Suppr超能文献

玻璃体腔内注入空气的气动玻璃体溶解术治疗局限性玻璃体黄斑牵引。

Pneumatic Vitreolysis With Intravitreal Air for Focal Vitreomacular Traction.

作者信息

Seamone Mark E, Rubin Uriel, Grewal Parampal S, Greve Mark

机构信息

Department of Ophthalmology & Visual Sciences, University of Alberta, Edmonton, Alberta, Canada.

出版信息

J Vitreoretin Dis. 2020 Nov 6;5(4):348-353. doi: 10.1177/2474126420962649. eCollection 2021 Jul-Aug.

Abstract

PURPOSE

To determine whether pneumatic vitreolysis with intravitreal air is effective for focal vitreomacular traction (VMT).

METHODS

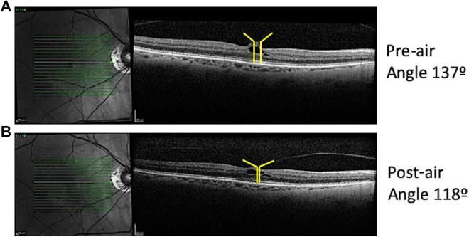
We conducted a retrospective consecutive case series of 20 eyes from 19 individuals with focal VMT who underwent pneumatic vitreolysis with intravitreal air (January 2017 to November 2018). We analyzed patients via spectral-domain optical coherence tomography before intravitreal air injection and at 1 month. The primary outcome measure was release of VMT.

RESULTS

We observed release of VMT in 55% of individuals. An analysis limited to phakic eyes demonstrated release of VMT in 69%, and 65% developed improved best-corrected visual acuity. Individuals with persistent VMT and visual improvement had a significant reduction in angle of vitreoretinal insertion ( < .01), area under VMT ( < .05), and subfoveal cyst area ( < .05).

CONCLUSIONS

Intravitreal air is an effective treatment for focal VMT. In individuals with persistent VMT, visual-acuity improvement was associated with a reduction in overall VMT.

摘要

目的

确定玻璃体腔内注入空气进行气体性玻璃体松解术治疗局限性玻璃体黄斑牵引(VMT)是否有效。

方法

我们对19例局限性VMT患者的20只眼进行了回顾性连续病例系列研究,这些患者于2017年1月至2018年11月接受了玻璃体腔内注入空气的气体性玻璃体松解术。我们在玻璃体腔内注入空气前及术后1个月通过光谱域光学相干断层扫描对患者进行分析。主要观察指标为VMT的解除。

结果

我们观察到55%的患者VMT得到解除。仅对有晶状体眼的分析显示,69%的患者VMT得到解除,65%的患者最佳矫正视力得到改善。VMT持续存在但视力改善的患者,玻璃体视网膜插入角显著减小(P<0.01),VMT下面积显著减小(P<0.05),黄斑中心凹下囊肿面积显著减小(P<0.05)。

结论

玻璃体腔内注入空气是治疗局限性VMT的有效方法。在VMT持续存在的患者中,视力改善与总体VMT的减少有关。

https://cdn.ncbi.nlm.nih.gov/pmc/blobs/423b/9976235/01994a917928/10.1177_2474126420962649-fig1.jpg

文献检索

告别复杂PubMed语法,用中文像聊天一样搜索,搜遍4000万医学文献。AI智能推荐,让科研检索更轻松。

立即免费搜索

文件翻译

保留排版,准确专业,支持PDF/Word/PPT等文件格式,支持 12+语言互译。

免费翻译文档

深度研究

AI帮你快速写综述,25分钟生成高质量综述,智能提取关键信息,辅助科研写作。

立即免费体验