• 文献检索
  • 文档翻译
  • 深度研究
  • 学术资讯
  • Suppr Zotero 插件Zotero 插件
  • 邀请有礼
  • 套餐&价格
  • 历史记录
应用&插件
Suppr Zotero 插件Zotero 插件浏览器插件Mac 客户端Windows 客户端微信小程序
定价
高级版会员购买积分包购买API积分包
服务
文献检索文档翻译深度研究API 文档MCP 服务
关于我们
关于 Suppr公司介绍联系我们用户协议隐私条款
关注我们

Suppr 超能文献

核心技术专利:CN118964589B侵权必究
粤ICP备2023148730 号-1Suppr @ 2026

文献检索

告别复杂PubMed语法,用中文像聊天一样搜索,搜遍4000万医学文献。AI智能推荐,让科研检索更轻松。

立即免费搜索

文件翻译

保留排版,准确专业,支持PDF/Word/PPT等文件格式,支持 12+语言互译。

免费翻译文档

深度研究

AI帮你快速写综述,25分钟生成高质量综述,智能提取关键信息,辅助科研写作。

立即免费体验

CT在癌症相关并发症检测与管理中的作用:599例患者的研究

Role of CT in the detection and management of cancer related complications: a study of 599 patients.

作者信息

Bansal Abhinav, Dhamija Ekta, Chandrashekhara Sheragaru Hanumanthappa, Sahoo Ranjit Kumar

机构信息

Department of Radiodiagnosis and Medical Oncology, Dr BR Ambedkar Institute Rotary Cancer Hospital, All India Institute of Medical Sciences, New Delhi 110029, India.

出版信息

Ecancermedicalscience. 2023 Apr 5;17:1529. doi: 10.3332/ecancer.2023.1529. eCollection 2023.

DOI:10.3332/ecancer.2023.1529
PMID:37138968
原文链接:https://pmc.ncbi.nlm.nih.gov/articles/PMC10151087/
Abstract

PURPOSE

Cancer-related complications (CrC) and any potentially life-threatening findings detected on routine oncological imaging requires urgent intervention and needs proactive management. We conducted a retrospective study to highlight the role of imaging in the detection of CrC on computed tomography (CT)-scan while sharing our experience at a tertiary care cancer hospital.

MATERIALS AND METHODS

All the reports of the CT scans performed in our department between January 2018 and December 2019 were reviewed and the imaging findings of CrC were recorded. Only the patients who had known malignancy and underwent imaging evaluation at our centre at baseline/follow up/surveillance were included. The clinical details of the patients were recorded and the findings were classified based on the system or organ involved and also on the basis of its impact on clinical management.

RESULTS

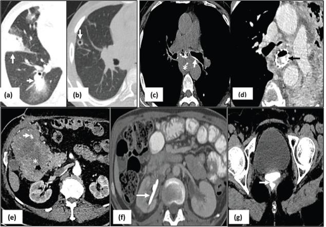
A total of 14,226 CT scans were performed during the study period, out of which 599 patients had CrC. Most of the CrC were seen involving thorax (265/599, 44.3%) followed by abdomen (229/599, 38.2%) and head and neck (104/599, 17.3%) regions. The commonly encountered CrC were pulmonary infections, superior vena cava obstruction and drug-induced lung changes.

CONCLUSION

CrC have significant impact on the course of management of cancer patients and radiologist plays an important role in early diagnosis and initiation of prompt management of many such patients. CT is an excellent modality for early diagnosis of CrC which guides the oncologist for appropriate treatment.

摘要

目的

癌症相关并发症(CrC)以及在常规肿瘤影像学检查中发现的任何潜在危及生命的情况都需要紧急干预,并且需要积极的管理。我们进行了一项回顾性研究,以突出影像学在计算机断层扫描(CT)上检测CrC的作用,同时分享我们在一家三级癌症专科医院的经验。

材料与方法

回顾了2018年1月至2019年12月在我们科室进行的所有CT扫描报告,并记录了CrC的影像学表现。仅纳入那些已知患有恶性肿瘤且在基线/随访/监测时在我们中心接受影像学评估的患者。记录患者的临床细节,并根据所涉及的系统或器官以及其对临床管理的影响对结果进行分类。

结果

在研究期间共进行了14226次CT扫描,其中599例患者有CrC。大多数CrC见于胸部(265/599,44.3%),其次是腹部(229/599,38.2%)和头颈部(104/599,17.3%)区域。常见的CrC包括肺部感染、上腔静脉阻塞和药物性肺改变。

结论

CrC对癌症患者的治疗过程有重大影响,放射科医生在许多此类患者的早期诊断和及时管理的启动中起着重要作用。CT是早期诊断CrC的优秀检查方法,可为肿瘤学家指导适当的治疗。

https://cdn.ncbi.nlm.nih.gov/pmc/blobs/6c46/10151087/4716180d57bc/can-17-1529fig5.jpg
https://cdn.ncbi.nlm.nih.gov/pmc/blobs/6c46/10151087/cf1860044444/can-17-1529fig1.jpg
https://cdn.ncbi.nlm.nih.gov/pmc/blobs/6c46/10151087/13bbb47f0cbb/can-17-1529fig2.jpg
https://cdn.ncbi.nlm.nih.gov/pmc/blobs/6c46/10151087/2590e5cd9ca7/can-17-1529fig3.jpg
https://cdn.ncbi.nlm.nih.gov/pmc/blobs/6c46/10151087/34ffc39f2110/can-17-1529fig4.jpg
https://cdn.ncbi.nlm.nih.gov/pmc/blobs/6c46/10151087/4716180d57bc/can-17-1529fig5.jpg
https://cdn.ncbi.nlm.nih.gov/pmc/blobs/6c46/10151087/cf1860044444/can-17-1529fig1.jpg
https://cdn.ncbi.nlm.nih.gov/pmc/blobs/6c46/10151087/13bbb47f0cbb/can-17-1529fig2.jpg
https://cdn.ncbi.nlm.nih.gov/pmc/blobs/6c46/10151087/2590e5cd9ca7/can-17-1529fig3.jpg
https://cdn.ncbi.nlm.nih.gov/pmc/blobs/6c46/10151087/34ffc39f2110/can-17-1529fig4.jpg
https://cdn.ncbi.nlm.nih.gov/pmc/blobs/6c46/10151087/4716180d57bc/can-17-1529fig5.jpg

相似文献

1
Role of CT in the detection and management of cancer related complications: a study of 599 patients.CT在癌症相关并发症检测与管理中的作用:599例患者的研究
Ecancermedicalscience. 2023 Apr 5;17:1529. doi: 10.3332/ecancer.2023.1529. eCollection 2023.
2
Pulmonary nodules and metastases in colorectal cancer.结直肠癌中的肺结节与转移
Dan Med J. 2016 Jan;63(1):B5190.
3
More advantages in detecting bone and soft tissue metastases from prostate cancer using F-PSMA PET/CT.使用F-PSMA PET/CT检测前列腺癌骨和软组织转移方面有更多优势。
Hell J Nucl Med. 2019 Jan-Apr;22(1):6-9. doi: 10.1967/s002449910952. Epub 2019 Mar 7.
4
Fecal occult blood test for colorectal cancer screening: an evidence-based analysis.用于结直肠癌筛查的粪便潜血试验:一项基于证据的分析。
Ont Health Technol Assess Ser. 2009;9(10):1-40. Epub 2009 Sep 1.
5
FDG-PET/CT Limited to the Thorax and Upper Abdomen for Staging and Management of Lung Cancer.用于肺癌分期及管理的胸部和上腹部FDG-PET/CT检查
PLoS One. 2016 Aug 24;11(8):e0160539. doi: 10.1371/journal.pone.0160539. eCollection 2016.
6
The effect of direct referral for fast CT scan in early lung cancer detection in general practice. A clinical, cluster-randomised trial.在全科医疗中,直接转诊进行快速CT扫描对早期肺癌检测的效果。一项临床、整群随机试验。
Dan Med J. 2015 Mar;62(3).
7
Pulmonary staging in colorectal cancer--is computerised tomography the answer?结直肠癌的肺部分期——计算机断层扫描是答案吗?
Ann R Coll Surg Engl. 2005 Sep;87(5):331-3. doi: 10.1308/003588405X60579.
8
Colonoscopy after CT-diagnosed acute diverticulitis: Is it really necessary?CT诊断为急性憩室炎后进行结肠镜检查:真的有必要吗?
Can J Surg. 2015 Aug;58(4):226-31. doi: 10.1503/cjs.014514.
9
Positron emission tomography-computed tomography: a superior and one-stop shop modality for treated head and neck carcinoma compared with conventional tomography.正电子发射断层扫描-计算机断层扫描:与传统断层扫描相比,是治疗头颈部癌的一种更优越的一站式检查方式。
J Oral Maxillofac Surg. 2014 Nov;72(11):2319-32. doi: 10.1016/j.joms.2014.06.419. Epub 2014 Jun 15.
10
Routine CT scanning of patients retrieved to a tertiary centre on veno-venous extracorporeal membrane oxygenation: a retrospective risk benefit analysis.对转至三级中心接受静脉-静脉体外膜肺氧合治疗的患者进行常规CT扫描:一项回顾性风险效益分析。
Perfusion. 2018 Sep;33(6):438-444. doi: 10.1177/0267659118763266. Epub 2018 Mar 12.

本文引用的文献

1
Emergency imaging in paediatric oncology: a pictorial review.儿科肿瘤学中的急诊影像学:图文综述
Insights Imaging. 2019 Dec 18;10(1):120. doi: 10.1186/s13244-019-0796-5.
2
Diagnosis and Management of Oncologic Emergencies.肿瘤急症的诊断与处理。
West J Emerg Med. 2019 Mar;20(2):316-322. doi: 10.5811/westjem.2018.12.37335. Epub 2019 Feb 14.
3
Recognizing Radiation Therapy-related Complications in the Chest.识别胸部放疗相关并发症。
Radiographics. 2019 Mar-Apr;39(2):344-366. doi: 10.1148/rg.2019180061.
4
Role of MDCT as an effective imaging tool in detection of complications amongst oncological patients in a tertiary care oncology institute.多层螺旋CT(MDCT)作为一种有效的成像工具在三级肿瘤专科医院肿瘤患者并发症检测中的作用。
Emerg Radiol. 2019 Jun;26(3):283-294. doi: 10.1007/s10140-019-01671-6. Epub 2019 Jan 21.
5
Imaging of Oncologic Emergencies.肿瘤急症的影像学检查
Semin Ultrasound CT MR. 2018 Apr;39(2):151-166. doi: 10.1053/j.sult.2017.12.001. Epub 2017 Dec 15.
6
Malignant biliary obstruction: From palliation to treatment.恶性胆管梗阻:从姑息治疗到根治性治疗
World J Gastrointest Oncol. 2016 Jun 15;8(6):498-508. doi: 10.4251/wjgo.v8.i6.498.
7
Follow the Stream: Imaging of Urinary Diversions.循流而行:尿流改道术的影像学检查
Radiographics. 2016 May-Jun;36(3):688-709. doi: 10.1148/rg.2016150180. Epub 2016 Apr 8.
8
Use of percutaneous nephrostomy and ureteral stenting in management of ureteral obstruction.经皮肾造瘘术和输尿管支架置入术在输尿管梗阻治疗中的应用。
World J Nephrol. 2016 Mar 6;5(2):172-81. doi: 10.5527/wjn.v5.i2.172.
9
Imaging acute complications in cancer patients: what should be evaluated in the emergency setting?癌症患者急性并发症的影像学检查:在急诊情况下应评估哪些方面?
Cancer Imaging. 2014 Apr 29;14(1):18. doi: 10.1186/1470-7330-14-18.
10
Imaging of oncologic emergencies: what every radiologist should know.肿瘤急症的影像学表现:每个放射科医生都应该知道的知识。
Radiographics. 2013 Oct;33(6):1533-53. doi: 10.1148/rg.336135508.