9;70(27):977-982. doi: 10.15585/mmwr.mm7027e2.
6
Prevalence of Clinical and Subclinical Myocarditis in Competitive Athletes With Recent SARS-CoV-2 Infection: Results From the Big Ten COVID-19 Cardiac Registry.近期感染 SARS-CoV-2 的竞技运动员中临床和亚临床心肌炎的患病率:Big Ten COVID-19 心脏登记研究结果。
JAMA Cardiol. 2021 Sep 1;6(9):1078-1087. doi: 10.1001/jamacardio.2021.2065.
7
Cardiac MRI in Suspected Acute COVID-19 Myocarditis.疑似急性新型冠状病毒肺炎心肌炎的心脏磁共振成像
Radiol Cardiothorac Imaging. 2021 Mar 4;3(2):e200628. doi: 10.1148/ryct.2021200628. eCollection 2021 Apr.
8
Cardiac MRI and Myocardial Injury in COVID-19: Diagnosis, Risk Stratification and Prognosis.新冠病毒肺炎中的心脏磁共振成像与心肌损伤:诊断、风险分层及预后
Diagnostics (Basel). 2021 Jan 15;11(1):130. doi: 10.3390/diagnostics11010130.
9
Eosinophilic heart disease: diagnostic and prognostic assessment by cardiac magnetic resonance.嗜酸性粒细胞性心脏病:心脏磁共振的诊断和预后评估。
Eur Heart J Cardiovasc Imaging. 2021 Oct 19;22(11):1273-1284. doi: 10.1093/ehjci/jeaa346.
10
Cardiac Magnetic Resonance Imaging in Coronavirus Disease 2019 (COVID-19): A Systematic Review of Cardiac Magnetic Resonance Imaging Findings in 199 Patients.新冠肺炎(COVID-19)的心脏磁共振成像:199 例患者的心脏磁共振成像结果的系统评价。
J Thorac Imaging. 2021 Mar 1;36(2):73-83. doi: 10.1097/RTI.0000000000000574.