Suppr超能文献

双侧眼眶大淋巴瘤伴眼球突出

Bilateral Large Orbital Lymphoma With Proptosis.

作者信息

Balasubaramaniam Dharshini, Singh Sujaya, A Qamarruddin Fazilawati, Saravanamuthu Kavitha

机构信息

Ophthalmology, Universiti Malaya, Kuala Lumpur, MYS.

Ophthalmology, Hospital Tengku Ampuan Rahimah, Klang, MYS.

出版信息

Cureus. 2023 Mar 22;15(3):e36548. doi: 10.7759/cureus.36548. eCollection 2023 Mar.

Abstract

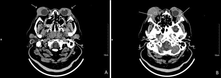
Diffuse large B-cell lymphoma (DLBCL) is the most common lymphoid malignancy in adults. It is an aggressive malignancy and requires a multidisciplinary approach with various modalities which include chemotherapy, radiotherapy as well as immunotherapy. A 63-year-old Malay male patient with underlying type 2 diabetes mellitus, hypertension, ischemic heart disease, and stage II chronic kidney disease presented with a one-month history of bilateral eye proptosis associated with lid swelling and red eye. He also complained of progressive right eye blurring of vision. Visual acuity was counting fingers on the right and 6/18 on the left. On examination, the relative afferent pupillary defect was negative. There was bilateral eye proptosis, conjunctival chemosis, and restricted extra-ocular movement in all gazes. There was also exposure keratopathy over the right eye, and intraocular pressure was raised. Bilateral cervical and axillary lymph nodes were palpable. A computerized tomography scan of the brain and orbit revealed bilateral orbital masses with no bony erosions. An incisional biopsy over the upper lid confirmed the diagnosis of diffuse large B-cell lymphoma with multiple myeloma-1 (MUM-1) positivity which defines the activated B-cell subtype (ABC). He was co-managed with a hematologist and was commenced on the rituximab-cyclophosphamide, doxorubicin, vincristine, prednisone (R-CHOP) chemotherapy regime. Bilateral eye proptosis, chemosis, and restriction of extra-ocular movement resolved after the completion of treatment. However, right eye vision remains poor as the patient developed central self-sealed corneal perforation with iris plugging which has healed with scarring. Diffuse large B-cell orbital lymphoma is a fast-growing and aggressive tumor, hence early diagnosis and prompt multi-disciplinary treatment are crucial for a good outcome.

摘要

弥漫性大B细胞淋巴瘤(DLBCL)是成人中最常见的淋巴恶性肿瘤。它是一种侵袭性恶性肿瘤,需要采用多学科方法,运用多种治疗方式,包括化疗、放疗以及免疫疗法。一名63岁的马来男性患者,患有2型糖尿病、高血压、缺血性心脏病和II期慢性肾病,出现双侧眼球突出伴眼睑肿胀和眼红1个月的病史。他还主诉右眼视力逐渐模糊。右眼视力为眼前指数,左眼视力为6/18。检查时,相对传入性瞳孔障碍为阴性。所有注视方向均存在双侧眼球突出、结膜水肿和眼球运动受限。右眼还存在暴露性角膜病变,眼压升高。双侧颈部和腋窝淋巴结可触及。脑部和眼眶的计算机断层扫描显示双侧眼眶肿块,无骨质侵蚀。上睑切开活检确诊为弥漫性大B细胞淋巴瘤,多发性骨髓瘤1(MUM-1)阳性,这定义了活化B细胞亚型(ABC)。他由血液科医生共同管理,并开始接受利妥昔单抗-环磷酰胺、多柔比星、长春新碱、泼尼松(R-CHOP)化疗方案。治疗完成后,双侧眼球突出、结膜水肿和眼球运动受限症状消失。然而,由于患者出现中央性自闭性角膜穿孔伴虹膜嵌顿,右眼视力仍然很差,穿孔已瘢痕愈合。弥漫性大B细胞眼眶淋巴瘤是一种生长迅速且侵袭性强的肿瘤,因此早期诊断和及时的多学科治疗对于取得良好疗效至关重要。

https://cdn.ncbi.nlm.nih.gov/pmc/blobs/7b37/10123220/58799430f29a/cureus-0015-00000036548-i01.jpg

文献检索

告别复杂PubMed语法,用中文像聊天一样搜索,搜遍4000万医学文献。AI智能推荐,让科研检索更轻松。

立即免费搜索

文件翻译

保留排版,准确专业,支持PDF/Word/PPT等文件格式,支持 12+语言互译。

免费翻译文档

深度研究

AI帮你快速写综述,25分钟生成高质量综述,智能提取关键信息,辅助科研写作。

立即免费体验