Department of Oral and Maxillofacial Surgery, Peking University School and Hospital of Stomatology, Beijing 100081, China.
First Clinical Division, Peking University School and Hospital of Stomatology, Beijing 100034, China.
Int J Mol Sci. 2023 Apr 20;24(8):7616. doi: 10.3390/ijms24087616.
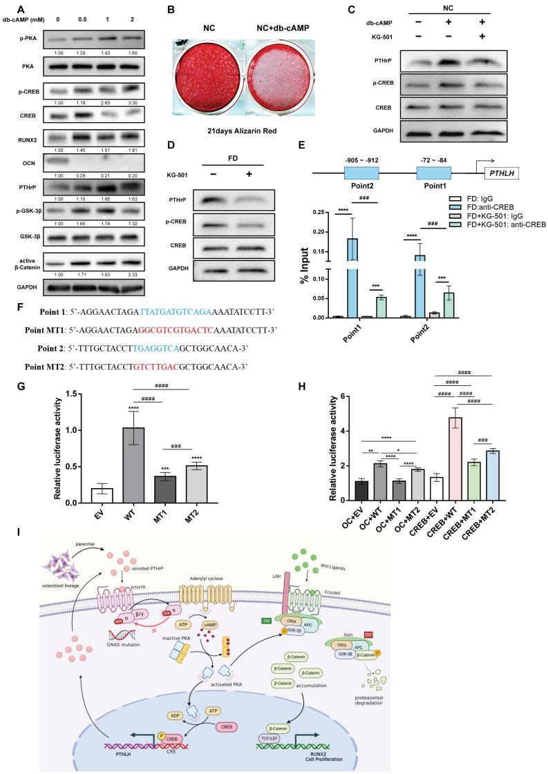
Fibrous dysplasia (FD) is a skeletal stem cell disease caused by mutations in the guanine nucleotide-binding protein, alpha-stimulating activity polypeptide () gene, which results in the abnormal accumulation of cyclic adenosine monophosphate (cAMP) and hyperactivation of downstream signaling pathways. Parathyroid hormone-related protein (PTHrP) is secreted by the osteoblast lineage and is involved in various physiological and pathological activities of bone. However, the association between the abnormal expression of PTHrP and FD, as well as its underlying mechanism, remains unclear. In this study, we discovered that FD patient-derived bone marrow stromal cells (FD BMSCs) expressed significantly higher levels of PTHrP during osteogenic differentiation and exhibited greater proliferation capacity but impaired osteogenic ability compared to normal control patient-derived BMSCs (NC BMSCs). Continuous exogenous PTHrP exposure on the NC BMSCs promoted the FD phenotype in both in vitro and in vivo experiments. Through the PTHrP/cAMP/PKA axis, PTHrP could partially influence the proliferation and osteogenesis capacity of FD BMSCs via the overactivation of the Wnt/β-Catenin signaling pathway. Furthermore, PTHrP not only directly modulated cAMP/PKA/CREB transduction but was also demonstrated as a transcriptional target of CREB. This study provides novel insight into the possible pathogenesis involved in the FD phenotype and enhances the understanding of its molecular signaling pathways, offering theoretical evidence for the feasibility of potential therapeutic targets for FD.
纤维发育不良(FD)是一种骨骼干细胞疾病,由鸟嘌呤核苷酸结合蛋白,α 刺激活性多肽()基因突变引起,导致环腺苷酸(cAMP)异常积累和下游信号通路的过度激活。甲状旁腺激素相关蛋白(PTHrP)由成骨细胞谱系分泌,参与骨的各种生理和病理活动。然而,PTHrP 的异常表达与 FD 之间的关联及其潜在机制尚不清楚。在本研究中,我们发现 FD 患者来源的骨髓基质细胞(FD BMSCs)在成骨分化过程中表达显著更高水平的 PTHrP,并且与正常对照患者来源的 BMSCs(NC BMSCs)相比,表现出更大的增殖能力但受损的成骨能力。连续外源性 PTHrP 暴露在 NC BMSCs 上促进了体内外 FD 表型。通过 PTHrP/cAMP/PKA 轴,PTHrP 可以通过过度激活 Wnt/β-Catenin 信号通路部分影响 FD BMSCs 的增殖和成骨能力。此外,PTHrP 不仅直接调节 cAMP/PKA/CREB 转导,而且还被证明是 CREB 的转录靶标。这项研究为 FD 表型涉及的可能发病机制提供了新的见解,并增强了对其分子信号通路的理解,为 FD 的潜在治疗靶点的可行性提供了理论依据。