Suppr超能文献

1例晚期胃癌胃切除术后8年10个月发现结直肠转移的罕见病例:病例报告及文献复习

A rare case of colorectal metastasis found 8 years and 10 months after gastrectomy for advanced gastric cancer: A case report and literature review.

作者信息

Kohno Shuzo, Ikegami Masahiro, Yamamoto Se Ryung, Aoki Hiroaki, Ogawa Masaichi, Yano Fumiaki, Eto Ken

机构信息

Department of Surgery, The Jikei University Katsushika Medical Center, Tokyo 125-8061, Japan.

Department of Pathology, The Jikei University Katsushika Medical Center, Tokyo 125-8061, Japan.

出版信息

Oncol Lett. 2023 Apr 5;25(5):203. doi: 10.3892/ol.2023.13789. eCollection 2023 May.

Abstract

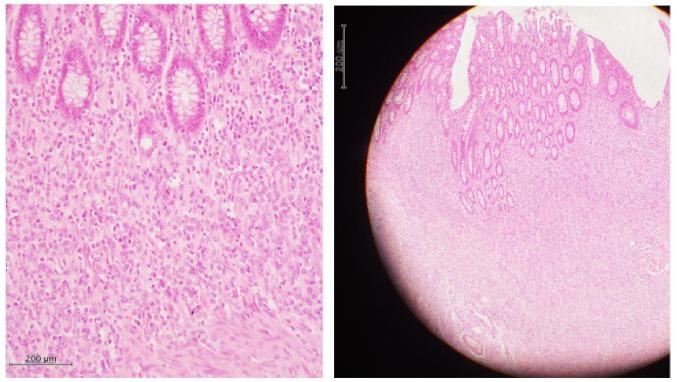
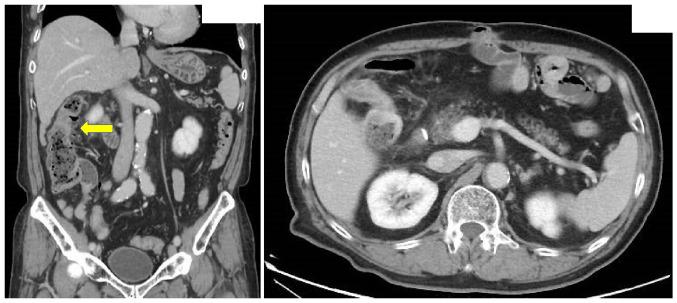
Colorectal metastasis from gastric cancer is rare and may develop several years after gastric cancer surgery. Therefore, colonoscopic findings provide useful diagnostic information. The present report describes a case of gastric cancer colon metastasis diagnosed 8 years and 10 months after gastrectomy for advanced gastric cancer. A 64-year-old male patient underwent gastrectomy in December 2010 and received chemotherapy for 4 years and 10 months after the surgery. Subsequently, the patient was diagnosed as having colorectal cancer by computed tomography in February 2019. Colonoscopy revealed linitis plastica-like colon stenosis; however, biopsy pathology did not reveal any findings indicating malignancy. Right hemicolectomy was performed, and pathological examination revealed colon metastasis from gastric cancer. The patient received chemotherapy but died of peritoneal carcinomatosis 1 year and 8 months after the colectomy. According to literature, colorectal metastasis from gastric cancer is often attributed to hematogenous metastasis and often exhibits characteristic macroscopic features. Treatments, such as chemotherapy for gastric cancer and/or colorectal resection, are considered effective for gastric cancer colorectal metastasis.

摘要

胃癌的结直肠转移罕见,且可能在胃癌手术后数年发生。因此,结肠镜检查结果可提供有用的诊断信息。本报告描述了1例进展期胃癌胃切除术后8年10个月被诊断为胃癌结肠转移的病例。一名64岁男性患者于2010年12月接受胃切除术,术后接受了4年10个月的化疗。随后,该患者于2019年2月经计算机断层扫描被诊断为结直肠癌。结肠镜检查显示皮革胃样结肠狭窄;然而,活检病理未发现任何提示恶性肿瘤的迹象。患者接受了右半结肠切除术,病理检查显示为胃癌结肠转移。患者接受了化疗,但在结肠切除术后1年8个月死于腹膜癌。根据文献,胃癌的结直肠转移通常归因于血行转移,且常表现出特征性的宏观特征。对于胃癌结肠转移,诸如胃癌化疗和/或结直肠切除术等治疗方法被认为是有效的。

https://cdn.ncbi.nlm.nih.gov/pmc/blobs/5cb5/10131265/c2c3fe55568a/ol-25-05-13789-g00.jpg

文献AI研究员

20分钟写一篇综述,助力文献阅读效率提升50倍。

立即体验

用中文搜PubMed

大模型驱动的PubMed中文搜索引擎

马上搜索

文档翻译

学术文献翻译模型,支持多种主流文档格式。

立即体验