Golzarian Hafez, Mariam Alaha, Shah Sidra R, Pasley Benjamin A, Ansah Kofi N, Verma Anil, Mehzad Reza, Patel Sandeep M
BonSecours Mercy Health-St. Rita's Medical Center, Internal Medicine Residency Program, 751 West Market Street, Lima, OH 4580, USA.
Department of Internal Medicine, BonSecours Mercy Health-Jewish Hospital, 4777 E Galbraith Rd, Cincinnati, OH 45236, USA.
Eur Heart J Case Rep. 2023 Apr 5;7(4):ytad160. doi: 10.1093/ehjcr/ytad160. eCollection 2023 Apr.
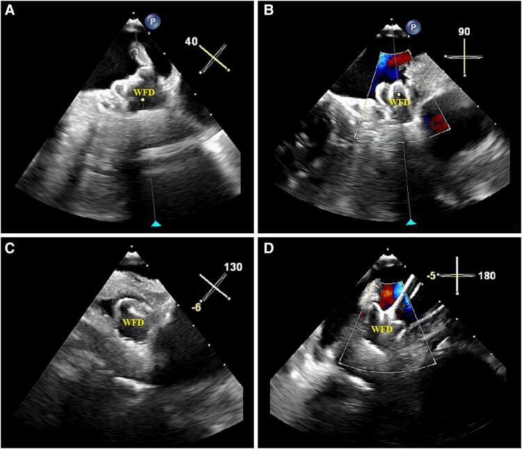
In patients with non-valvular atrial fibrillation, the vast majority of thrombi originate in the left atrial appendage (LAA). Thus, occluding the LAA significantly reduces one's risk for developing an ischaemic stroke. To date, many different surgical methodologies in LAA occlusion (LAAO)/exclusion have been studied and utilized. Unfortunately, patients are often left with incomplete closure of their LAA, leaving behind residual lobes that continue to allow thrombus formations. With the recent rise in percutaneous approaches and devices such as the WATCHMAN FLX, there have been proven success rates in achieving total closure of the LAA. Reports and investigations regarding the utilization of WATCHMAN FLX devices in patients with surgically incomplete LAAO remain limited.
We present three cases of patients who had previously undergone surgical exclusion of the LAA yet unfortunately were left with residual LAA that continued to place them at high risk for an ischaemic stroke. Percutaneous LAAO with the WATCHMAN FLX was utilized to successfully achieve complete sealing of the residual lobes in failed LAA surgical closures.
Our multicentre case series elucidates that an increased risk of stroke due to surgical LAAO failure is a real-world possibility that is likely to be encountered in clinical practice. We demonstrate in this series how the WATCHMAN FLX may provide a feasible and safe method to supplement a surgically incomplete LAAO to allow for improved ischaemic stroke and systemic embolization risk reduction.
在非瓣膜性心房颤动患者中,绝大多数血栓起源于左心耳(LAA)。因此,封堵LAA可显著降低缺血性卒中的发生风险。迄今为止,已经研究并应用了许多不同的LAA封堵(LAAO)/切除手术方法。不幸的是,患者的LAA往往无法完全闭合,残留的叶状结构仍会继续形成血栓。随着最近经皮途径和诸如WATCHMAN FLX等器械的兴起,已证实LAA实现完全闭合有一定成功率。关于在手术LAAO不完全的患者中使用WATCHMAN FLX器械的报道和研究仍然有限。
我们报告了3例患者,他们之前接受了LAA手术切除,但不幸的是仍有LAA残留,这使他们持续面临缺血性卒中的高风险。使用WATCHMAN FLX进行经皮LAAO成功实现了对LAA手术闭合失败后残留叶状结构的完全封堵。
我们的多中心病例系列阐明,手术LAAO失败导致卒中风险增加在临床实践中是一种现实中可能遇到的情况。我们在本系列中展示了WATCHMAN FLX如何提供一种可行且安全的方法来补充手术不完全的LAAO,以降低缺血性卒中和全身栓塞风险。