Departamento de Ciências Naturais, Universidade Federal de São João Del Rei, Praça Dom Helvécio 74, São João del Rei, Minas Gerais, 36301-160, Brazil.
Departamento de Biomecânica, Medicina e Reabilitação do Aparelho Locomotor, Faculdade de Medicina de Ribeirão Preto, Universidade de São Paulo, Ribeirão Preto, São Paulo, 14049-900, Brazil.
Sci Rep. 2023 Apr 18;13(1):6296. doi: 10.1038/s41598-023-33591-4.
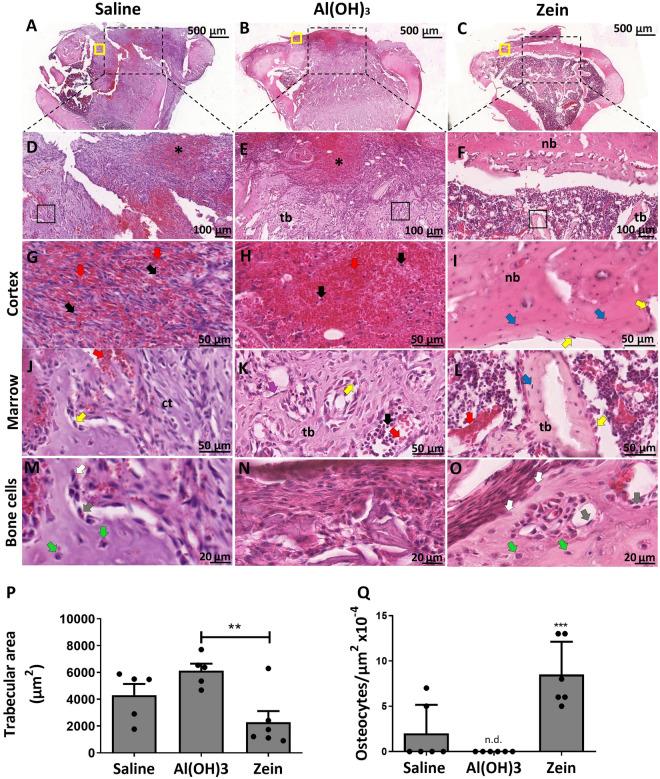
Bone fractures cause acute inflammation that, despite being important for initial repair, may delay the healing of the damaged bone. Parenteral injection of dietary protein has been shown to decrease inflammation and accelerate the repair of skin wounds and other inflammatory pathologies. Thus, our aim was to evaluate whether the intraperitoneal (i.p.) immunization with zein, an abundant protein in rodent chow, would favor bone healing. Wistar rats received i.p. immunization: saline (SG), adjuvant (AG) and zein associated with adjuvant (ZG). Then, a 2 mm of defect bone was performed on the right tibia, and on days 7, 14, 28 and 45 thereafter, analyses were performed. The results showed that the injection of zein reduced inflammation without impairing bone mineralization. Moreover, biomechanical tests demonstrated higher levels of maximum force (N) in ZG, indicating better mechanical resistance in relation to the others. The computerized tomography also indicated lower levels of medullary content in the ZG than in the SG, suggesting the absence of trabeculae in the medullary region in the ZG. These findings suggest that the injection of zein in previously tolerated animals may improve bone repair, leading to mechanically functional bone formation.
骨折会引起急性炎症,尽管这种炎症对于初始修复很重要,但可能会延迟受损骨骼的愈合。研究表明,经肠胃外(即腹腔内)给予膳食蛋白质可以减少炎症,并加速皮肤伤口和其他炎症性病变的修复。因此,我们的目的是评估在老鼠饲料中含量丰富的玉米醇溶蛋白(zein)经腹腔免疫是否会有利于骨骼愈合。Wistar 大鼠接受腹腔免疫:生理盐水(SG)、佐剂(AG)和佐剂联合玉米醇溶蛋白(ZG)。然后,在右侧胫骨上造成 2mm 的骨缺损,此后在第 7、14、28 和 45 天进行分析。结果表明,玉米醇溶蛋白的注射减少了炎症,而不会损害骨矿化。此外,生物力学测试表明,ZG 中的最大力(N)水平更高,表明与其他组相比,ZG 具有更好的机械抵抗力。计算机断层扫描还表明,ZG 中的骨髓含量低于 SG,表明在 ZG 的骨髓区域中没有小梁。这些发现表明,在先前耐受的动物中注射玉米醇溶蛋白可能会改善骨骼修复,从而形成具有机械功能的骨骼。