Suppr超能文献

酵母通透酶 Agp2 感知环己酰亚胺并发生降解,该降解过程需要 Brp1-小蛋白,这是 Agp2 对环己酰亚胺做出反应的细胞命运决定因素。

The Yeast Permease Agp2 Senses Cycloheximide and Undergoes Degradation That Requires the Small Protein Brp1-Cellular Fate of Agp2 in Response to Cycloheximide.

机构信息

Division of Genomics and Precision Medicine, College of Health and Life Sciences, Hamad Bin Khalifa University, Education City, Qatar Foundation, Doha P.O. Box 34110, Qatar.

Division of Biological and Biomedical Sciences, College of Health and Life Sciences, Hamad Bin Khalifa University, Education City, Qatar Foundation, Doha P.O. Box 34110, Qatar.

出版信息

Int J Mol Sci. 2023 Apr 10;24(8):6975. doi: 10.3390/ijms24086975.

Abstract

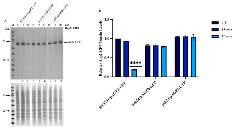
The Agp2 is a plasma membrane protein initially reported to be an uptake transporter for L-carnitine. Agp2 was later rediscovered, together with three additional proteins, Sky1, Ptk2, and Brp1, to be involved in the uptake of the polyamine analogue bleomycin-A5, an anticancer drug. Mutants lacking either Agp2, Sky1, Ptk2, or Brp1 are extremely resistant to polyamines and bleomycin-A5, suggesting that these four proteins act in the same transport pathway. We previously demonstrated that pretreating cells with the protein synthesis inhibitor cycloheximide (CHX) blocked the uptake of fluorescently labelled bleomycin (F-BLM), raising the possibility that CHX could either compete for F-BLM uptake or alter the transport function of Agp2. Herein, we showed that the mutant displayed striking resistance to CHX as compared to the parent, suggesting that Agp2 is required to mediate the physiological effect of CHX. We examined the fate of Agp2 as a GFP tag protein in response to CHX and observed that the drug triggered the disappearance of Agp2 in a concentration- and time-dependent manner. Immunoprecipitation analysis revealed that Agp2-GFP exists in higher molecular weight forms that were ubiquitinylated, which rapidly disappeared within 10 min of treatment with CHX. CHX did not trigger any significant loss of Agp2-GFP in the absence of the Brp1 protein; however, the role of Brp1 in this process remains elusive. We propose that Agp2 is degraded upon sensing CHX to downregulate further uptake of the drug and discuss the potential function of Brp1 in the degradation process.

摘要

Agp2 是一种质膜蛋白,最初被报道为摄取 L-肉碱的转运体。Agp2 后来与另外三种蛋白 Sky1、Ptk2 和 Brp1 一起被重新发现,参与多胺类似物博来霉素 A5(一种抗癌药物)的摄取。缺乏 Agp2、Sky1、Ptk2 或 Brp1 的突变体对多胺和博来霉素 A5 具有极强的抗性,表明这四种蛋白在同一转运途径中起作用。我们之前证明,用蛋白质合成抑制剂环己酰亚胺(CHX)预处理细胞会阻止荧光标记的博来霉素(F-BLM)的摄取,这增加了 CHX 可能竞争 F-BLM 摄取或改变 Agp2 转运功能的可能性。在此,我们表明突变体与亲本相比对 CHX 表现出明显的抗性,表明 Agp2 是介导 CHX 生理效应所必需的。我们检查了 GFP 标签蛋白 Agp2 对 CHX 的反应命运,并观察到该药物以浓度和时间依赖的方式触发 Agp2 的消失。免疫沉淀分析显示,Agp2-GFP 以泛素化的高相对分子质量形式存在,在用 CHX 处理 10 分钟内迅速消失。在没有 Brp1 蛋白的情况下,CHX 不会引发任何明显的 Agp2-GFP 丢失;然而,Brp1 在这个过程中的作用仍然难以捉摸。我们提出,Agp2 在感知 CHX 后被降解,以下调对药物的进一步摄取,并讨论了 Brp1 在降解过程中的潜在功能。

https://cdn.ncbi.nlm.nih.gov/pmc/blobs/f68d/10138708/271975fbabcb/ijms-24-06975-g001.jpg

文献AI研究员

20分钟写一篇综述,助力文献阅读效率提升50倍。

立即体验

用中文搜PubMed

大模型驱动的PubMed中文搜索引擎

马上搜索

文档翻译

学术文献翻译模型,支持多种主流文档格式。

立即体验