Suppr超能文献

调查与第三代头孢菌素、喹诺酮类和多粘菌素耐药性转移相关的质粒在同时分离的大肠杆菌和肺炎克雷伯菌之间的种间可能的通讯。

Investigating Possible Interspecies Communication of Plasmids Associated with Transfer of Third-Generation Cephalosporin, Quinolone, and Colistin Resistance Between Simultaneously Isolated Escherichia Coli and Klebsiella Pneumoniae.

机构信息

Department of Infectious Diseases, Sir Run Run Shaw Hospital, Zhejiang University School of Medicine, Hangzhou, Zhejiang, China.

Key Laboratory of Microbial Technology and Bioinformatics of Zhejiang Province, Hangzhou, Zhejiang, China.

出版信息

Microbiol Spectr. 2023 Jun 15;11(3):e0355422. doi: 10.1128/spectrum.03554-22. Epub 2023 May 1.

Abstract

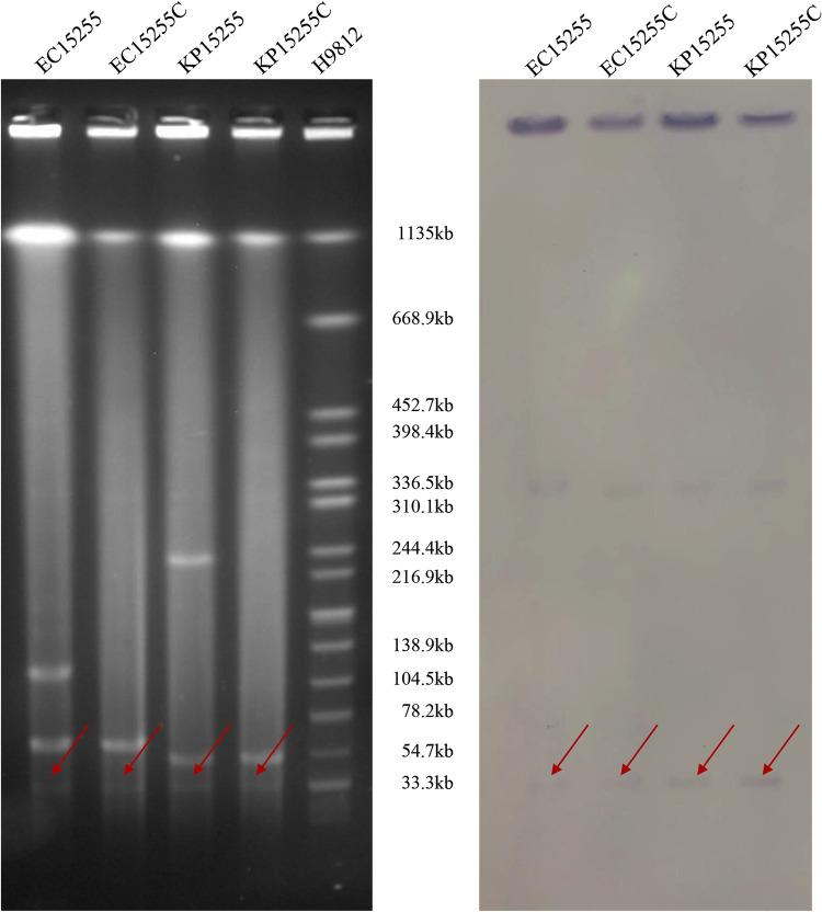
The coinfection process producing multiple species of pathogens provides a specific ecological niche for the exchange of genetic materials between pathogens, in which plasmids play a vital role in horizontal gene transfer, especially for drug resistance, but the underlying transfer pathway remains unclear. Interspecies communication of the plasmids associated with the transfer of third-generation cephalosporins, quinolones, and colistin resistance has been observed in simultaneously isolated Escherichia coli and Klebsiella pneumoniae from abdominal drainage following surgery. The MICs of antimicrobial agents were determined by the broth microdilution method. The complete chromosome and plasmid sequences were obtained by combining Illumina paired-end short reads and MinION long reads. S1-PFGE, southern blot analysis and conjugation assay confirmed the transferability of the -harboring plasmid. Both the E. coli isolate EC15255 and K. pneumoniae isolate KP15255 from the same specimen presented multidrug resistance. Each of them harbored one chromosome and three plasmids, and two plasmids and their mediated resistance could be transferred to the recipient by conjugation. Comparison of their genome sequences suggested that several genetic communication events occurred between species, especially among their plasmids, such as whole-plasmid transfer, insertion, deletion, amplification, or inversion. Exchange of plasmids or the genetic elements they harbor plays a critical role in antimicrobial resistance gene transmission and poses a substantial threat to nosocomial infection control, necessitating the continued surveillance of multidrug resistant pathogens, especially during coinfection. The genome sequence of bacterial pathogens commonly provides a detailed clue of genetic communication among clones or even distinct species. The intestinal microecological environment is a representative ecological niche for genetic communication. However, it is still difficult to describe the details of horizontal gene transfer or other genetic events within them because the evidence in the genome sequence is incomplete and limited. In this study, the simultaneously isolated Escherichia coli and Klebsiella pneumoniae from a coinfection process provided an excellent example for observation of interspecies communication between the two genomes and the plasmids they harbor. A complete genome sequence acquired by combining the Illumina and MinION sequencing platforms facilitated the understanding of genetic communication events, such as whole-plasmid transfer, insertion, deletion, amplification, or inversion, which contribute to antimicrobial resistance gene transmission and are a substantial threat to nosocomial infection control.

摘要

同时从手术腹腔引流中分离出的产 ESBLs 大肠埃希菌和肺炎克雷伯菌的种间交流:质粒在第三代头孢菌素、喹诺酮类和多黏菌素耐药基因水平转移中的作用至关重要,其潜在的转移途径尚不清楚。从手术腹腔引流中同时分离出的产 ESBLs 大肠埃希菌和肺炎克雷伯菌中观察到与第三代头孢菌素、喹诺酮类和多黏菌素耐药相关的质粒进行了种间交流。药敏试验采用肉汤微量稀释法,通过结合 Illumina 配对末端短读长和 MinION 长读长获得完整的染色体和质粒序列。S1-PFGE、Southern blot 分析和接合试验证实了携带质粒的可转移性。来自同一标本的大肠埃希菌 EC15255 株和肺炎克雷伯菌 KP15255 株均表现为多重耐药。它们各自携带一个染色体和三个质粒,其中两个质粒及其介导的耐药性可以通过接合转移到受体菌中。对它们基因组序列的比较表明,种间发生了多次遗传交流事件,特别是在它们的质粒之间,如全质粒转移、插入、缺失、扩增或倒位。质粒或其携带的遗传元件的交换在抗菌药物耐药基因的传播中起着至关重要的作用,对医院感染控制构成了巨大威胁,需要持续监测多药耐药病原体,特别是在合并感染期间。细菌病原体的基因组序列通常为克隆甚至不同种属之间的遗传交流提供了详细线索。肠道微生态环境是遗传交流的代表性生态位。然而,由于基因组序列中的证据不完整和有限,仍然难以描述其中的水平基因转移或其他遗传事件的细节。在本研究中,从一个合并感染过程中同时分离出的大肠埃希菌和肺炎克雷伯菌为观察两个基因组及其携带的质粒之间的种间交流提供了一个极好的范例。通过结合 Illumina 和 MinION 测序平台获得的完整基因组序列有助于理解遗传交流事件,如全质粒转移、插入、缺失、扩增或倒位,这些事件有助于抗菌药物耐药基因的传播,对医院感染控制构成了巨大威胁。

https://cdn.ncbi.nlm.nih.gov/pmc/blobs/4ffb/10269620/4885b6d9b912/spectrum.03554-22-f001.jpg

文献AI研究员

20分钟写一篇综述,助力文献阅读效率提升50倍。

立即体验

用中文搜PubMed

大模型驱动的PubMed中文搜索引擎

马上搜索

文档翻译

学术文献翻译模型,支持多种主流文档格式。

立即体验