Suppr超能文献

WATCHMAN封堵器:一例使用两枚WATCHMAN-FLX封堵器封闭左心耳双叶的病例报告

WATCHMEN: a case report highlighting the closure of a bilobed left atrial appendage using two WATCHMAN-FLX devices.

作者信息

Sood Abhinav, Kalavakunta Jagadeesh K, Gourineni Venu, Gupta Vishal

机构信息

Department of Interventional Cardiology, Ascension Borgess Hospital, GOC 331, 1521 Gull Road, Kalamazoo, MI 49048, USA.

Department of Cardiology, Ascension Borgess Hospital, Kalamazoo, MI, USA.

出版信息

Eur Heart J Case Rep. 2023 Nov 30;7(12):ytad607. doi: 10.1093/ehjcr/ytad607. eCollection 2023 Dec.

Abstract

BACKGROUND

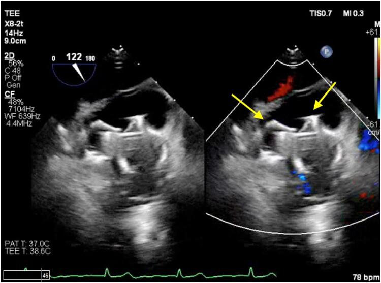
Left atrial appendage occlusion (LAAO) performed percutaneously has emerged as a widely accepted method for stroke prevention, offering a viable alternative to anticoagulation. Numerous studies have demonstrated the effectiveness and safety of this procedure. However, in certain cases, the use of a single LAAO device may not adequately achieve optimal closure due to variations in the anatomy of the left atrial appendage (LAA).

CASE SUMMARY

In this manuscript, we highlight the successful closure of a bilobed LAA with a large ostium utilizing two WATCHMAN™ FLX devices and using the double sheath technique. The aim was to achieve optimal closure and address the unique anatomical characteristics of the patient's LAA.

DISCUSSION

The utilization of two LAAO devices in bilobed appendage anatomy, where a single device may not be sufficient, is possible, although it poses a challenge because of the lack of technical expertise and limited published evidence. Transoesophageal imaging can serve as a valuable tool for assessing the precise anatomy of the LAA and guide the selection and placement of the occlusion devices.

摘要

背景

经皮左心耳封堵术(LAAO)已成为一种广泛接受的预防中风的方法,是抗凝治疗的一种可行替代方案。众多研究已证明该手术的有效性和安全性。然而,在某些情况下,由于左心耳(LAA)解剖结构的差异,使用单一的LAAO装置可能无法充分实现最佳封堵效果。

病例总结

在本手稿中,我们重点介绍了使用两个WATCHMAN™ FLX装置并采用双鞘技术成功封堵一个具有大开口的双叶状LAA的案例。目的是实现最佳封堵,并应对患者LAA独特的解剖特征。

讨论

在双叶状心耳解剖结构中使用两个LAAO装置是可行的,因为单一装置可能不够用,尽管由于缺乏技术专业知识和有限的已发表证据,这带来了挑战。经食管成像可作为评估LAA精确解剖结构以及指导封堵装置选择和放置的有价值工具。

https://cdn.ncbi.nlm.nih.gov/pmc/blobs/7d9e/10716089/c41e6dae1353/ytad607f6.jpg

文献AI研究员

20分钟写一篇综述,助力文献阅读效率提升50倍。

立即体验

用中文搜PubMed

大模型驱动的PubMed中文搜索引擎

马上搜索

文档翻译

学术文献翻译模型,支持多种主流文档格式。

立即体验