Suppr超能文献

勒米尔综合征:一把隐藏的匕首。

Lemierre's Syndrome: A Cloaked Dagger.

作者信息

Osifo Samuelson E, Umolu Akhabue G, Perera Wayomi R, Howlett David C

机构信息

Surgery, University Hospitals Sussex NHS Foundation Trust, Brighton, GBR.

Otolaryngology-Head and Neck Surgery, East Sussex Healthcare NHS Trust, Eastbourne, GBR.

出版信息

Cureus. 2023 Mar 13;15(3):e36087. doi: 10.7759/cureus.36087. eCollection 2023 Mar.

Abstract

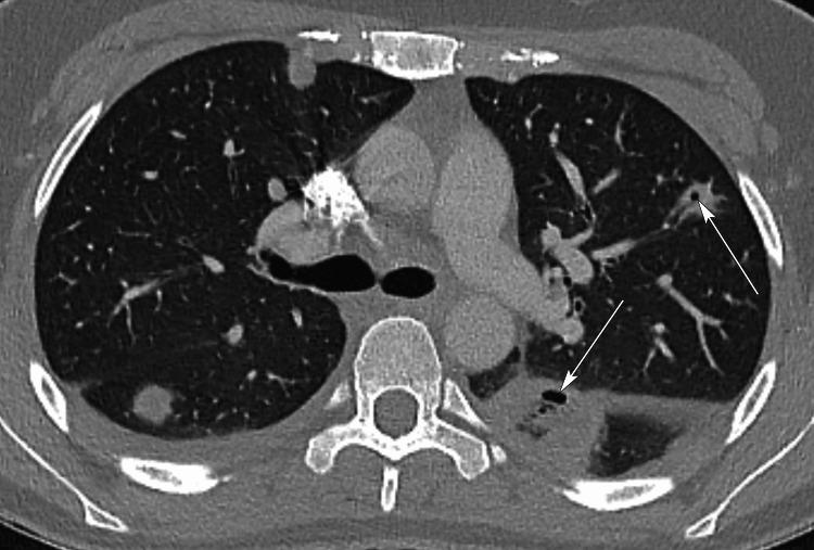
Lemierre's syndrome is a condition characterized by septicemia, with bacteremia, thrombophlebitis of the internal jugular vein (IJV), and septic embolization to distant organs following a recent upper respiratory infection (URI). an anaerobic Gram-negative rod, has been mostly implicated as the causative organism of this condition that tends to affect healthy teenagers and young adults. While once regarded as a disease of old, it has seen a resurgence in recent times, possibly due to antibiotic stewardship and current trends of reduced antibiotic use for URIs. It is important that the modern physician has a high index of suspicion, as well as the characteristic presentation of this potentially fatal illness. Current treatment guidelines are centered on the use of appropriate antibiotics, drainage of purulent collections when possible, and, in some situations, anticoagulants have been utilized. This study describes a case of a young lady who presented with symptoms of chest pain and deteriorating oxygen saturations following recent treatment for acute tonsillitis.

摘要

勒米尔综合征是一种以败血症为特征的病症,伴有菌血症、颈内静脉血栓性静脉炎,以及近期上呼吸道感染后发生的远处器官脓毒性栓塞。一种厌氧革兰氏阴性杆菌,大多被认为是这种倾向于影响健康青少年和年轻人的病症的致病微生物。虽然它曾一度被视为一种老年疾病,但近年来又有所复发,可能是由于抗生素管理以及目前对上呼吸道感染减少使用抗生素的趋势。现代医生必须高度怀疑,以及了解这种潜在致命疾病的特征性表现,这一点很重要。目前的治疗指南以使用适当的抗生素、尽可能引流脓性分泌物为中心,在某些情况下,还会使用抗凝剂。本研究描述了一名年轻女性的病例,她在近期接受急性扁桃体炎治疗后出现胸痛症状且氧饱和度不断下降。

https://cdn.ncbi.nlm.nih.gov/pmc/blobs/3aef/10096120/833e98cd95b1/cureus-0015-00000036087-i01.jpg

文献AI研究员

20分钟写一篇综述,助力文献阅读效率提升50倍。

立即体验

用中文搜PubMed

大模型驱动的PubMed中文搜索引擎

马上搜索

文档翻译

学术文献翻译模型,支持多种主流文档格式。

立即体验