• 文献检索
  • 文档翻译
  • 深度研究
  • 学术资讯
  • Suppr Zotero 插件Zotero 插件
  • 邀请有礼
  • 套餐&价格
  • 历史记录
应用&插件
Suppr Zotero 插件Zotero 插件浏览器插件Mac 客户端Windows 客户端微信小程序
定价
高级版会员购买积分包购买API积分包
服务
文献检索文档翻译深度研究API 文档MCP 服务
关于我们
关于 Suppr公司介绍联系我们用户协议隐私条款
关注我们

Suppr 超能文献

核心技术专利:CN118964589B侵权必究
粤ICP备2023148730 号-1Suppr @ 2026

文献检索

告别复杂PubMed语法,用中文像聊天一样搜索,搜遍4000万医学文献。AI智能推荐,让科研检索更轻松。

立即免费搜索

文件翻译

保留排版,准确专业,支持PDF/Word/PPT等文件格式,支持 12+语言互译。

免费翻译文档

深度研究

AI帮你快速写综述,25分钟生成高质量综述,智能提取关键信息,辅助科研写作。

立即免费体验

异基因造血细胞移植后小唾液腺免疫组织病理学分级

Grading of minor salivary gland immuno-histopathology post-allogenic hematopoietic cell transplantation.

作者信息

Tollemar V, Arvidsson H, Häbel H, Tudzarovski N, Legert K Garming, Le Blanc K, Warfvinge G, Sugars R V

机构信息

Division of Oral Diagnostics and Rehabilitation, Department of Dental Medicine, Karolinska Institutet, Stockholm, Sweden.

Medical Statistics Unit, Department of Learning, Informatics, Management and Ethics, Karolinska Institutet, Stockholm, Sweden.

出版信息

Heliyon. 2023 Apr 15;9(4):e15517. doi: 10.1016/j.heliyon.2023.e15517. eCollection 2023 Apr.

DOI:10.1016/j.heliyon.2023.e15517
PMID:37128306
原文链接:https://pmc.ncbi.nlm.nih.gov/articles/PMC10148098/
Abstract

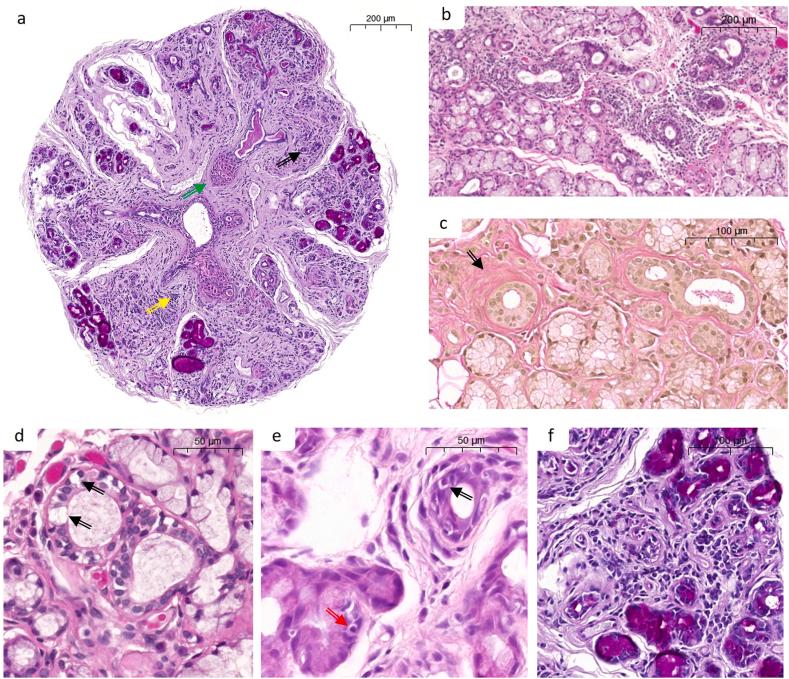
The oral cavity commonly displays mucosal lichenoid lesions and salivary gland dysfunction, which are considered different chronic Graft-versus-Host Disease (cGVHD) pathophysiology's. However, diagnostics of salivary gland (sg-)cGVHD are limited. The objectives of the current study are to evaluate the minor salivary gland (MSG) histo-immunopathological profiles post allogenic hematopoietic cell transplantation based on sg-cGVHD criteria. : Histopathology was characterized according to two published grading strategies. Firstly, the National Institute of Health (NIH) assessed peri-ductal/acinar infiltration, exocytosis, damage, and fibrosis, and a points-based grading scheme was established (0-16 points, Grade (G) 0 to IV). Second, a modified Sjögren's Syndrome focus-score with parenchymal damage was also adapted, (0-10 points, Score 0 to 2). 146 MSG biopsies from 79 patients were compared, using the histopathological specific criteria for sg-cGVHD pathology. Quantitative immunohistochemistry for T-cells (CD4, CD8), B-cells (CD19, CD20), monocytic cells (CD68) and dendritic cells (CD1a) were also assessed. The large-scale cohort validated the use of both grading schemes. GIII-GIV and score 2 signified a histopathological diagnosis of "likely" sg-cGVHD. Immunopathological severity was associated with increased T-cells (CD4 and CD8) and monocytic (CD68) infiltrate, with minimal involvement of B-cells (CD19 and CD20), and Langerhans cells (CD1a). Both schemes were verified as being suitable for histological grading to improve assessment and diagnosis of sg-cGVHD. The NIH cGVHD grading appears to be more beneficial for research purposes, including final diagnostics of "no/inactive", "possible" or "likely" cGVHD. The study highlights the intricacies of sg-cGVHD pathology; and the need for standardized assessment to improve patient management associated to sg-cGVHD.

摘要

口腔常见黏膜苔藓样病变和唾液腺功能障碍,它们被认为是不同的慢性移植物抗宿主病(cGVHD)病理生理学表现。然而,唾液腺(sg-)cGVHD的诊断方法有限。本研究的目的是根据sg-cGVHD标准评估异基因造血细胞移植后小唾液腺(MSG)的组织免疫病理学特征。组织病理学根据两种已发表的分级策略进行特征描述。首先,美国国立卫生研究院(NIH)评估导管周围/腺泡浸润、胞吐作用、损伤和纤维化情况,并建立了基于积分的分级方案(0 - 16分,0至IV级)。其次,还采用了一种改良的伴有实质损伤的干燥综合征焦点评分法(0 - 10分,0至2分)。使用sg-cGVHD病理学的组织病理学特定标准,对79例患者的146份MSG活检样本进行了比较。还评估了T细胞(CD4、CD8)、B细胞(CD19、CD20)、单核细胞(CD68)和树突状细胞(CD1a)的定量免疫组织化学。大规模队列研究验证了两种分级方案的应用。III - IV级和2分表示组织病理学诊断为“可能”的sg-cGVHD。免疫病理学严重程度与T细胞(CD4和CD8)和单核细胞(CD68)浸润增加相关,B细胞(CD19和CD20)及朗格汉斯细胞(CD1a)受累最少。两种方案均被证实适用于组织学分级,以改善sg-cGVHD的评估和诊断。NIH的cGVHD分级似乎对研究目的更有益,包括“无/非活动性”、“可能”或“很可能”cGVHD的最终诊断。该研究突出了sg-cGVHD病理学的复杂性,以及进行标准化评估以改善sg-cGVHD相关患者管理的必要性。

https://cdn.ncbi.nlm.nih.gov/pmc/blobs/b3b0/10148098/d8b3b2422828/gr4.jpg
https://cdn.ncbi.nlm.nih.gov/pmc/blobs/b3b0/10148098/27efb71b23cb/gr1.jpg
https://cdn.ncbi.nlm.nih.gov/pmc/blobs/b3b0/10148098/bd3b1c42552a/gr2.jpg
https://cdn.ncbi.nlm.nih.gov/pmc/blobs/b3b0/10148098/a7fb790d0aeb/gr3.jpg
https://cdn.ncbi.nlm.nih.gov/pmc/blobs/b3b0/10148098/d8b3b2422828/gr4.jpg
https://cdn.ncbi.nlm.nih.gov/pmc/blobs/b3b0/10148098/27efb71b23cb/gr1.jpg
https://cdn.ncbi.nlm.nih.gov/pmc/blobs/b3b0/10148098/bd3b1c42552a/gr2.jpg
https://cdn.ncbi.nlm.nih.gov/pmc/blobs/b3b0/10148098/a7fb790d0aeb/gr3.jpg
https://cdn.ncbi.nlm.nih.gov/pmc/blobs/b3b0/10148098/d8b3b2422828/gr4.jpg

相似文献

1
Grading of minor salivary gland immuno-histopathology post-allogenic hematopoietic cell transplantation.异基因造血细胞移植后小唾液腺免疫组织病理学分级
Heliyon. 2023 Apr 15;9(4):e15517. doi: 10.1016/j.heliyon.2023.e15517. eCollection 2023 Apr.
2
Immunohistopathology of oral mucosal chronic graft-versus-host disease severity and duration.口腔黏膜慢性移植物抗宿主病严重程度和持续时间的免疫组织病理学。
Oral Dis. 2023 Nov;29(8):3346-3359. doi: 10.1111/odi.14303. Epub 2022 Jul 21.
3
Histopathological Grading of Oral Mucosal Chronic Graft-versus-Host Disease: Large Cohort Analysis.口腔黏膜慢性移植物抗宿主病的组织病理学分级:大样本队列分析。
Biol Blood Marrow Transplant. 2020 Oct;26(10):1971-1979. doi: 10.1016/j.bbmt.2020.06.031. Epub 2020 Jul 10.
4
The impact of morphological and immunohistological changes in minor salivary glands on the health of the oral cavity in HSCT patients.移植患者口腔中小唾液腺的形态和免疫组织学变化对口腔健康的影响。
Bone Marrow Transplant. 2013 Nov;48(12):1525-9. doi: 10.1038/bmt.2013.105. Epub 2013 Jul 29.
5
Perspectives on oral chronic graft-versus-host disease from immunobiology to morbid diagnoses.从免疫生物学到病态诊断看口腔慢性移植物抗宿主病。
Front Immunol. 2023 Jun 28;14:1151493. doi: 10.3389/fimmu.2023.1151493. eCollection 2023.
6
Salivary gland involvement in chronic graft-versus-host disease: prevalence, clinical significance, and recommendations for evaluation.慢性移植物抗宿主病的唾液腺受累:患病率、临床意义和评估建议。
Biol Blood Marrow Transplant. 2010 Oct;16(10):1362-9. doi: 10.1016/j.bbmt.2010.03.023. Epub 2010 Mar 28.
7
Oral cGVHD screening tests in the diagnosis of systemic chronic graft-versus-host disease.口腔 cGVHD 筛查试验在系统性慢性移植物抗宿主病诊断中的应用。
Clin Oral Investig. 2012 Apr;16(2):565-70. doi: 10.1007/s00784-011-0529-8. Epub 2011 Mar 3.
8
Immunohistopathological study of the oral lichenoid lesions of chronic GVHD.慢性移植物抗宿主病口腔苔藓样病变的免疫组织病理学研究
J Oral Pathol Med. 2006 Jan;35(1):33-6. doi: 10.1111/j.1600-0714.2005.00372.x.
9
The oral histopathological and immunological characteristics of a xenogeneic mouse chronic graft-versus-host disease model.异种鼠慢性移植物抗宿主病模型的口腔组织病理学和免疫学特征。
J Oral Pathol Med. 2022 Apr;51(4):369-378. doi: 10.1111/jop.13258. Epub 2021 Nov 24.
10
Oral disease profiles in chronic graft versus host disease.慢性移植物抗宿主病中的口腔疾病概况
J Dent Res. 2015 Apr;94(4):547-54. doi: 10.1177/0022034515570942. Epub 2015 Mar 4.

引用本文的文献

1
Intraepithelial lymphocytes in human oral diseases.人类口腔疾病中的上皮内淋巴细胞
Front Immunol. 2025 May 8;16:1597088. doi: 10.3389/fimmu.2025.1597088. eCollection 2025.
2
Oral Chronic Graft-Versus-Host Disease: Pathogenesis, Diagnosis, Current Treatment, and Emerging Therapies.口腔慢性移植物抗宿主病:发病机制、诊断、当前治疗和新兴疗法。
Int J Mol Sci. 2024 Sep 27;25(19):10411. doi: 10.3390/ijms251910411.
3
Perspectives on oral chronic graft-versus-host disease from immunobiology to morbid diagnoses.从免疫生物学到病态诊断看口腔慢性移植物抗宿主病。

本文引用的文献

1
Immunohistopathology of oral mucosal chronic graft-versus-host disease severity and duration.口腔黏膜慢性移植物抗宿主病严重程度和持续时间的免疫组织病理学。
Oral Dis. 2023 Nov;29(8):3346-3359. doi: 10.1111/odi.14303. Epub 2022 Jul 21.
2
Salivary ZG16B expression loss follows exocrine gland dysfunction related to oral chronic graft-versus-host disease.唾液ZG16B表达缺失发生在与口腔慢性移植物抗宿主病相关的外分泌腺功能障碍之后。
iScience. 2021 Dec 9;25(1):103592. doi: 10.1016/j.isci.2021.103592. eCollection 2022 Jan 21.
3
National Institutes of Health Consensus Development Project on Criteria for Clinical Trials in Chronic Graft-versus-Host Disease: IV. The 2020 Highly morbid forms report.
Front Immunol. 2023 Jun 28;14:1151493. doi: 10.3389/fimmu.2023.1151493. eCollection 2023.
美国国立卫生研究院慢性移植物抗宿主病临床试验标准共识开发项目:四、2020 年高度病态形式报告。
Transplant Cell Ther. 2021 Oct;27(10):817-835. doi: 10.1016/j.jtct.2021.06.001. Epub 2021 Jun 10.
4
Current State of Knowledge on Primary Sjögren's Syndrome, an Autoimmune Exocrinopathy.原发性干燥综合征(一种自身免疫性外分泌腺病)的当前知识状态
J Clin Med. 2020 Jul 20;9(7):2299. doi: 10.3390/jcm9072299.
5
Histopathological Grading of Oral Mucosal Chronic Graft-versus-Host Disease: Large Cohort Analysis.口腔黏膜慢性移植物抗宿主病的组织病理学分级:大样本队列分析。
Biol Blood Marrow Transplant. 2020 Oct;26(10):1971-1979. doi: 10.1016/j.bbmt.2020.06.031. Epub 2020 Jul 10.
6
Oral Complications of Chronic Graft-Versus-Host Disease.慢性移植物抗宿主病的口腔并发症
J Natl Cancer Inst Monogr. 2019 Aug 1;2019(53). doi: 10.1093/jncimonographs/lgz007.
7
Quantitative chromogenic immunohistochemical image analysis in cellprofiler software.细胞分析软件中的定量显色免疫组化图像分析。
Cytometry A. 2018 Oct;93(10):1051-1059. doi: 10.1002/cyto.a.23575. Epub 2018 Aug 8.
8
Dynamic Changes in Brain Mesenchymal Perivascular Cells Associate with Multiple Sclerosis Disease Duration, Active Inflammation, and Demyelination.脑间质周细胞的动态变化与多发性硬化症的病程、活跃性炎症和脱髓鞘有关。
Stem Cells Transl Med. 2017 Oct;6(10):1840-1851. doi: 10.1002/sctm.17-0028. Epub 2017 Sep 23.
9
Could mucin 16 and colony-stimulating factor 2-receptor beta possible graft versus host disease biomarkers? Medical hypotheses.黏蛋白16和集落刺激因子2受体β有可能成为移植物抗宿主病的生物标志物吗?医学假说。
Med Hypotheses. 2017 Mar;100:89-93. doi: 10.1016/j.mehy.2017.01.017. Epub 2017 Jan 31.
10
Classification systems for chronic graft-versus-host disease.慢性移植物抗宿主病的分类系统。
Blood. 2017 Jan 5;129(1):30-37. doi: 10.1182/blood-2016-07-686642. Epub 2016 Nov 7.