• 文献检索
  • 文档翻译
  • 深度研究
  • 学术资讯
  • Suppr Zotero 插件Zotero 插件
  • 邀请有礼
  • 套餐&价格
  • 历史记录
应用&插件
Suppr Zotero 插件Zotero 插件浏览器插件Mac 客户端Windows 客户端微信小程序
定价
高级版会员购买积分包购买API积分包
服务
文献检索文档翻译深度研究API 文档MCP 服务
关于我们
关于 Suppr公司介绍联系我们用户协议隐私条款
关注我们

Suppr 超能文献

核心技术专利:CN118964589B侵权必究
粤ICP备2023148730 号-1Suppr @ 2026

文献检索

告别复杂PubMed语法,用中文像聊天一样搜索,搜遍4000万医学文献。AI智能推荐,让科研检索更轻松。

立即免费搜索

文件翻译

保留排版,准确专业,支持PDF/Word/PPT等文件格式,支持 12+语言互译。

免费翻译文档

深度研究

AI帮你快速写综述,25分钟生成高质量综述,智能提取关键信息,辅助科研写作。

立即免费体验

扩张型心肌病中的嗜酸性粒细胞性心肌炎:一例报告

Eosinophilic myocarditis in dilated cardiomyopathy: a case report.

作者信息

Li Mengxuan, Chen Hong

机构信息

Department of Hematology, West China Hospital, Sichuan University/West China School of Nursing, Sichuan University, Chengdu, China.

West China Hospital, Sichuan University/West China School of Nursing, Sichuan University, 37 Guoxue Lane, Wuhou District, Chengdu, Sichuan, 610041, China.

出版信息

BMC Cardiovasc Disord. 2025 May 8;25(1):355. doi: 10.1186/s12872-025-04826-1.

DOI:10.1186/s12872-025-04826-1
PMID:40335918
原文链接:https://pmc.ncbi.nlm.nih.gov/articles/PMC12060564/
Abstract

BACKGROUND

Eosinophilic myocarditis (EM) is a rare cardiac condition that is often difficult to diagnose. Although endocardial myocardial biopsy is considered the gold standard for diagnosis, sampling errors can lead to false-negative results. This case report discusses the diagnosis and treatment of dilated cardiomyopathy in a patient with EM.

CASE PRESENTATION

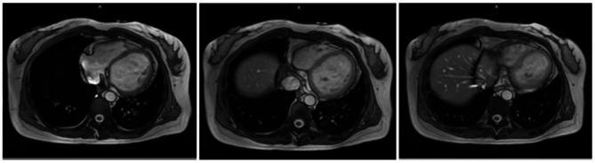
In this article, we report a case of a 32-year-old female patient diagnosed with dilated cardiomyopathy. EM was strongly suspected based on a progressive increase in eosinophil count, the absence of known allergens or common etiological factors, elevated eosinophil levels in alveolar lavage fluid, and a diagnosis of eosinophilic pneumonia. However, endocardial myocardial biopsy results failed to show definite evidence of myocarditis. Despite the implementation of various therapeutic interventions including pharmacological treatments, electrical defibrillation, endotracheal intubation, and ventilator-assisted breathing, the patient's condition showed minimal improvement. Subsequent initiation of extracorporeal membrane oxygenation and intra-aortic balloon pump support also failed to achieve the anticipated recovery. The patient subsequently underwent heart transplantation, and cardiac tissue samples were sent for pathology examination. The diagnostic report revealed a large number of eosinophils, confirming the diagnosis of EM. After heart transplantation, the patient's vital signs gradually stabilized, and she was discharged in good condition.

CONCLUSIONS

Endocardial myocardial biopsy plays an important role in diagnosing EM but may yield false-negative results. In this case, heart transplantation provided critical diagnostic information, with the pathology report confirming the presence of eosinophils and supporting the diagnosis of EM.

摘要

背景

嗜酸性粒细胞性心肌炎(EM)是一种罕见的心脏疾病,常常难以诊断。尽管心内膜心肌活检被认为是诊断的金标准,但取样误差可能导致假阴性结果。本病例报告讨论了一名患有EM的扩张型心肌病患者的诊断和治疗。

病例介绍

在本文中,我们报告了一例32岁女性患者,被诊断为扩张型心肌病。基于嗜酸性粒细胞计数逐渐增加、无已知过敏原或常见病因、肺泡灌洗液中嗜酸性粒细胞水平升高以及嗜酸性粒细胞性肺炎的诊断,强烈怀疑为EM。然而,心内膜心肌活检结果未能显示心肌炎的确切证据。尽管实施了包括药物治疗、电除颤、气管插管和呼吸机辅助呼吸在内的各种治疗干预措施,但患者的病情改善甚微。随后启动体外膜肺氧合和主动脉内球囊泵支持也未能实现预期的恢复。患者随后接受了心脏移植,并将心脏组织样本送去进行病理检查。诊断报告显示大量嗜酸性粒细胞,证实了EM的诊断。心脏移植后,患者的生命体征逐渐稳定,并顺利出院。

结论

心内膜心肌活检在诊断EM中起着重要作用,但可能产生假阴性结果。在本病例中,心脏移植提供了关键的诊断信息,病理报告证实了嗜酸性粒细胞的存在并支持EM的诊断。

https://cdn.ncbi.nlm.nih.gov/pmc/blobs/4412/12060564/2f33c24884dd/12872_2025_4826_Fig3_HTML.jpg
https://cdn.ncbi.nlm.nih.gov/pmc/blobs/4412/12060564/97a86baae2f7/12872_2025_4826_Fig1_HTML.jpg
https://cdn.ncbi.nlm.nih.gov/pmc/blobs/4412/12060564/d2dd4ad7b41f/12872_2025_4826_Fig2_HTML.jpg
https://cdn.ncbi.nlm.nih.gov/pmc/blobs/4412/12060564/2f33c24884dd/12872_2025_4826_Fig3_HTML.jpg
https://cdn.ncbi.nlm.nih.gov/pmc/blobs/4412/12060564/97a86baae2f7/12872_2025_4826_Fig1_HTML.jpg
https://cdn.ncbi.nlm.nih.gov/pmc/blobs/4412/12060564/d2dd4ad7b41f/12872_2025_4826_Fig2_HTML.jpg
https://cdn.ncbi.nlm.nih.gov/pmc/blobs/4412/12060564/2f33c24884dd/12872_2025_4826_Fig3_HTML.jpg

相似文献

1
Eosinophilic myocarditis in dilated cardiomyopathy: a case report.扩张型心肌病中的嗜酸性粒细胞性心肌炎:一例报告
BMC Cardiovasc Disord. 2025 May 8;25(1):355. doi: 10.1186/s12872-025-04826-1.
2
A Case of Eosinophilic Myocarditis Associated with Cardiogenic Shock.一例嗜酸性粒细胞性心肌炎合并心源性休克
Tokai J Exp Clin Med. 2017 Dec 20;42(4):156-159.
3
Unexpected eosinophilic myocarditis in a young woman with rapidly progressive dilated cardiomyopathy.一名患有快速进展性扩张型心肌病的年轻女性出现意外的嗜酸性粒细胞性心肌炎。
Int J Cardiol. 2002 Dec;86(2-3):295-7. doi: 10.1016/s0167-5273(02)00304-2.
4
Short-term use of "ECMELLA" in the context of fulminant eosinophilic myocarditis with cardiogenic shock.在暴发性嗜酸性心肌炎合并心源性休克的情况下短期使用“ECMELLA”。
BMC Cardiovasc Disord. 2020 Dec 10;20(1):519. doi: 10.1186/s12872-020-01808-3.
5
[Indication for myocardial biopsy in myocarditis and dilated cardiomyopathy].[心肌炎和扩张型心肌病中心肌活检的指征]
Med Klin (Munich). 2005 Sep 15;100(9):553-61. doi: 10.1007/s00063-005-1076-3.
6
[Acute necrotizing eosinophilic myocarditis. Favorable clinical course after heart transplantation].[急性坏死性嗜酸性粒细胞性心肌炎。心脏移植后良好的临床病程]
Presse Med. 1992 Mar 28;21(12):565-8.
7
[Myocardial microabscesses detected by endomyocardial biopsy in a patient with dilated cardiomyopathy and celiac disease: a case report].[经心内膜心肌活检在一名扩张型心肌病合并乳糜泻患者中检测到心肌微脓肿:病例报告]
Kardiol Pol. 2006 Jul;64(7):733-6.
8
Eosinophilic myocarditis: two case reports and review of the literature.嗜酸性粒细胞性心肌炎:两例病例报告及文献综述
BMC Res Notes. 2013 Dec 17;6:538. doi: 10.1186/1756-0500-6-538.
9
Sudden unexpected death in a case of necrotizing eosinophilic myocarditis.坏死性嗜酸性粒细胞性心肌炎病例中的猝死
Leg Med (Tokyo). 2019 May;38:1-4. doi: 10.1016/j.legalmed.2019.03.002. Epub 2019 Mar 7.
10
Severe Eosinophilic Myocarditis in the Portion of Left Ventricular Wall Excised to Insert a Left Ventricular Assist Device for Severe Heart Failure.因严重心力衰竭切除左心室壁部分并植入左心室辅助装置导致严重嗜酸性粒细胞性心肌炎。
Am J Cardiol. 2020 Jan 15;125(2):264-269. doi: 10.1016/j.amjcard.2019.10.030. Epub 2019 Oct 30.

本文引用的文献

1
A Rare Case of Eosinophilic Myocarditis Described With 18F-FDG PET/CT.18F-FDG PET/CT描述的嗜酸性粒细胞性心肌炎罕见病例
Clin Nucl Med. 2024 Nov 19. doi: 10.1097/RLU.0000000000005594.
2
Viral myocarditis: From molecular mechanisms to therapeutic prospects.病毒性心肌炎:从分子机制到治疗前景。
Eur J Pharmacol. 2024 Nov 5;982:176935. doi: 10.1016/j.ejphar.2024.176935. Epub 2024 Aug 23.
3
Cardiac involvement in eosinophilic granulomatosis with polyangiitis: acute eosinophilic myocarditis and chronic inflammatory cardiomyopathy.
嗜酸性肉芽肿性多血管炎的心脏受累:急性嗜酸性粒细胞性心肌炎和慢性炎症性心肌病。
Rheumatology (Oxford). 2025 Feb 1;64(2):722-731. doi: 10.1093/rheumatology/keae085.
4
Utility of cardiac magnetic resonance imaging in diagnosing eosinophilic myocarditis in a patient recently recovered from COVID-19: a grand round case report.心脏磁共振成像在诊断近期从 COVID-19 康复患者的嗜酸性粒细胞性心肌炎中的应用:一例临床大查房病例报告
Eur Heart J Case Rep. 2023 Feb 18;7(3):ytad090. doi: 10.1093/ehjcr/ytad090. eCollection 2023 Mar.
5
Drug-Induced Hypersensitivity Syndrome (DIHS)/Drug Reaction With Eosinophilia and Systemic Symptoms (DRESS): Clinical Features and Pathogenesis.药物诱导的超敏反应综合征(DIHS)/伴嗜酸性粒细胞增多和全身症状的药物反应(DRESS):临床特征和发病机制。
J Allergy Clin Immunol Pract. 2022 May;10(5):1155-1167.e5. doi: 10.1016/j.jaip.2022.02.004. Epub 2022 Feb 15.
6
Diagnosis and treatment of eosinophilic myocarditis.嗜酸性粒细胞性心肌炎的诊断与治疗
J Transl Autoimmun. 2021 Sep 2;4:100118. doi: 10.1016/j.jtauto.2021.100118. eCollection 2021.
7
Fulminant Versus Acute Nonfulminant Myocarditis in Patients With Left Ventricular Systolic Dysfunction.暴发性与非暴发性急性心肌炎患者的左心室收缩功能障碍。
J Am Coll Cardiol. 2019 Jul 23;74(3):299-311. doi: 10.1016/j.jacc.2019.04.063.
8
[Chinese experts consensus on the diagnosis and treatment of cardiogenic shock(2018)].《中国心源性休克诊断与治疗专家共识(2018版)》
Zhonghua Xin Xue Guan Bing Za Zhi. 2019 Apr 24;47(4):265-277. doi: 10.3760/cma.j.issn.0253-3758.2019.04.003.
9
Associations with the In-Hospital Survival Following Extracorporeal Membrane Oxygenation in Adult Acute Fulminant Myocarditis.成人急性暴发性心肌炎体外膜肺氧合治疗后院内生存的相关因素
J Clin Med. 2018 Nov 20;7(11):452. doi: 10.3390/jcm7110452.
10
ECMO as an effective rescue therapeutic for fulminant myocarditis complicated with refractory cardiac arrest.体外膜肺氧合作为暴发性心肌炎合并难治性心脏骤停的一种有效抢救治疗手段。
Ther Clin Risk Manag. 2017 Nov 14;13:1507-1511. doi: 10.2147/TCRM.S147845. eCollection 2017.