Suppr超能文献

一名表现为牙痛的患者意外发现新冠病毒相关毛霉菌病(CAM):病例报告及文献综述

Accidental finding of COVID-associated mucormycosis (CAM) in a patient presenting as toothache: A case report and review of literature.

作者信息

Gb Protyusha, B Kavitha, Sivapathasundharam B, Manodh P, Raj A Thirumal, Ghosh Snehashish, Dhungel Safal

机构信息

Department of Oral Pathology and Microbiology Meenakshi Ammal Dental College and Hospital Chennai India.

Priyadarshini Dental College and Hospital Chennai India.

出版信息

Clin Case Rep. 2023 May 4;11(5):e7292. doi: 10.1002/ccr3.7292. eCollection 2023 May.

Abstract

UNLABELLED

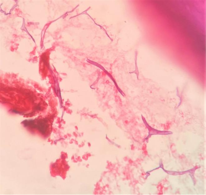
Mucormycosis is an angio-invasive rapidly progressing fungal infection, usually reported in immunocompromised individuals. We present a case of COVID-associated mucormycosis in a patient with a presenting symptom of toothache in the maxilla with a possible mild case of COVID-19.

ABSTRACT

Coronavirus-associated mucormycosis (CAM) had reached epidemic status, especially during the second wave of COVID-19. It was especially prevalent in India with a large mortality rate. Mucormycosis, particularly the rhinocerebral type is seen to be greatly associated with COVID-19, especially in patients with altered immunity. Uncontrolled diabetes, chronic kidney disease, immunocompromised patients, malignant hematological diseases, etc. are the major risk factors of CAM, precipitated by the injudicious use of corticosteroids for the treatment of COVID-19. CAM may often present in the maxillofacial region which warrants that dental clinicians be aware of the clinical presentation, diagnostic guidelines, and appropriate management measures for the disease. This report is one such case of CAM involving the posterior maxilla in a middle-aged individual with mild COVID-19 symptoms.

摘要

未标注

毛霉病是一种侵袭血管的快速进展性真菌感染,通常在免疫功能低下的个体中报道。我们报告一例与新冠相关的毛霉病病例,患者以上颌牙痛为首发症状,可能患有轻度新冠病毒病。

摘要

冠状病毒相关毛霉病(CAM)已达到流行状态,尤其是在新冠病毒病第二波疫情期间。它在印度尤为普遍,死亡率很高。毛霉病,尤其是鼻脑型,被认为与新冠病毒病密切相关,特别是在免疫力改变的患者中。未控制的糖尿病、慢性肾脏病、免疫功能低下患者、恶性血液系统疾病等是CAM的主要危险因素,因在治疗新冠病毒病时不当使用皮质类固醇而引发。CAM常出现在颌面部区域,这就要求牙科临床医生了解该疾病的临床表现、诊断指南和适当的管理措施。本报告就是这样一例涉及中年个体后上颌且伴有轻度新冠病毒病症状的CAM病例。

https://cdn.ncbi.nlm.nih.gov/pmc/blobs/0fb9/10160432/c0b3fd66fb28/CCR3-11-e7292-g006.jpg

文献AI研究员

20分钟写一篇综述,助力文献阅读效率提升50倍。

立即体验

用中文搜PubMed

大模型驱动的PubMed中文搜索引擎

马上搜索

文档翻译

学术文献翻译模型,支持多种主流文档格式。

立即体验