• 文献检索
  • 文档翻译
  • 深度研究
  • 学术资讯
  • Suppr Zotero 插件Zotero 插件
  • 邀请有礼
  • 套餐&价格
  • 历史记录
应用&插件
Suppr Zotero 插件Zotero 插件浏览器插件Mac 客户端Windows 客户端微信小程序
定价
高级版会员购买积分包购买API积分包
服务
文献检索文档翻译深度研究API 文档MCP 服务
关于我们
关于 Suppr公司介绍联系我们用户协议隐私条款
关注我们

Suppr 超能文献

核心技术专利:CN118964589B侵权必究
粤ICP备2023148730 号-1Suppr @ 2026

文献检索

告别复杂PubMed语法,用中文像聊天一样搜索,搜遍4000万医学文献。AI智能推荐,让科研检索更轻松。

立即免费搜索

文件翻译

保留排版,准确专业,支持PDF/Word/PPT等文件格式,支持 12+语言互译。

免费翻译文档

深度研究

AI帮你快速写综述,25分钟生成高质量综述,智能提取关键信息,辅助科研写作。

立即免费体验

肠内营养管拔除过程中食管隐匿性穿孔:一例报告及文献复习

Occult Perforation of the Esophagus during Removal of an Enteral Feeding Tube: A Case Report and Literature Review.

作者信息

Alabdallat Mohammad, Strandvik Gustav, Afifi Ibrahim, Peralta Ruben, Parchani Ashok, El-Menyar Ayman, Rizoli Sandro, Al-Thani Hassan

机构信息

Department of Surgery, Trauma Surgery, Hamad Medical Corporation, Doha, Qatar.

Department of Surgery, Universidad Nacional Pedro Henriquez Urena, Santo Domingo, Dominican Republic.

出版信息

Case Rep Surg. 2023 Mar 29;2023:4230158. doi: 10.1155/2023/4230158. eCollection 2023.

DOI:10.1155/2023/4230158
PMID:37034008
原文链接:https://pmc.ncbi.nlm.nih.gov/articles/PMC10076110/
Abstract

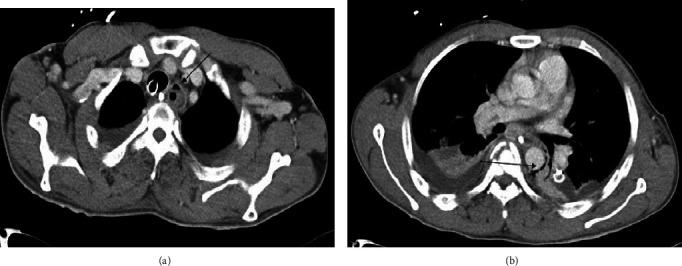
. The use of oral or nasal route for enteral feeding is a standard practice in intensive care patients with a safe profile in general. However, complications associated with the insertion of a nasogastric (NGT) or orogastric tube (OGT) are common in the medical literature compared to the removal of such tubes. . We presented a 38-year-old male who was involved in a motor-vehicle collision and found with low Glasgow Coma Scale outside his vehicle. He had polytrauma and was intubated-and commenced on enteral feeding via an OGT. Esophageal bezoar developed within a few days around the feeding tube, resulting in significant force being required to remove it, which was complicated by esophageal perforation. The esophageal injury was treated conservatively with uneventful recovery. . Although limited case reports of esophageal enteral feeding bezoar formation do exist in the literature, we believe that this is the first case report of esophageal perforation due to the forceful removal of a wedged OGT secondary to esophageal bezoar formation. Morbidity associated with OGT/NGT is not common and may require a high index of suspicion to be identified. This is especially true if resistance is appreciated while removing the NGT/OGT. Gastroenterology consultation is recommended as early as possible to detect and manage any complications, however, their role was very limited in such stable case. In addition, early computed tomography (CT) can be considered for timely recognition of esophageal perforation. Non-operative management may be considered in stable patients, especially if the leak is in the cervical portion of the esophagus. Finally, prevention is better than cure, so being diligent in confirming NGT/OGT position, both radiologically and by measuring the tube length at the nostril/mouth, is the key to avoid misplacement and complication. This case raises the awareness of physician for such preventable iatrogenic event.

摘要

在重症监护患者中,经口或经鼻途径进行肠内喂养是一种普遍的标准做法,总体安全性良好。然而,与鼻胃管(NGT)或口胃管(OGT)插入相关的并发症在医学文献中比拔除此类导管更为常见。我们报告了一名38岁男性,他遭遇机动车碰撞,在车外被发现格拉斯哥昏迷量表评分较低。他有多发性创伤,经口气管插管并通过OGT开始肠内喂养。在喂养管周围几天内形成了食管粪石,导致拔除时需要很大力气,结果并发食管穿孔。食管损伤经保守治疗后顺利康复。虽然文献中确实存在关于食管肠内喂养粪石形成的有限病例报告,但我们认为这是首例因食管粪石形成导致OGT嵌顿后强行拔除而引起食管穿孔的病例报告。与OGT/NGT相关的发病率并不常见,可能需要高度怀疑才能识别。在拔除NGT/OGT时如果感觉到阻力,情况尤其如此。建议尽早进行胃肠病学咨询以检测和处理任何并发症,但在这种稳定的病例中其作用非常有限。此外,可以考虑早期计算机断层扫描(CT)以便及时识别食管穿孔。对于稳定的患者可以考虑非手术治疗,特别是如果漏口在食管颈部。最后,预防胜于治疗,所以通过影像学检查并测量鼻孔/口腔处的导管长度来确认NGT/OGT位置,是避免误置和并发症的关键。该病例提高了医生对这种可预防医源性事件的认识。

https://cdn.ncbi.nlm.nih.gov/pmc/blobs/e974/10076110/220bc9876f09/CRIS2023-4230158.003.jpg
https://cdn.ncbi.nlm.nih.gov/pmc/blobs/e974/10076110/b217f3663f2b/CRIS2023-4230158.001.jpg
https://cdn.ncbi.nlm.nih.gov/pmc/blobs/e974/10076110/20d52cb3a632/CRIS2023-4230158.002.jpg
https://cdn.ncbi.nlm.nih.gov/pmc/blobs/e974/10076110/220bc9876f09/CRIS2023-4230158.003.jpg
https://cdn.ncbi.nlm.nih.gov/pmc/blobs/e974/10076110/b217f3663f2b/CRIS2023-4230158.001.jpg
https://cdn.ncbi.nlm.nih.gov/pmc/blobs/e974/10076110/20d52cb3a632/CRIS2023-4230158.002.jpg
https://cdn.ncbi.nlm.nih.gov/pmc/blobs/e974/10076110/220bc9876f09/CRIS2023-4230158.003.jpg

相似文献

1
Occult Perforation of the Esophagus during Removal of an Enteral Feeding Tube: A Case Report and Literature Review.肠内营养管拔除过程中食管隐匿性穿孔:一例报告及文献复习
Case Rep Surg. 2023 Mar 29;2023:4230158. doi: 10.1155/2023/4230158. eCollection 2023.
2
A Case Report of Esophageal Perforation: Complications of Orogastric Tube Placement.一例食管穿孔病例报告:鼻胃管置入的并发症
Cureus. 2023 Jan 9;15(1):e33535. doi: 10.7759/cureus.33535. eCollection 2023 Jan.
3
Perforation of abdominal esophagus following nasogastric feeding tube intubation: A case report.鼻胃饲管插管后腹部食管穿孔:一例报告
Int J Surg Case Rep. 2018;45:67-71. doi: 10.1016/j.ijscr.2018.03.007. Epub 2018 Mar 15.
4
Retrospective Cohort Study on the Optimal Timing of Orogastric Tube/Nasogastric Tube Insertion in Infants With Pyloric Stenosis.回顾性队列研究:婴儿幽门狭窄经口胃管/鼻胃管插入的最佳时机。
Anesth Analg. 2019 Oct;129(4):1079-1086. doi: 10.1213/ANE.0000000000003805.
5
[Nasogastric tube obstruction due to enteral feeding bezoar].[肠内营养性胃石致鼻胃管梗阻]
Nutr Hosp. 2023 Dec 14;40(6):1298-1300. doi: 10.20960/nh.04669.
6
Esophageal bezoar formation due to solidification of enteral feed administered through a malpositioned nasogastric tube: case report and review of the literature.经位置不当的鼻胃管给予的肠内营养凝固导致食管粪石形成:病例报告及文献复习
Acta Anaesthesiol Taiwan. 2012 Dec;50(4):188-90. doi: 10.1016/j.aat.2012.12.002. Epub 2013 Jan 8.
7
Esophageal obstruction due to enteral feed bezoar: A case report and literature review.肠内营养性胃石导致的食管梗阻:一例报告及文献综述
World J Gastrointest Endosc. 2010 Oct 16;2(10):352-6. doi: 10.4253/wjge.v2.i10.352.
8
A novel technique for NGT fixation: Secure, simple, and safe.一种新的 NGT 固定技术:安全、简单、可靠。
J Pediatr Surg. 2021 Nov;56(11):2125-2126. doi: 10.1016/j.jpedsurg.2021.06.009. Epub 2021 Jul 15.
9
The Forgotten Complication of Nasogastric Tube Insertion: Esophageal Perforation and Associated Hydropneumothorax and Hydropneumoperitoneum.鼻胃管插入术被遗忘的并发症:食管穿孔及相关的液气胸和气腹
Cureus. 2023 May 8;15(5):e38699. doi: 10.7759/cureus.38699. eCollection 2023 May.
10
Delayed Adult Gastric Perforation Following Insertion of a Feeding Nasogastric Tube.鼻饲管置入后迟发性成人胃穿孔
Cureus. 2021 Nov 9;13(11):e19411. doi: 10.7759/cureus.19411. eCollection 2021 Nov.

本文引用的文献

1
Outcome after iatrogenic esophageal perforation.医源性食管穿孔后的结局
Scand J Gastroenterol. 2019 Feb;54(2):140-144. doi: 10.1080/00365521.2019.1575464. Epub 2019 Mar 11.
2
Bezoar.胃石
J Emerg Med. 2013 Oct;45(4):615-6. doi: 10.1016/j.jemermed.2013.02.003. Epub 2013 Jul 26.
3
Esophageal bezoar formation due to solidification of enteral feed administered through a malpositioned nasogastric tube: case report and review of the literature.经位置不当的鼻胃管给予的肠内营养凝固导致食管粪石形成:病例报告及文献复习
Acta Anaesthesiol Taiwan. 2012 Dec;50(4):188-90. doi: 10.1016/j.aat.2012.12.002. Epub 2013 Jan 8.
4
A safe treatment option for esophageal bezoars.食管粪石的一种安全治疗选择。
Int J Surg Case Rep. 2012;3(8):366-7. doi: 10.1016/j.ijscr.2012.04.008. Epub 2012 Apr 24.
5
Implementation of the evidence review on best practice for confirming the correct placement of nasogastric tube in patients in an acute care hospital.在急症医院中对确认鼻胃管正确置管的最佳实践进行证据回顾的实施。
Int J Evid Based Healthc. 2011 Mar;9(1):51-60. doi: 10.1111/j.1744-1609.2010.00200.x.
6
Esophageal obstruction due to enteral feed bezoar: A case report and literature review.肠内营养性胃石导致的食管梗阻:一例报告及文献综述
World J Gastrointest Endosc. 2010 Oct 16;2(10):352-6. doi: 10.4253/wjge.v2.i10.352.
7
Penetrating injuries to the cervical oesophagus: is routine exploration mandatory?颈段食管穿透伤:常规探查是否必要?
Ann R Coll Surg Engl. 2003 May;85(3):162-6. doi: 10.1308/003588403321661307.
8
Bezoars: classification, pathophysiology, and treatment.胃石:分类、病理生理学及治疗
Am J Gastroenterol. 1988 May;83(5):476-8.
9
An unusual oesophageal obstruction during nasogastric feeding.鼻胃管喂养期间出现的罕见食管梗阻。
Br Med J (Clin Res Ed). 1986 Sep 6;293(6547):596-7. doi: 10.1136/bmj.293.6547.596.
10
Oesophageal obstruction during nasogastric feeding.
Intensive Care Med. 1991;17(5):302-3. doi: 10.1007/BF01713943.