• 文献检索
  • 文档翻译
  • 深度研究
  • 学术资讯
  • Suppr Zotero 插件Zotero 插件
  • 邀请有礼
  • 套餐&价格
  • 历史记录
应用&插件
Suppr Zotero 插件Zotero 插件浏览器插件Mac 客户端Windows 客户端微信小程序
定价
高级版会员购买积分包购买API积分包
服务
文献检索文档翻译深度研究API 文档MCP 服务
关于我们
关于 Suppr公司介绍联系我们用户协议隐私条款
关注我们

Suppr 超能文献

核心技术专利:CN118964589B侵权必究
粤ICP备2023148730 号-1Suppr @ 2026

文献检索

告别复杂PubMed语法,用中文像聊天一样搜索,搜遍4000万医学文献。AI智能推荐,让科研检索更轻松。

立即免费搜索

文件翻译

保留排版,准确专业,支持PDF/Word/PPT等文件格式,支持 12+语言互译。

免费翻译文档

深度研究

AI帮你快速写综述,25分钟生成高质量综述,智能提取关键信息,辅助科研写作。

立即免费体验

一种新型双向门静脉穿刺套件在经颈静脉肝内门体分流术创建过程中的安全性和可行性。

Safety and feasibility of a novel bi-directional portal vein access kit during transjugular intrahepatic portosystemic shunt creation.

作者信息

Kang Richard D, Nezami Nariman, Park Peter, DePalma Anthony A, Loya Mohammed F, Mhaskar Rahul, Engel Chad, Zwiebel Bruce, Hoots Glenn, Shaikh Jamil

机构信息

University of South Florida, Morsani College of Medicine, Tampa, FL, USA.

Division of Vascular and Interventional Radiology, Department of Diagnostic Radiology and Nuclear Medicine, University of Maryland School of Medicine, Baltimore, MD, USA.

出版信息

CVIR Endovasc. 2023 Apr 19;6(1):24. doi: 10.1186/s42155-023-00366-x.

DOI:10.1186/s42155-023-00366-x
PMID:37074479
原文链接:https://pmc.ncbi.nlm.nih.gov/articles/PMC10115920/
Abstract

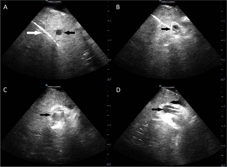
BACKGROUND

Transjugular intrahepatic portosystemic shunt (TIPS) creation remains as one of the more technically challenging endovascular procedures. Portal vein access from the hepatic vein often requires multiple needle passes, which increases procedure times, risk of complications, and radiation exposure. With its bi-directional maneuverability, the Scorpion X access kit may be a promising tool for easier portal vein access. However, the clinical safety and feasibility of this access kit has yet to be determined.

MATERIALS AND METHODS

In this retrospective study, 17 patients (12 male, average age 56.6 ± 9.01) underwent TIPS procedure using Scorpion X portal vein access kits. The primary endpoint was time taken to access the portal vein from the hepatic vein. The most common indications for TIPS were refractory ascites (47.1%) and esophageal varices (17.6%). Radiation exposure, total number of needle passes, and intraoperative complications were recorded. Average MELD Score was 12.6 ± 3.39 (range: 8-20).

RESULTS

Portal vein cannulation was successfully achieved in 100% of patients during intracardiac echocardiography-assisted TIPS creation. Total fluoroscopy time was 39.31 ± 17.97 min; average radiation dose was 1036.76 ± 644.15 mGy, while average contrast dose was 120.59 ± 56.87 mL. The average number of passes from the hepatic vein to the portal vein was 2 (range: 1-6). Average time to access the portal vein once the TIPS cannula was positioned in the hepatic vein was 30.65 ± 18.64 min. There were no intraoperative complications.

CONCLUSIONS

Clinical utilization of the Scorpion X bi-directional portal vein access kit is both safe and feasible. Utilizing this bi-directional access kit resulted in successful portal vein access with minimal intraoperative complications.

LEVEL OF EVIDENCE

Retrospective cohort.

摘要

背景

经颈静脉肝内门体分流术(TIPS)仍是技术要求较高的血管内介入手术之一。从肝静脉进入门静脉通常需要多次穿刺,这会增加手术时间、并发症风险和辐射暴露。凭借其双向可操作性,Scorpion X穿刺套件可能是一种有助于更轻松进入门静脉的有前景的工具。然而,该穿刺套件的临床安全性和可行性尚未确定。

材料与方法

在这项回顾性研究中,17例患者(12例男性,平均年龄56.6±9.01岁)使用Scorpion X门静脉穿刺套件进行了TIPS手术。主要终点是从肝静脉进入门静脉所需的时间。TIPS最常见的适应证是顽固性腹水(47.1%)和食管静脉曲张(17.6%)。记录辐射暴露、穿刺总次数和术中并发症。平均终末期肝病模型(MELD)评分是12.6±3.39(范围:8 - 20)。

结果

在心脏超声心动图辅助下进行TIPS手术时,100%的患者成功实现门静脉插管。透视总时间为39.31±17.97分钟;平均辐射剂量为1036.76±644.15毫戈瑞,而平均造影剂剂量为120.59±56.87毫升。从肝静脉到门静脉的平均穿刺次数为2次(范围:1 - 6次)。一旦TIPS套管置于肝静脉,进入门静脉的平均时间为30.65±18.64分钟。无术中并发症。

结论

Scorpion X双向门静脉穿刺套件的临床应用安全可行。使用这种双向穿刺套件可成功进入门静脉,且术中并发症最少。

证据级别

回顾性队列研究。

https://cdn.ncbi.nlm.nih.gov/pmc/blobs/d457/10115920/0d57417269ee/42155_2023_366_Fig3_HTML.jpg
https://cdn.ncbi.nlm.nih.gov/pmc/blobs/d457/10115920/e10cabdbdace/42155_2023_366_Fig1_HTML.jpg
https://cdn.ncbi.nlm.nih.gov/pmc/blobs/d457/10115920/009e485ca567/42155_2023_366_Fig2_HTML.jpg
https://cdn.ncbi.nlm.nih.gov/pmc/blobs/d457/10115920/0d57417269ee/42155_2023_366_Fig3_HTML.jpg
https://cdn.ncbi.nlm.nih.gov/pmc/blobs/d457/10115920/e10cabdbdace/42155_2023_366_Fig1_HTML.jpg
https://cdn.ncbi.nlm.nih.gov/pmc/blobs/d457/10115920/009e485ca567/42155_2023_366_Fig2_HTML.jpg
https://cdn.ncbi.nlm.nih.gov/pmc/blobs/d457/10115920/0d57417269ee/42155_2023_366_Fig3_HTML.jpg

相似文献

1
Safety and feasibility of a novel bi-directional portal vein access kit during transjugular intrahepatic portosystemic shunt creation.一种新型双向门静脉穿刺套件在经颈静脉肝内门体分流术创建过程中的安全性和可行性。
CVIR Endovasc. 2023 Apr 19;6(1):24. doi: 10.1186/s42155-023-00366-x.
2
Utility of Intravascular US-Guided Portal Vein Access during Transjugular Intrahepatic Portosystemic Shunt Creation: Retrospective Comparison with Conventional Technique in 109 Patients.经颈静脉肝内门体分流术创建过程中血管内超声引导门静脉穿刺的效用:109例患者与传统技术的回顾性比较
J Vasc Interv Radiol. 2016 Aug;27(8):1154-9. doi: 10.1016/j.jvir.2016.05.010. Epub 2016 Jun 28.
3
Intravascular Ultrasound in the Creation of Transhepatic Portosystemic Shunts Reduces Needle Passes, Radiation Dose, and Procedure Time: A Retrospective Study of a Single-Institution Experience.经肝门静脉分流术中血管内超声减少穿刺次数、辐射剂量及手术时间:单中心经验回顾性研究
J Vasc Interv Radiol. 2016 Aug;27(8):1148-53. doi: 10.1016/j.jvir.2016.01.137. Epub 2016 Apr 1.
4
Radiation exposure during transjugular intrahepatic portosystemic shunt creation in patients with complete portal vein thrombosis or portal cavernoma.在完全性门静脉血栓或门静脉海绵样变性患者行经颈静脉肝内门体分流术创建过程中的辐射暴露。
Radiol Med. 2020 Jul;125(7):609-617. doi: 10.1007/s11547-020-01155-5. Epub 2020 Feb 18.
5
Transjugular intrahepatic portosystemic shunt creation: three-dimensional roadmap versus CO wedged hepatic venography.经颈静脉肝内门体分流术的创建:三维路线图与 CO 楔形肝静脉造影。
Eur Radiol. 2018 Aug;28(8):3215-3220. doi: 10.1007/s00330-018-5316-3. Epub 2018 Feb 19.
6
Percutaneous transhepatic balloon-assisted transjugular intrahepatic portosystemic shunt for chronic, totally occluded, portal vein thrombosis with symptomatic portal hypertension: procedure technique, safety, and clinical applications.经皮经肝球囊辅助经颈静脉肝内门体分流术治疗慢性、完全闭塞性门静脉血栓形成伴症状性门静脉高压:操作技术、安全性和临床应用。
Eur Radiol. 2015 Dec;25(12):3431-7. doi: 10.1007/s00330-015-3777-1. Epub 2015 Apr 23.
7
Image fusion-guided portal vein puncture during transjugular intrahepatic portosystemic shunt placement.经颈静脉肝内门体分流术放置过程中图像融合引导下的门静脉穿刺
Diagn Interv Imaging. 2016 Nov;97(11):1095-1102. doi: 10.1016/j.diii.2016.06.015. Epub 2016 Aug 5.
8
Percutaneous Transsplenic Balloon-Assisted Transjugular Intrahepatic Portosystemic Shunt Placement in Patients with Portal Vein Obliteration for Portal Vein Recanalization: Feasibility, Safety and Effectiveness.经皮经脾球囊辅助经颈静脉肝内门体分流术在门静脉闭塞患者中的应用:门静脉再通的可行性、安全性和有效性。
Cardiovasc Intervent Radiol. 2022 May;45(5):696-702. doi: 10.1007/s00270-021-03054-2. Epub 2022 Jan 11.
9
[Application study of ultrasound-guided percutaneous portal vein punctures combined with bi-directionalangiography in the treatment by TIPS].超声引导下经皮门静脉穿刺联合双向血管造影在经颈静脉肝内门体分流术治疗中的应用研究
Zhonghua Gan Zang Bing Za Zhi. 2019 Oct 20;27(10):777-781. doi: 10.3760/cma.j.issn.1007-3418.2019.10.008.
10
Targeted puncture of left branch of intrahepatic portal vein in transjugular intrahepatic portosystemic shunt to reduce hepatic encephalopathy.经颈静脉肝内门体分流术时经皮穿刺左支门静脉以减少肝性脑病。
World J Gastroenterol. 2019 Mar 7;25(9):1088-1099. doi: 10.3748/wjg.v25.i9.1088.

引用本文的文献

1
Clinical significance of contrast extravasation on computed tomography immediately after thermal ablation for hepatic tumors.肝脏肿瘤热消融术后立即行计算机断层扫描时对比剂外渗的临床意义
BMC Gastroenterol. 2025 Jul 1;25(1):443. doi: 10.1186/s12876-025-04025-4.

本文引用的文献

1
Modified gun-sight transjugular intrahepatic portosystemic shunt technique.改良经枪形探头引导下经颈内静脉肝内门体分流术。
Br J Radiol. 2022 Dec 1;95(1140):20220556. doi: 10.1259/bjr.20220556. Epub 2022 Oct 6.
2
Shunt-Induced Hepatic Encephalopathy in TIPS: Current Approaches and Clinical Challenges.经颈静脉肝内门体分流术(TIPS)相关的分流性肝性脑病:当前治疗方法与临床挑战
J Clin Med. 2020 Nov 23;9(11):3784. doi: 10.3390/jcm9113784.
3
Transjugular intrahepatic portosystemic shunt in cirrhosis: An exhaustive critical update.肝硬化患者经颈静脉肝内门体分流术:详尽的批判性更新。
World J Gastroenterol. 2020 Oct 7;26(37):5561-5596. doi: 10.3748/wjg.v26.i37.5561.
4
Transjugular intrahepatic portosystemic stent-shunt in the management of portal hypertension.经颈静脉肝内门体分流术治疗门静脉高压。
Gut. 2020 Jul;69(7):1173-1192. doi: 10.1136/gutjnl-2019-320221. Epub 2020 Feb 29.
5
Transjugular intrahepatic portosystemic shunt (TIPS): current indications and strategies to improve the outcomes.经颈静脉肝内门体分流术(TIPS):当前适应证及改善治疗效果的策略
Intern Emerg Med. 2020 Jan;15(1):37-48. doi: 10.1007/s11739-019-02252-8. Epub 2020 Jan 9.
6
The Transjugular Intrahepatic Portosystemic Shunt: Technique and Instruments.经颈静脉肝内门体分流术:技术与器械
Tech Vasc Interv Radiol. 2016 Mar;19(1):2-9. doi: 10.1053/j.tvir.2016.01.001. Epub 2016 Jan 28.
7
Comprehensive review of TIPS technical complications and how to avoid them.经颈静脉肝内门体分流术技术并发症的全面综述及如何预防。
AJR Am J Roentgenol. 2011 Mar;196(3):675-85. doi: 10.2214/AJR.10.4819.
8
The use of carbon dioxide wedged hepatic venography to identify the portal vein: comparison with direct catheter portography with iodinated contrast medium and analysis of predictive factors influencing level of opacification.使用二氧化碳楔入式肝静脉造影术识别门静脉:与碘化造影剂直接导管门静脉造影术的比较及影响造影剂显影水平的预测因素分析
J Vasc Interv Radiol. 2006 Nov;17(11 Pt 1):1771-9. doi: 10.1097/01.RVI.0000242185.26944.60.
9
Radiation risks for the radiologist performing transjugular intrahepatic portosystemic shunt (TIPS).经颈静脉肝内门体分流术(TIPS)操作中放射科医生面临的辐射风险。
Br J Radiol. 2006 Jun;79(942):483-6. doi: 10.1259/bjr/67632946.
10
Intravascular ultrasound guidance for transjugular intrahepatic portosystemic shunt procedure in a swine model.猪模型中经颈静脉肝内门体分流术的血管内超声引导
Cardiovasc Intervent Radiol. 2004 Jan-Feb;27(1):38-41. doi: 10.1007/s00270-003-2634-9.