Suppr超能文献

一种用于从人血清中富集低丰度蛋白质以发现血清生物标志物的实验工作流程。

An experimental workflow for enrichment of low abundant proteins from human serum for the discovery of serum biomarkers.

作者信息

Sarihan Mehmet, Bal Albayrak Merve Gulsen, Kasap Murat, Akpinar Gurler, Kocyigit Elifcan

机构信息

Kocaeli University Medical School, Department of Medical Biology/Proteomics Laboratory, 41001, Umuttepe, Kocaeli, Turkey.

出版信息

J Biol Methods. 2023 Feb 7;10:e99010001. doi: 10.14440/jbm.2023.394. eCollection 2023.

Abstract

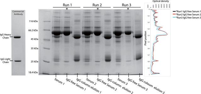
Serum contains proteins that possess important information about diseases and their progression. Unfortunately, these proteins, which carry the information in the serum are in low abundance and are masked by other serum proteins that are in high abundance. Such masking prevents their identification and quantification. Therefore, removal of high abundance proteins is required to enrich, identify, and quantify the low abundance proteins. Immunodepletion methods are often used for this purpose, but there are limitations in their use because of off-target effects and high costs. Here we presented a robust, reproducible and cost-effective experimental workflow to remove immunoglobulins and albumin from serum with high efficiency. The workflow did not suffer from such limitations and enabled identification of 681 low abundance proteins that were otherwise undetectable in the serum. The identified low abundance proteins belonged to 21 different protein classes, namely the immunity-related proteins, modulators of protein-binding activity, and protein-modifying enzymes. They also played roles in various metabolic events, such as integrin signalling, inflammation-mediated signalling, and cadherin signalling. The presented workflow can be adapted to remove abundant proteins from other types of biological material and to provide considerable enrichment for low-abundance proteins.

摘要

血清中含有携带有关疾病及其进展重要信息的蛋白质。不幸的是,这些在血清中携带信息的蛋白质丰度较低,并且被其他丰度较高的血清蛋白所掩盖。这种掩盖妨碍了它们的识别和定量。因此,需要去除高丰度蛋白质以富集、识别和定量低丰度蛋白质。免疫去除方法常用于此目的,但由于脱靶效应和高成本,其使用存在局限性。在此,我们展示了一种稳健、可重复且具有成本效益的实验流程,可高效地从血清中去除免疫球蛋白和白蛋白。该流程不存在此类局限性,能够识别出681种在血清中原本无法检测到的低丰度蛋白质。所识别出的低丰度蛋白质属于21种不同的蛋白质类别,即免疫相关蛋白、蛋白质结合活性调节剂和蛋白质修饰酶。它们还在各种代谢事件中发挥作用,如整合素信号传导、炎症介导的信号传导和钙黏蛋白信号传导。所展示的流程可适用于从其他类型的生物材料中去除丰度高的蛋白质,并为低丰度蛋白质提供显著的富集。

https://cdn.ncbi.nlm.nih.gov/pmc/blobs/fbe8/10062475/ae425cde59ca/jbm-10-e99010001-g001.jpg

文献AI研究员

20分钟写一篇综述,助力文献阅读效率提升50倍。

立即体验

用中文搜PubMed

大模型驱动的PubMed中文搜索引擎

马上搜索

文档翻译

学术文献翻译模型,支持多种主流文档格式。

立即体验