Suppr超能文献

胆总管癌肉瘤:一例报告。

Carcinosarcoma of common bile duct: A case report.

作者信息

Yao Yao, Xiang Hong-Gang, Jin Lei, Xu Ming, Mao Shu-Yan

机构信息

Division of Gastroenterology and Hepatology, Shanghai Pudong New Area People's Hospital, Shanghai University of Medicine and Health Sciences, Shanghai 200120, China.

Division of General Surgery, Shanghai Pudong New Area People's Hospital, Shanghai University of Medicine and Health Sciences, Shanghai 200120, China.

出版信息

World J Gastrointest Oncol. 2023 Mar 15;15(3):562-570. doi: 10.4251/wjgo.v15.i3.562.

Abstract

BACKGROUND

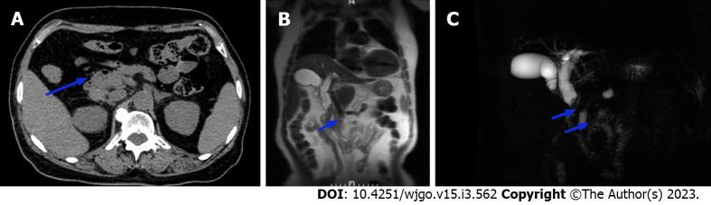
Carcinosarcomas of the common bile duct (CBD) are an extremely rare finding in the clinical setting. Based on a review of 12 literatures, 3 cases had the imaging features of ossification. Carcinosarcomas are prone to distant metastasis, as they possess clinical features of both carcinoma and sarcoma, and generally have with a poor prognosis. Due to the small number of cases reported, clinical experience in the diagnosis and treatment of the disease is lacking.

CASE SUMMARY

The patient was a 75-year-old woman who had experienced recurrent chills with nausea and vomiting for 3 mo. Computed tomography, magnetic resonance imaging, endoscopic ultrasonography and endoscopic retrograde cholangiopancreatography led to the diagnosis of malignant tumor of the CBD. The patient ultimately underwent cholecystectomy, CBD resection, and choledochojejunostomy. Postoperative pathological examination revealed carcinosarcoma of the CBD, and the latest follow-up showed that the patient is recovering well. Based on previous case reports, some carcinosarcoma has ossification characteristics in imaging. If it is misdiagnosed as biliary calculi, the use of laser lithotripsy in surgery may lead to tumor diffusion. Choledochoscopy and narrow band staining of mucosa are very important for diagnosis.

CONCLUSION

We herein present a rare case of carcinosarcomas of the CBD, we found the tumours may have imaging features of polypoid growth and ossification only when the sarcomal components are bone differentiation, while show soft tissue shadow when non bone differentiation. Confirmation of diagnosis depends greatly upon postoperative pathological examination and the adjuvant treatment has not been established, which leads to the poor prognosis.

摘要

背景

胆总管癌肉瘤在临床中极为罕见。通过对12篇文献的回顾,有3例具有骨化的影像学特征。癌肉瘤易于发生远处转移,因为它们兼具癌和肉瘤的临床特征,且总体预后较差。由于报道的病例数量较少,缺乏该疾病诊断和治疗的临床经验。

病例摘要

患者为一名75岁女性,反复寒战伴恶心、呕吐3个月。计算机断层扫描、磁共振成像、内镜超声检查和内镜逆行胰胆管造影检查确诊为胆总管恶性肿瘤。患者最终接受了胆囊切除术、胆总管切除术和胆总管空肠吻合术。术后病理检查显示为胆总管癌肉瘤,最新随访显示患者恢复良好。根据既往病例报告,部分癌肉瘤在影像学上具有骨化特征。若误诊为胆石症,手术中使用激光碎石可能导致肿瘤扩散。胆管镜检查和黏膜窄带染色对诊断非常重要。

结论

我们在此报告一例罕见的胆总管癌肉瘤病例,发现仅当肉瘤成分呈骨分化时肿瘤可能具有息肉样生长和骨化的影像学特征,而非骨分化时则表现为软组织影。诊断的确认很大程度上依赖于术后病理检查,且辅助治疗尚未确立,这导致了预后较差。

https://cdn.ncbi.nlm.nih.gov/pmc/blobs/c14c/10052659/484eac5bc4db/WJGO-15-562-g001.jpg

相似文献

1
Carcinosarcoma of common bile duct: A case report.
World J Gastrointest Oncol. 2023 Mar 15;15(3):562-570. doi: 10.4251/wjgo.v15.i3.562.
2
Duplication of the extrahepatic bile duct: A case report and review of the literatures.
Medicine (Baltimore). 2018 Feb;97(8):e9953. doi: 10.1097/MD.0000000000009953.
3
Carcinosarcoma of the extrahepatic bile duct.
J Hepatobiliary Pancreat Surg. 2005;12(4):328-31. doi: 10.1007/s00534-005-0988-x.
4
A rare case of symptomatic grossly-visible biliary intraepithelial neoplasia mimicking cholangiocarcinoma.
World J Surg Oncol. 2019 Nov 11;17(1):191. doi: 10.1186/s12957-019-1737-y.
5
Intrahepatic Carcinosarcoma With Cholangiocarcinoma Elements and Prominent Bile Duct Spread.
Int J Surg Pathol. 2019 Dec;27(8):900-906. doi: 10.1177/1066896919855766. Epub 2019 Jun 17.
6
Gallbladder carcinosarcoma accompanied with bile duct tumor thrombi: A case report.
Oncol Lett. 2013 Jun;5(6):1809-1812. doi: 10.3892/ol.2013.1289. Epub 2013 Apr 4.
7
Undifferentiated high-grade pleomorphic sarcoma of the common bile duct: A case report and review of literature.
World J Gastrointest Oncol. 2024 May 15;16(5):2253-2260. doi: 10.4251/wjgo.v16.i5.2253.
9
Duplication of the common bile duct manifesting as recurrent pyogenic cholangitis: A case report.
World J Gastroenterol. 2021 Jan 28;27(4):371-376. doi: 10.3748/wjg.v27.i4.371.
10
Ascaris-mimicking common bile duct stone: A case report.
World J Clin Cases. 2020 Oct 6;8(19):4499-4504. doi: 10.12998/wjcc.v8.i19.4499.

引用本文的文献

1
First report on establishment and characterization of the extrahepatic cholangiocarcinoma sarcoma cell line CBC2T-2.
World J Gastroenterol. 2023 Nov 7;29(41):5683-5698. doi: 10.3748/wjg.v29.i41.5683.
2
Sarcomatoid carcinoma of the common bile duct presenting as painless jaundice.
BMJ Case Rep. 2023 Nov 9;16(11):e257167. doi: 10.1136/bcr-2023-257167.

本文引用的文献

1
Experience of the pancreas duodenectomy for so-called carcinosarcoma of the common bile duct:a case report and review of literature.
Int Cancer Conf J. 2021 Jan 3;10(2):134-138. doi: 10.1007/s13691-020-00462-y. eCollection 2021 Apr.
2
Carcinosarcoma of the extrahepatic bile duct: an unusual cause of obstructive jaundice.
Rev Esp Enferm Dig. 2021 Apr;113(4):298. doi: 10.17235/reed.2020.7087/2020.
3
Hepatobiliary and pancreatic: A case of stone-like carcinosarcoma of the common bile duct.
J Gastroenterol Hepatol. 2020 May;35(5):711. doi: 10.1111/jgh.14967. Epub 2020 Jan 14.
4
Intrahepatic Carcinosarcoma With Cholangiocarcinoma Elements and Prominent Bile Duct Spread.
Int J Surg Pathol. 2019 Dec;27(8):900-906. doi: 10.1177/1066896919855766. Epub 2019 Jun 17.
5
Epithelial-to-mesenchymal transition in cancer: complexity and opportunities.
Front Med. 2018 Aug;12(4):361-373. doi: 10.1007/s11684-018-0656-6. Epub 2018 Jul 24.
6
[Clinic features of laryngeal carcinosarcoma and sarcomatoid carcinoma].
Zhonghua Er Bi Yan Hou Tou Jing Wai Ke Za Zhi. 2017 May 7;52(5):385-387. doi: 10.3760/cma.j.issn.1673-0860.2017.05.013.
7
Carcinosarcoma of the bile duct: a case report and review of literature.
Hepatobiliary Surg Nutr. 2016 Feb;5(1):72-8. doi: 10.3978/j.issn.2304-3881.2015.06.09.
8
9
Carcinosarcoma of the Extrahepatic Bile Duct Presenting with Stone-like Radiological Findings.
Intern Med. 2015;54(14):1747-51. doi: 10.2169/internalmedicine.54.3082. Epub 2015 Jul 15.

文献AI研究员

20分钟写一篇综述,助力文献阅读效率提升50倍。

立即体验

用中文搜PubMed

大模型驱动的PubMed中文搜索引擎

马上搜索

文档翻译

学术文献翻译模型,支持多种主流文档格式。

立即体验