Suppr超能文献

一名年轻男性患非典型黑斑息肉综合征并出现巨大空肠空肠套叠:病例报告

Atypical Peutz-Jeghers Syndrome Presenting With a Huge Jejunojejunal Intussusception in a Young Male: A Case Report.

作者信息

Hashem Anas, Ismayl Ahmad, Mahmoud Amir A, Khalouf Amani, Mohammed Marwan R

机构信息

Internal Medicine, Rochester Regional Health, Rochester, USA.

Internal Medicine, Doncaster Royal Infirmary, Doncaster, GBR.

出版信息

Cureus. 2023 Mar 13;15(3):e36107. doi: 10.7759/cureus.36107. eCollection 2023 Mar.

Abstract

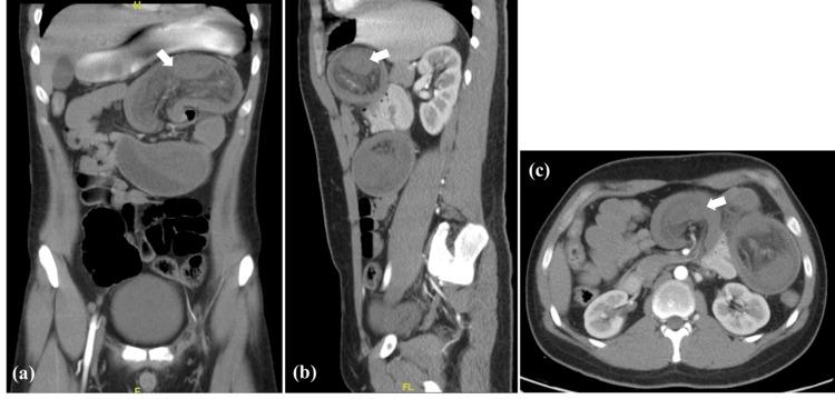
Intussusception is considered one of the rare causes of intestinal obstruction in adults compared to pediatric patients. It usually presents with non-specific clinical manifestations ranging from mild recurrent abdominal pain to severe acute abdominal pain. The non-specificity of its symptoms makes it difficult to diagnose preoperatively. As 90% of adult intussusceptions are due to a pathological lead point, this prompts the underlying medical condition to be identified. We herein report a rare case of a 21-year-old male with atypical clinical features of Peutz-Jegher syndrome (PJS), presenting with jejunojejunal intussusception as a result of a hamartomatous intestinal polyp. A preliminary diagnosis of intussusception was made after an abdominal computed tomography (CT) scan and was confirmed intraoperatively. Postoperatively, the patient's condition improved steadily, and he was discharged with a referral to the gastroenterologist for further assessment.

摘要

与儿科患者相比,肠套叠被认为是成人肠梗阻的罕见原因之一。它通常表现为非特异性临床表现,从轻度反复腹痛到严重急性腹痛不等。其症状的非特异性使得术前诊断困难。由于90%的成人肠套叠是由病理性引导点引起的,这促使识别潜在的疾病状况。我们在此报告一例罕见的21岁男性,具有黑斑息肉综合征(PJS)的非典型临床特征,因错构瘤性肠息肉导致空肠空肠套叠。腹部计算机断层扫描(CT)后初步诊断为肠套叠,并在术中得到证实。术后,患者病情稳步改善,出院时转诊至胃肠病学家处进行进一步评估。

https://cdn.ncbi.nlm.nih.gov/pmc/blobs/1335/10098220/bdf8279b4bb7/cureus-0015-00000036107-i01.jpg

文献检索

告别复杂PubMed语法,用中文像聊天一样搜索,搜遍4000万医学文献。AI智能推荐,让科研检索更轻松。

立即免费搜索

文件翻译

保留排版,准确专业,支持PDF/Word/PPT等文件格式,支持 12+语言互译。

免费翻译文档

深度研究

AI帮你快速写综述,25分钟生成高质量综述,智能提取关键信息,辅助科研写作。

立即免费体验