• 文献检索
  • 文档翻译
  • 深度研究
  • 学术资讯
  • Suppr Zotero 插件Zotero 插件
  • 邀请有礼
  • 套餐&价格
  • 历史记录
应用&插件
Suppr Zotero 插件Zotero 插件浏览器插件Mac 客户端Windows 客户端微信小程序
定价
高级版会员购买积分包购买API积分包
服务
文献检索文档翻译深度研究API 文档MCP 服务
关于我们
关于 Suppr公司介绍联系我们用户协议隐私条款
关注我们

Suppr 超能文献

核心技术专利:CN118964589B侵权必究
粤ICP备2023148730 号-1Suppr @ 2026

文献检索

告别复杂PubMed语法,用中文像聊天一样搜索,搜遍4000万医学文献。AI智能推荐,让科研检索更轻松。

立即免费搜索

文件翻译

保留排版,准确专业,支持PDF/Word/PPT等文件格式,支持 12+语言互译。

免费翻译文档

深度研究

AI帮你快速写综述,25分钟生成高质量综述,智能提取关键信息,辅助科研写作。

立即免费体验

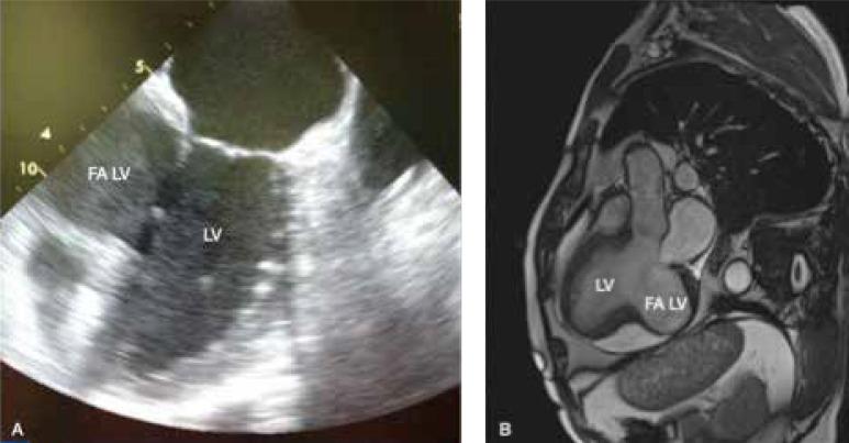
A large asymptomatic postinfarction left ventricular pseudoaneurysm - an incidental finding during a recurrent coronary event.

作者信息

Witkowska Anna, Urbanowicz Tomasz, Olasińska-Wiśniewska Anna, Katarzyński Sławomir, Perek Bartłomiej, Jemielity Marek

机构信息

Department of Cardiac Surgery and Transplantology, Poznan University of Medical Sciences, Poznan, Poland.

出版信息

Kardiochir Torakochirurgia Pol. 2023 Mar;20(1):47-49. doi: 10.5114/kitp.2023.126099. Epub 2023 Apr 3.

DOI:10.5114/kitp.2023.126099
PMID:37077461
原文链接:https://pmc.ncbi.nlm.nih.gov/articles/PMC10107411/
Abstract
摘要
https://cdn.ncbi.nlm.nih.gov/pmc/blobs/e34b/10107411/001972fa1ed8/KITP-20-50412-g002.jpg
https://cdn.ncbi.nlm.nih.gov/pmc/blobs/e34b/10107411/48a0460f373d/KITP-20-50412-g001.jpg
https://cdn.ncbi.nlm.nih.gov/pmc/blobs/e34b/10107411/001972fa1ed8/KITP-20-50412-g002.jpg
https://cdn.ncbi.nlm.nih.gov/pmc/blobs/e34b/10107411/48a0460f373d/KITP-20-50412-g001.jpg
https://cdn.ncbi.nlm.nih.gov/pmc/blobs/e34b/10107411/001972fa1ed8/KITP-20-50412-g002.jpg

相似文献

1
A large asymptomatic postinfarction left ventricular pseudoaneurysm - an incidental finding during a recurrent coronary event.一个大型无症状性心肌梗死后左心室假性动脉瘤——在一次复发性冠状动脉事件中偶然发现。
Kardiochir Torakochirurgia Pol. 2023 Mar;20(1):47-49. doi: 10.5114/kitp.2023.126099. Epub 2023 Apr 3.
2
Silent myocardial infarction complicated by asymptomatic ventricular septal defect and deferred rupture of left ventricular pseudoaneurysm.无症状性室间隔缺损合并左心室假性动脉瘤延迟破裂的无症状性心肌梗死。
Tex Heart Inst J. 1990;17(2):139-41.
3
Surgical treatment of postinfarction left ventricular pseudoaneurysms.心肌梗死后左心室假性动脉瘤的外科治疗
Heart Surg Forum. 2006;9(6):E876-9. doi: 10.1532/HSF98.20061042.
4
Giant pseudoaneurysm that developed seven years after surgical repair of a postinfarction ventricular septal defect.心肌梗死后 7 年行室间隔缺损修补术后出现巨大假性动脉瘤。
Gen Thorac Cardiovasc Surg. 2021 Aug;69(8):1240-1242. doi: 10.1007/s11748-021-01637-x. Epub 2021 May 11.
5
Decoding Postinfarction Left Ventricular Pseudoaneurysm.解读心肌梗死后左心室假性动脉瘤
JACC Case Rep. 2022 Nov 3;9:101533. doi: 10.1016/j.jaccas.2022.07.005. eCollection 2023 Mar 1.
6
Dynamic Systolic Compression of the Left Anterior Descending Coronary Artery as the First Clue of Postinfarction Left Ventricular Pseudoaneurysm.左前降支冠状动脉梗死性室壁瘤形成的首发病变:动态性左前降支冠状动脉节段性收缩。
Can J Cardiol. 2019 Oct;35(10):1419.e9-1419.e11. doi: 10.1016/j.cjca.2019.06.010. Epub 2019 Jun 20.
7
Successful surgical treatment of delayed left ventricular pseudoaneurysm related to infection after repair of ventricular septal rupture complicating acute myocardial infarction.急性心肌梗死并发室间隔破裂修补术后感染所致延迟性左心室假性动脉瘤的成功外科治疗
J Cardiol Cases. 2021 Jul 29;25(2):87-90. doi: 10.1016/j.jccase.2021.07.004. eCollection 2022 Feb.
8
Double-patch and glue repair of a postinfarction left ventricular pseudoaneurysm.心肌梗死后左心室假性动脉瘤的双补片和胶水修复术
Asian Cardiovasc Thorac Ann. 2021 Feb;29(2):116-118. doi: 10.1177/0218492320957168. Epub 2020 Aug 30.
9
Large Left Ventricular Outflow Tract Pseudoaneurysm Closed Percutaneously From a Novel Apical Approach.经新型心尖入路经皮闭合大型左心室流出道假性动脉瘤
JACC Case Rep. 2019 Dec 18;1(5):713-717. doi: 10.1016/j.jaccas.2019.11.018.
10
Long term outcome of patients with postinfarction left ventricular pseudoaneurysm.心肌梗死后左心室假性动脉瘤患者的长期预后
Heart. 2003 Oct;89(10):1144-6. doi: 10.1136/heart.89.10.1144.

本文引用的文献

1
Mechanical Complications of Acute Myocardial Infarction: A Review.急性心肌梗死的机械并发症:综述
JAMA Cardiol. 2021 Mar 1;6(3):341-349. doi: 10.1001/jamacardio.2020.3690.
2
Temporal Trends and Outcomes of Left Ventricular Aneurysm After Acute Myocardial Infarction.急性心肌梗死后左心室室壁瘤的时间趋势和转归。
Am J Cardiol. 2020 Oct 15;133:32-38. doi: 10.1016/j.amjcard.2020.07.043. Epub 2020 Jul 28.
3
Temporal Trends and Outcomes of Mechanical Complications in Patients With Acute Myocardial Infarction.急性心肌梗死患者机械并发症的时间趋势和结局。
JACC Cardiovasc Interv. 2019 Sep 23;12(18):1825-1836. doi: 10.1016/j.jcin.2019.04.039.
4
Prevalence and Prognosis of Unrecognized Myocardial Infarction in Asymptomatic Patients With Diabetes: A Two-Center Study With Up to 5 Years of Follow-up.无症状糖尿病患者中未识别心肌梗死的患病率和预后:一项长达 5 年随访的两中心研究。
Diabetes Care. 2019 Jul;42(7):1290-1296. doi: 10.2337/dc18-2266. Epub 2019 Apr 22.
5
2018 ESC/EACTS Guidelines on myocardial revascularization.2018年欧洲心脏病学会/欧洲心胸外科学会心肌血运重建指南。
Eur Heart J. 2019 Jan 7;40(2):87-165. doi: 10.1093/eurheartj/ehy394.
6
True versus false left ventricular aneurysm: differentiation with MR imaging--initial experience.真性与假性左心室动脉瘤:磁共振成像鉴别——初步经验
Radiology. 2005 Jul;236(1):65-70. doi: 10.1148/radiol.2361031699. Epub 2005 Jun 13.