Suppr超能文献

坏死梭杆菌败血症在免疫功能正常个体中导致 Lemierre 综合征:一例报告

Fusobacterium necrophorum Septicemia Leading to Lemierre's Syndrome in an Immunocompetent Individual: A Case Report.

作者信息

Surapaneni Balarama K, Omar Hanad, Iguina Michele M, Suarez Manuel

机构信息

Internal Medicine, Aventura Hospital and Medical Center, Aventura, USA.

出版信息

Cureus. 2020 Mar 28;12(3):e7443. doi: 10.7759/cureus.7443.

Abstract

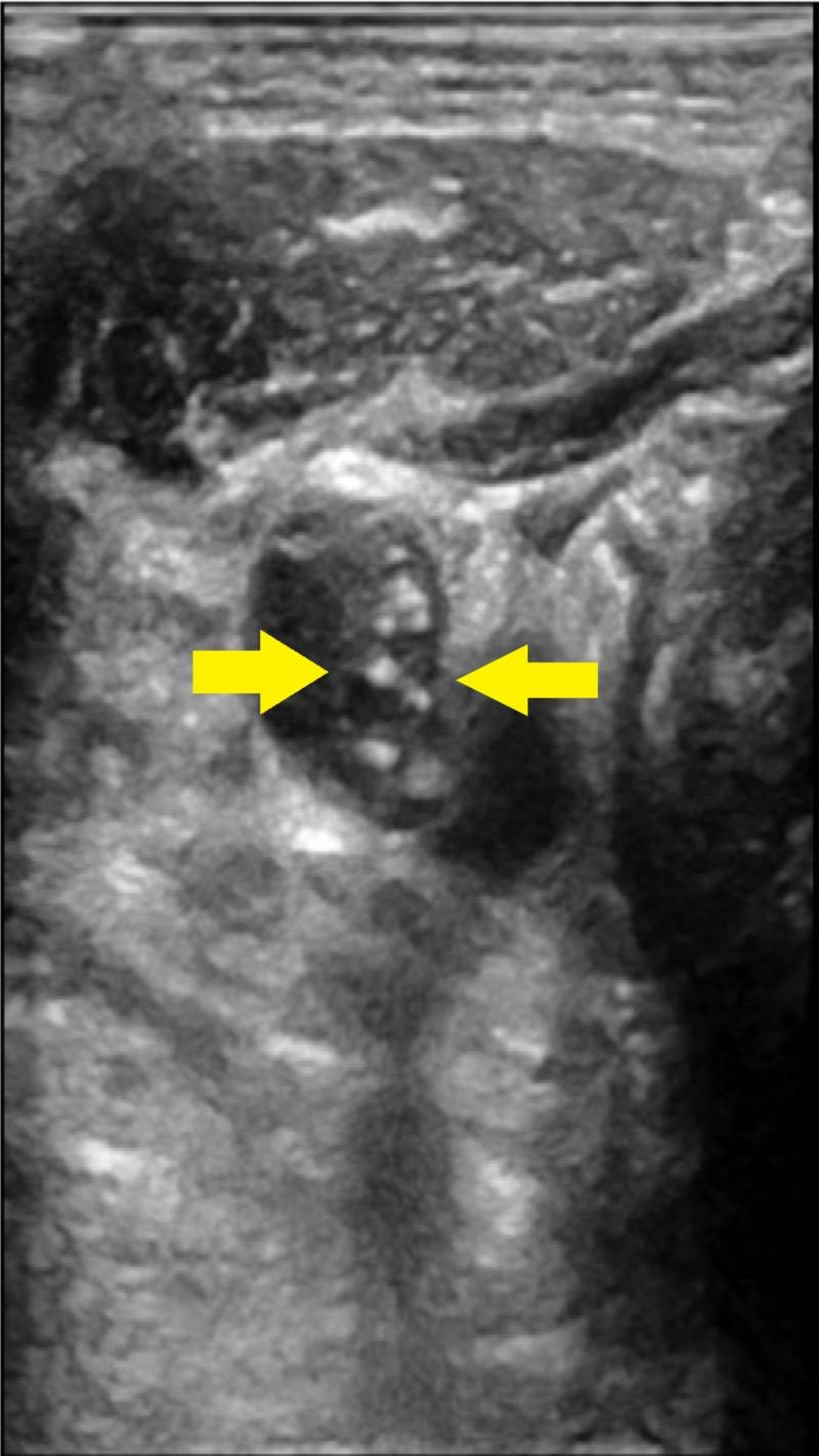
Lemierre syndrome is a life-threatening condition associated with infection by obligate anaerobes residing in oropharyngeal mucosa. The most common organism responsible is Fusobacterium necrophorum. We report a case in a 69-year-old gentleman. The man with past medical history of hypertension, anxiety and chronic alcohol abuse was brought in by his family for altered mental status and fever. He had a complicated stay with septic shock on multiple pressors, his blood cultures grew Fusobacterium necrophorum and neck ultrasound showed acute thrombus of the right internal jugular vein (IJV). The patient had received intravenous antibiotics throughout stay but had poor prognosis and eventually expired after a complicated hospital stay. Lemierre syndrome is a rare syndrome usually associated with an acute oropharyngeal infection due to anaerobic bacteria leading to secondary septic thrombophlebitis of the internal jugular vein. The characteristic clinical picture noticed is a hematogenous progression to distant septic emboli. It is a life-threatening condition and a prompt diagnosis is critical for preventing fatal consequences. The purpose of this case report is to increase awareness about this clinical condition among medical professionals.

摘要

勒米尔综合征是一种危及生命的疾病,与口咽黏膜中存在的专性厌氧菌感染有关。最常见的致病微生物是坏死梭杆菌。我们报告一例69岁男性病例。该男子有高血压、焦虑症和慢性酒精滥用病史,因精神状态改变和发热被家人送来就医。他住院过程复杂,出现感染性休克,需多种升压药维持,血培养检出坏死梭杆菌,颈部超声显示右侧颈内静脉急性血栓形成。患者住院期间一直接受静脉抗生素治疗,但预后不佳,在经历复杂的住院过程后最终死亡。勒米尔综合征是一种罕见综合征,通常与厌氧菌引起的急性口咽感染有关,导致颈内静脉继发性感染性血栓性静脉炎。其特征性临床表现是血行播散至远处的感染性栓子。这是一种危及生命的疾病,及时诊断对于预防致命后果至关重要。本病例报告的目的是提高医学专业人员对这种临床疾病的认识。

https://cdn.ncbi.nlm.nih.gov/pmc/blobs/6823/7105036/3a94cde61da4/cureus-0012-00000007443-i01.jpg

文献AI研究员

20分钟写一篇综述,助力文献阅读效率提升50倍。

立即体验

用中文搜PubMed

大模型驱动的PubMed中文搜索引擎

马上搜索

文档翻译

学术文献翻译模型,支持多种主流文档格式。

立即体验