Suppr超能文献

经羊膜移植小梁切除术治疗后的前节光学相干断层扫描分析。

Bleb analysis using anterior segment optical coherence tomography after trabeculectomy with amniotic membrane transplantation.

机构信息

Department of Ophthalmology, Pusan National University College of Medicine, Busan, Korea.

Biomedical Research Institute, Pusan National University Hospital, Busan, Korea.

出版信息

PLoS One. 2023 May 3;18(5):e0285127. doi: 10.1371/journal.pone.0285127. eCollection 2023.

Abstract

INTRODUCTION

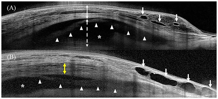
Little has been known about the intrableb structures associated with bleb function after trabeculectomy with amniotic membrane transplantation (AMT). The aim of this study is to analyze the characteristics of intrableb structures using anterior segment optical coherence tomography (AS-OCT) after trabeculectomy with AMT.

METHODS

A total of 68 eyes of 68 patients with primary open-angle glaucoma who underwent trabeculectomy with AMT were included. Surgical success was defined as intraocular pressure (IOP) ≤ 18 mmHg and IOP reduction of ≥ 20% without medication on AS-OCT examination. Intrableb parameters, including bleb height, bleb wall thickness, striping layer thickness, bleb wall reflectivity, fluid-filled space score, fluid-filled space height, and microcyst formation were evaluated using AS-OCT. Logistic regression analysis was performed to determine factors associated with IOP control.

RESULTS

Of the 68 eyes, 56 eyes were assigned to the success group and 12 eyes to the failure group. In the success group, bleb height (P = 0.009), bleb wall thickness (P = 0.001), striping layer thickness (P = 0.001), fluid-filled space score (P = 0.001), and frequency of microcyst formation (P = 0.001) were greater than those in the failure group. Bleb wall reflectivity was higher in the failure group than in the success group (P < 0.001). In the univariate logistic regression analysis, previous cataract surgery was significantly associated with surgical failure (odds ratio = 5.769, P = 0.032).

CONCLUSION

A posteriorly extending fluid-filled space, tall bleb with low reflectivity, and thick striping layer were characteristics of successful filtering blebs after trabeculectomy with AMT.

摘要

介绍

在经羊膜移植(AMT)的小梁切除术之后,有关与滤过泡功能相关的泡内结构的信息知之甚少。本研究的目的是使用前节光学相干断层扫描(AS-OCT)分析经 AMT 的小梁切除术后泡内结构的特征。

方法

共纳入 68 例(68 只眼)原发性开角型青光眼患者,这些患者均接受了经 AMT 的小梁切除术。手术成功的定义为在 AS-OCT 检查时眼压(IOP)≤18mmHg 且无需药物治疗即可降低≥20%。使用 AS-OCT 评估滤过泡参数,包括泡高、泡壁厚度、条纹层厚度、泡壁反射率、充满液体的空间评分、充满液体的空间高度和微囊形成。使用逻辑回归分析确定与眼压控制相关的因素。

结果

在 68 只眼中,56 只眼被归入成功组,12 只眼被归入失败组。在成功组中,泡高(P=0.009)、泡壁厚度(P=0.001)、条纹层厚度(P=0.001)、充满液体的空间评分(P=0.001)和微囊形成的频率(P=0.001)均大于失败组。失败组的泡壁反射率高于成功组(P<0.001)。在单因素逻辑回归分析中,既往白内障手术与手术失败显著相关(比值比=5.769,P=0.032)。

结论

在经 AMT 的小梁切除术后,具有向后延伸的充满液体的空间、低反射率的高泡和厚条纹层的滤过泡是成功的滤过泡的特征。

https://cdn.ncbi.nlm.nih.gov/pmc/blobs/5015/10155995/23a6add9b688/pone.0285127.g001.jpg

文献AI研究员

20分钟写一篇综述,助力文献阅读效率提升50倍。

立即体验

用中文搜PubMed

大模型驱动的PubMed中文搜索引擎

马上搜索

文档翻译

学术文献翻译模型,支持多种主流文档格式。

立即体验