Suppr超能文献

一例罕见的由……引起的鼻腔真菌球病例。 (你提供的原文不完整,due to后面缺少具体内容)

A rare case of a nasal cavity fungus ball due to .

作者信息

Nur Kahraman Emine, Evirgen Şehrazat, Badri Abed Ahmed, Elif Korcan Safiye, Gül Efeoğlu Koca Cansu

机构信息

Department of Oral and Maxillofacial Radiology, Faculty of Dentistry, Istinye University, Istanbul, Turkey.

Department of Oral and Maxillofacial Radiology, Faculty of Dentistry, Usak University, Usak, Turkey.

出版信息

Curr Med Mycol. 2022 Sep;8(3):39-43. doi: 10.18502/cmm.8.3.11213.

Abstract

BACKGROUND AND PURPOSE

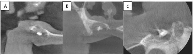
Fungus Ball (FB) is a non-invasive fungal infection caused mainly by species. It can occur after root canal treatments are applied to the teeth adjacent to the maxillary sinus. These balls are commonly seen in the paranasal sinuses and rarely observed in the nasal cavity. This report attempted in to highlight such a rare case of fungal infection which requires accurate observation. Moreover, it highlights the importance of careful microbiological and histopathological examinations that were combined with imaging and can lead to a definitive diagnosis.

CASE REPORT

Herein, we report a rare case of a FB found in the vicinity of the nasal cavity of a 73-year-old male patient. Microbiological examination supported by radiographic and histopathological results indicated that the FB is due to . Excised surgery was done to the FB area, and the patient was referred to the post-operation room with the proper recommendations. After the wound healed, the total denture was performed as requested by the patient, and his overall oral health was improved.

CONCLUSION

In this article, we report the first case of a rare FB in the vicinity of the nasal cavity of a 73-year-old male patient. The appropriate investigation is an essential step in the diagnostic process for these infections and requires effective communication and collaboration.

摘要

背景与目的

真菌球(FB)是一种主要由 菌种引起的非侵袭性真菌感染。它可发生于对上颌窦相邻牙齿进行根管治疗之后。这些球状物常见于鼻窦,在鼻腔中很少见。本报告试图突出这样一例需要精确观察的罕见真菌感染病例。此外,它强调了结合影像学检查并能导致明确诊断的仔细微生物学和组织病理学检查的重要性。

病例报告

在此,我们报告一例在一名73岁男性患者鼻腔附近发现真菌球的罕见病例。影像学和组织病理学结果支持的微生物学检查表明该真菌球是由 引起的。对真菌球区域进行了切除手术,并将患者转至术后病房并给出适当建议。伤口愈合后,应患者要求制作了全口义齿,其整体口腔健康状况得到改善。

结论

在本文中,我们报告了首例在一名73岁男性患者鼻腔附近发现罕见真菌球的病例。适当的检查是这些感染诊断过程中的关键步骤,需要有效的沟通与协作。

https://cdn.ncbi.nlm.nih.gov/pmc/blobs/152a/10084490/8b40be38a2a6/CMM-8-39-g001.jpg

相似文献

1
A rare case of a nasal cavity fungus ball due to .
Curr Med Mycol. 2022 Sep;8(3):39-43. doi: 10.18502/cmm.8.3.11213.
2
A Case of Fungal Maxillary Sinusitis Extending to the Contralateral Side Through the Nasal Septum.
Cureus. 2023 May 26;15(5):e39548. doi: 10.7759/cureus.39548. eCollection 2023 May.
3
Paranasal Sinus Fungus Ball, Anatomical Variations and Dental Pathologies: Is There Any Relation?
Turk Arch Otorhinolaryngol. 2022 Mar;60(1):23-28. doi: 10.4274/tao.2022.2021-11-8. Epub 2022 May 12.
4
What is the Relationship between the Localization of Maxillary Fungal Balls and Intranasal Anatomic Variations?
Clin Exp Otorhinolaryngol. 2012 Dec;5(4):213-7. doi: 10.3342/ceo.2012.5.4.213. Epub 2012 Nov 13.
6
[Immunohistochemical diagnosis of fungus ball in paranasal sinuses].
Zhonghua Er Bi Yan Hou Ke Za Zhi. 2004 Sep;39(9):546-8.
7
Maxillary fungus ball in a diabetic patient. An odontogenic origin.
Ann Ital Chir. 2020 Jul 24;9:S2239253X20033174.
8
Paranasal sinus fungus balls.
Head Neck. 1997 Sep;19(6):481-6. doi: 10.1002/(sici)1097-0347(199709)19:6<481::aid-hed4>3.0.co;2-v.
9
[The clinical characters and acoustic rhinometry analyses of 98 cases fugal ball sinusitis].
Lin Chuang Er Bi Yan Hou Tou Jing Wai Ke Za Zhi. 2011 Sep;25(17):783-5.
10
Evaluation of the prevalence and specificities of asymptomatic paranasal sinus aspergillosis: retrospective study of 59 cases.
Eur Ann Otorhinolaryngol Head Neck Dis. 2015 Feb;132(1):19-23. doi: 10.1016/j.anorl.2013.10.006. Epub 2015 Jan 5.

引用本文的文献

1
Nasal cavity fungus ball discovered accidentally: A case report.
World J Clin Cases. 2025 Feb 16;13(5):100158. doi: 10.12998/wjcc.v13.i5.100158.

本文引用的文献

2
Aspergillus fumigatus and Aspergillosis in 2019.
Clin Microbiol Rev. 2019 Nov 13;33(1). doi: 10.1128/CMR.00140-18. Print 2019 Dec 18.
4
Fungus Ball of the Maxillary Sinus-Modern Treatment by Osteoplastic Approach and Functional Endoscopic Sinus Surgery.
J Oral Maxillofac Surg. 2019 Mar;77(3):546-554. doi: 10.1016/j.joms.2018.10.010. Epub 2018 Oct 24.
6
A retrospective analysis of 538 sinonasal fungus ball cases treated at a single tertiary medical center in Korea (1996-2015).
Int Forum Allergy Rhinol. 2017 Nov;7(11):1070-1075. doi: 10.1002/alr.22007. Epub 2017 Aug 26.
7
Fungus ball in the nasal cavity mimicking a rhinolith.
BMJ Case Rep. 2016 Jun 28;2016:bcr2016215490. doi: 10.1136/bcr-2016-215490.
8
Aspergillus fumigatus and related species.
Cold Spring Harb Perspect Med. 2014 Nov 6;5(2):a019786. doi: 10.1101/cshperspect.a019786.
9
Incidental 'ethmoid sinolith'--an unusual cause of frontal recess obstruction.
BMJ Case Rep. 2014 Mar 31;2014:bcr2014204157. doi: 10.1136/bcr-2014-204157.
10
Radiological aspect of fungus ball within a mucocele of the sphenoid sinus.
JBR-BTR. 2013 Nov-Dec;96(6):372-4. doi: 10.5334/jbr-btr.465.

文献AI研究员

20分钟写一篇综述,助力文献阅读效率提升50倍。

立即体验

用中文搜PubMed

大模型驱动的PubMed中文搜索引擎

马上搜索

文档翻译

学术文献翻译模型,支持多种主流文档格式。

立即体验