Katsuki Masahito, Kawamura Shin, Kashiwagi Kenta, Tachikawa Senju, Koh Akihito
Department of Neurosurgery, Itoigawa General Hospital, Itoigawa, JPN.
Department of Neurology, Itoigawa General Hospital, Itoigawa, JPN.
Cureus. 2023 Mar 8;15(3):e35913. doi: 10.7759/cureus.35913. eCollection 2023 Mar.
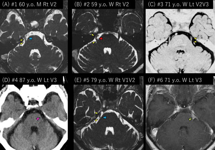
Background Surgical treatment for trigeminal neuralgia (TN) sometimes becomes difficult. Erenumab, an anti-calcitonin gene-related peptide (CGRP)-receptor monoclonal antibody, is used for migraine and potentially has efficacy for TN. Method We retrospectively investigated six migraine patients with comorbidity treated with 70 mg of erenumab. Monthly headache days and a numerical rating scale (NRS) of TN were evaluated before, one, and three months after erenumab administration. Results Before being treated with 70 mg of erenumab, the six migraine patients with comorbid TN had taken at least one sort of preventative medication, but it had been ineffective. During the three-month erenumab use, previous medications were continued. The median age was 71 years (range 59-87). The six patients (five females and one male) had episodic migraine. Three had TN due to vessels, one had TN due to a tumor, one had TN without neurovascular compression, and one had an undetermined etiology. Five (83%) of the six patients reported improved NRS of TN. The median NRS of TN before, one, and three months after treatment were 8 (7-10), 3.5 (0-10), and 2 (0-5, n=4). Monthly headache days were 4 (4-10), 2.5 (0-4), and 1 (1-2, n=4). There were no side effects of erenumab. Conclusion Surgical treatment sometimes cannot be performed for those with TN. Our findings were preliminary and a bigger sample size is required for this study to draw firmer conclusions. However, it is possible, although rare, that there are migraine patients for whom the NRS of comorbid TN improves with the use of erenumab, an anti-CGRP receptor monoclonal antibody.
背景 三叉神经痛(TN)的外科治疗有时会变得困难。erenumab是一种抗降钙素基因相关肽(CGRP)受体单克隆抗体,用于治疗偏头痛,可能对TN也有效。方法 我们回顾性研究了6例合并偏头痛的患者,他们接受了70mg的erenumab治疗。在erenumab给药前、给药1个月和3个月后,评估每月头痛天数和TN的数字评分量表(NRS)。结果 在接受70mg的erenumab治疗前,这6例合并TN的偏头痛患者至少服用过一种预防性药物,但均无效。在使用erenumab的3个月期间,继续使用先前的药物。中位年龄为71岁(范围59 - 87岁)。这6例患者(5名女性和1名男性)患有发作性偏头痛。3例因血管因素导致TN,1例因肿瘤导致TN,1例TN无神经血管压迫,1例病因不明。6例患者中有5例(83%)报告TN的NRS有所改善。治疗前、治疗1个月和3个月后TN的中位NRS分别为8(7 - 10)、3.5(0 - 10)和2(0 - 5,n = 4)。每月头痛天数分别为4(4 - 10)、2.5(0 - 4)和1(1 - 2,n = 4)。erenumab没有副作用。结论 对于TN患者,有时无法进行手术治疗。我们的研究结果是初步的,需要更大的样本量才能得出更可靠的结论。然而,虽然罕见,但确实有可能存在合并TN的偏头痛患者,使用抗CGRP受体单克隆抗体erenumab后,其合并TN的NRS会得到改善。